• 文献检索
  • 文档翻译
  • 深度研究
  • 学术资讯
  • Suppr Zotero 插件Zotero 插件
  • 邀请有礼
  • 套餐&价格
  • 历史记录
应用&插件
Suppr Zotero 插件Zotero 插件浏览器插件Mac 客户端Windows 客户端微信小程序
定价
高级版会员购买积分包购买API积分包
服务
文献检索文档翻译深度研究API 文档MCP 服务
关于我们
关于 Suppr公司介绍联系我们用户协议隐私条款
关注我们

Suppr 超能文献

核心技术专利:CN118964589B侵权必究
粤ICP备2023148730 号-1Suppr @ 2026

文献检索

告别复杂PubMed语法,用中文像聊天一样搜索,搜遍4000万医学文献。AI智能推荐,让科研检索更轻松。

立即免费搜索

文件翻译

保留排版,准确专业,支持PDF/Word/PPT等文件格式,支持 12+语言互译。

免费翻译文档

深度研究

AI帮你快速写综述,25分钟生成高质量综述,智能提取关键信息,辅助科研写作。

立即免费体验

合成吲哚查耳酮介导的程序性细胞死亡改变导致乳腺癌模型中的细胞周期停滞、DNA损伤、细胞凋亡和信号通路调节。

Programmed Cell Death Alterations Mediated by Synthetic Indole Chalcone Resulted in Cell Cycle Arrest, DNA Damage, Apoptosis and Signaling Pathway Modulations in Breast Cancer Model.

作者信息

Michalkova Radka, Kello Martin, Kudlickova Zuzana, Gazdova Maria, Mirossay Ladislav, Mojzisova Gabriela, Mojzis Jan

机构信息

Department of Pharmacology, Faculty of Medicine, Pavol Jozef Šafárik University, 040 01 Kosice, Slovakia.

NMR Laboratory, Institute of Chemistry, Faculty of Science, Pavol Jozef Šafárik University, 040 01 Kosice, Slovakia.

出版信息

Pharmaceutics. 2022 Feb 24;14(3):503. doi: 10.3390/pharmaceutics14030503.

DOI:10.3390/pharmaceutics14030503
PMID:35335879
原文链接:https://pmc.ncbi.nlm.nih.gov/articles/PMC8953149/
Abstract

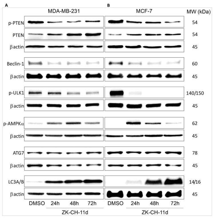
Although new chemotherapy significantly increased the survival of breast cancer (BC) patients, the use of these drugs is often associated with serious toxicity. The discovery of novel anticancer agents for BC therapy is expected. This study was conducted to explore the antiproliferative effect of newly synthesized indole chalcone derivative ZK-CH-11d on human BC cell lines. MTT screening, flow cytometry, Western blot, and fluorescence microscopy were used to evaluate the mode of cell death. ZK-CH-11d significantly suppressed the proliferation of BC cells with minimal effect against non-cancer cells. This effect was associated with cell cycle arrest at the G2/M phase and apoptosis induction. Apoptosis was associated with cytochrome release, increased activity of caspase 3 and caspase 7, PARP cleavage, reduced mitochondrial membrane potential, and activation of the DNA damage response system. Furthermore, our study demonstrated that ZK-CH-11d increased the AMPK phosphorylation with simultaneous inhibition of the PI3K/Akt/mTOR pathway indicating autophagy initiation. However, chloroquine, an autophagy inhibitor, significantly potentiated the cytotoxic effect of ZK-CH-11d in MDA-MB-231 cells indicating that autophagy is not principally involved in the antiproliferative effect of ZK-CH-11d. Taking together the results from our experiments, we assume that autophagy was activated as a defense mechanism in treated cells trying to escape from chalcone-induced harmful effects.

摘要

尽管新型化疗显著提高了乳腺癌(BC)患者的生存率,但这些药物的使用往往伴随着严重的毒性。人们期待能发现用于BC治疗的新型抗癌药物。本研究旨在探讨新合成的吲哚查耳酮衍生物ZK-CH-11d对人BC细胞系的抗增殖作用。采用MTT筛选、流式细胞术、蛋白质免疫印迹法和荧光显微镜来评估细胞死亡方式。ZK-CH-11d显著抑制BC细胞的增殖,而对非癌细胞的影响最小。这种作用与细胞周期阻滞在G2/M期以及诱导细胞凋亡有关。细胞凋亡与细胞色素释放、半胱天冬酶3和半胱天冬酶7活性增加、聚ADP核糖聚合酶(PARP)裂解、线粒体膜电位降低以及DNA损伤反应系统的激活有关。此外,我们的研究表明ZK-CH-11d增加了AMPK磷酸化,同时抑制了PI3K/Akt/mTOR途径,表明自噬启动。然而,自噬抑制剂氯喹显著增强了ZK-CH-11d对MDA-MB-231细胞的细胞毒性作用,这表明自噬并非ZK-CH-11d抗增殖作用的主要机制。综合我们实验的结果,我们推测自噬作为一种防御机制在经处理的细胞中被激活,试图逃避查耳酮诱导的有害影响。

https://cdn.ncbi.nlm.nih.gov/pmc/blobs/a6e9/8953149/29aff701d420/pharmaceutics-14-00503-g019.jpg
https://cdn.ncbi.nlm.nih.gov/pmc/blobs/a6e9/8953149/c8172f78b2b2/pharmaceutics-14-00503-g001.jpg
https://cdn.ncbi.nlm.nih.gov/pmc/blobs/a6e9/8953149/1d600edf1dcb/pharmaceutics-14-00503-g002.jpg
https://cdn.ncbi.nlm.nih.gov/pmc/blobs/a6e9/8953149/f31db537e7ab/pharmaceutics-14-00503-g003.jpg
https://cdn.ncbi.nlm.nih.gov/pmc/blobs/a6e9/8953149/62495fc808c8/pharmaceutics-14-00503-g004.jpg
https://cdn.ncbi.nlm.nih.gov/pmc/blobs/a6e9/8953149/ab818b83c843/pharmaceutics-14-00503-g005.jpg
https://cdn.ncbi.nlm.nih.gov/pmc/blobs/a6e9/8953149/4c01cba1c606/pharmaceutics-14-00503-g006.jpg
https://cdn.ncbi.nlm.nih.gov/pmc/blobs/a6e9/8953149/34d614cf1eec/pharmaceutics-14-00503-g007.jpg
https://cdn.ncbi.nlm.nih.gov/pmc/blobs/a6e9/8953149/f30e3457a106/pharmaceutics-14-00503-g008.jpg
https://cdn.ncbi.nlm.nih.gov/pmc/blobs/a6e9/8953149/f918f40ffd62/pharmaceutics-14-00503-g009.jpg
https://cdn.ncbi.nlm.nih.gov/pmc/blobs/a6e9/8953149/f520c67f5b37/pharmaceutics-14-00503-g010.jpg
https://cdn.ncbi.nlm.nih.gov/pmc/blobs/a6e9/8953149/d8bdddbe4dbc/pharmaceutics-14-00503-g011.jpg
https://cdn.ncbi.nlm.nih.gov/pmc/blobs/a6e9/8953149/cd5d5a7243bb/pharmaceutics-14-00503-g012.jpg
https://cdn.ncbi.nlm.nih.gov/pmc/blobs/a6e9/8953149/a624a34fb214/pharmaceutics-14-00503-g013.jpg
https://cdn.ncbi.nlm.nih.gov/pmc/blobs/a6e9/8953149/0aead35efead/pharmaceutics-14-00503-g014.jpg
https://cdn.ncbi.nlm.nih.gov/pmc/blobs/a6e9/8953149/ace7af9f1c4f/pharmaceutics-14-00503-g015.jpg
https://cdn.ncbi.nlm.nih.gov/pmc/blobs/a6e9/8953149/21fdcccbb02f/pharmaceutics-14-00503-g016.jpg
https://cdn.ncbi.nlm.nih.gov/pmc/blobs/a6e9/8953149/26fd5a175d2e/pharmaceutics-14-00503-g017.jpg
https://cdn.ncbi.nlm.nih.gov/pmc/blobs/a6e9/8953149/5a8bd05803ad/pharmaceutics-14-00503-g018.jpg
https://cdn.ncbi.nlm.nih.gov/pmc/blobs/a6e9/8953149/29aff701d420/pharmaceutics-14-00503-g019.jpg
https://cdn.ncbi.nlm.nih.gov/pmc/blobs/a6e9/8953149/c8172f78b2b2/pharmaceutics-14-00503-g001.jpg
https://cdn.ncbi.nlm.nih.gov/pmc/blobs/a6e9/8953149/1d600edf1dcb/pharmaceutics-14-00503-g002.jpg
https://cdn.ncbi.nlm.nih.gov/pmc/blobs/a6e9/8953149/f31db537e7ab/pharmaceutics-14-00503-g003.jpg
https://cdn.ncbi.nlm.nih.gov/pmc/blobs/a6e9/8953149/62495fc808c8/pharmaceutics-14-00503-g004.jpg
https://cdn.ncbi.nlm.nih.gov/pmc/blobs/a6e9/8953149/ab818b83c843/pharmaceutics-14-00503-g005.jpg
https://cdn.ncbi.nlm.nih.gov/pmc/blobs/a6e9/8953149/4c01cba1c606/pharmaceutics-14-00503-g006.jpg
https://cdn.ncbi.nlm.nih.gov/pmc/blobs/a6e9/8953149/34d614cf1eec/pharmaceutics-14-00503-g007.jpg
https://cdn.ncbi.nlm.nih.gov/pmc/blobs/a6e9/8953149/f30e3457a106/pharmaceutics-14-00503-g008.jpg
https://cdn.ncbi.nlm.nih.gov/pmc/blobs/a6e9/8953149/f918f40ffd62/pharmaceutics-14-00503-g009.jpg
https://cdn.ncbi.nlm.nih.gov/pmc/blobs/a6e9/8953149/f520c67f5b37/pharmaceutics-14-00503-g010.jpg
https://cdn.ncbi.nlm.nih.gov/pmc/blobs/a6e9/8953149/d8bdddbe4dbc/pharmaceutics-14-00503-g011.jpg
https://cdn.ncbi.nlm.nih.gov/pmc/blobs/a6e9/8953149/cd5d5a7243bb/pharmaceutics-14-00503-g012.jpg
https://cdn.ncbi.nlm.nih.gov/pmc/blobs/a6e9/8953149/a624a34fb214/pharmaceutics-14-00503-g013.jpg
https://cdn.ncbi.nlm.nih.gov/pmc/blobs/a6e9/8953149/0aead35efead/pharmaceutics-14-00503-g014.jpg
https://cdn.ncbi.nlm.nih.gov/pmc/blobs/a6e9/8953149/ace7af9f1c4f/pharmaceutics-14-00503-g015.jpg
https://cdn.ncbi.nlm.nih.gov/pmc/blobs/a6e9/8953149/21fdcccbb02f/pharmaceutics-14-00503-g016.jpg
https://cdn.ncbi.nlm.nih.gov/pmc/blobs/a6e9/8953149/26fd5a175d2e/pharmaceutics-14-00503-g017.jpg
https://cdn.ncbi.nlm.nih.gov/pmc/blobs/a6e9/8953149/5a8bd05803ad/pharmaceutics-14-00503-g018.jpg
https://cdn.ncbi.nlm.nih.gov/pmc/blobs/a6e9/8953149/29aff701d420/pharmaceutics-14-00503-g019.jpg

相似文献

1
Programmed Cell Death Alterations Mediated by Synthetic Indole Chalcone Resulted in Cell Cycle Arrest, DNA Damage, Apoptosis and Signaling Pathway Modulations in Breast Cancer Model.合成吲哚查耳酮介导的程序性细胞死亡改变导致乳腺癌模型中的细胞周期停滞、DNA损伤、细胞凋亡和信号通路调节。
Pharmaceutics. 2022 Feb 24;14(3):503. doi: 10.3390/pharmaceutics14030503.
2
Natural 2',4-Dihydroxy-4',6'-dimethoxy Chalcone Isolated from Inhibits Breast Cancer Cell Growth through Autophagy and Mitochondrial Apoptosis.从[具体来源未给出]中分离出的天然2',4-二羟基-4',6'-二甲氧基查耳酮通过自噬和线粒体凋亡抑制乳腺癌细胞生长。
Plants (Basel). 2024 Feb 20;13(5):570. doi: 10.3390/plants13050570.
3
The investigational Aurora kinase A inhibitor alisertib (MLN8237) induces cell cycle G2/M arrest, apoptosis, and autophagy via p38 MAPK and Akt/mTOR signaling pathways in human breast cancer cells.研究性极光激酶A抑制剂阿利西替尼(MLN8237)通过p38丝裂原活化蛋白激酶和Akt/哺乳动物雷帕霉素靶蛋白信号通路在人乳腺癌细胞中诱导细胞周期G2/M期阻滞、凋亡和自噬。
Drug Des Devel Ther. 2015 Mar 16;9:1627-52. doi: 10.2147/DDDT.S75378. eCollection 2015.
4
A Novel Tri-Hydroxy-Methylated Chalcone Isolated from with Anti-Cancer Potential Targeting Pro-Survival Proteins.从 中分离出的具有抗癌潜力的新型三羟甲基化查尔酮,靶向抗生存蛋白。
Int J Mol Sci. 2023 Oct 14;24(20):15185. doi: 10.3390/ijms242015185.
5
Millepachine, a novel chalcone, induces G2/M arrest by inhibiting CDK1 activity and causing apoptosis via ROS-mitochondrial apoptotic pathway in human hepatocarcinoma cells in vitro and in vivo.米利派辛是一种新型查尔酮,可通过抑制 CDK1 活性并通过 ROS-线粒体凋亡途径在体外和体内诱导人肝癌细胞的 G2/M 期阻滞和凋亡。
Carcinogenesis. 2013 Jul;34(7):1636-43. doi: 10.1093/carcin/bgt087. Epub 2013 Mar 7.
6
New chalcone derivative exhibits antiproliferative potential by inducing G2/M cell cycle arrest, mitochondrial-mediated apoptosis and modulation of MAPK signalling pathway.新型查尔酮衍生物通过诱导 G2/M 细胞周期阻滞、线粒体介导的细胞凋亡和调节 MAPK 信号通路发挥抗肿瘤增殖作用。
Chem Biol Interact. 2018 Aug 25;292:37-49. doi: 10.1016/j.cbi.2018.07.005. Epub 2018 Jul 6.
7
Rhopaloic acid A induces apoptosis, autophagy and MAPK activation through ROS-mediated signaling in bladder cancer.罗巴酸 A 通过 ROS 介导的信号通路诱导膀胱癌细胞凋亡、自噬和 MAPK 激活。
Phytomedicine. 2021 Nov;92:153720. doi: 10.1016/j.phymed.2021.153720. Epub 2021 Aug 17.
8
Indole phytoalexin derivatives induce mitochondrial-mediated apoptosis in human colorectal carcinoma cells.吲哚植物抗毒素衍生物诱导人结肠癌细胞发生线粒体介导的凋亡。
World J Gastroenterol. 2017 Jun 28;23(24):4341-4353. doi: 10.3748/wjg.v23.i24.4341.
9
Tangeretin derivative, 5-acetyloxy-6,7,8,4'-tetramethoxyflavone induces G2/M arrest, apoptosis and autophagy in human non-small cell lung cancer cells in vitro and in vivo.陈皮素衍生物5-乙酰氧基-6,7,8,4'-四甲氧基黄酮在体外和体内均可诱导人非小细胞肺癌细胞发生G2/M期阻滞、凋亡和自噬。
Cancer Biol Ther. 2016;17(1):48-64. doi: 10.1080/15384047.2015.1108491.
10
Artemisinin induces selective and potent anticancer effects in drug resistant breast cancer cells by inducing cellular apoptosis and autophagy and G2/M cell cycle arrest.青蒿素通过诱导细胞凋亡和自噬以及 G2/M 细胞周期阻滞,在耐药乳腺癌细胞中诱导选择性和有效的抗癌作用。
J BUON. 2020 May-Jun;25(3):1330-1336.

引用本文的文献

1
Acridine-Based Chalcone 1C and ABC Transporters.基于吖啶的查尔酮1C与ABC转运蛋白
Int J Mol Sci. 2025 Apr 27;26(9):4138. doi: 10.3390/ijms26094138.
2
Identifying Genes Associated with the Anticancer Activity of a Fluorinated Chalcone in Triple-Negative Breast Cancer Cells Using Bioinformatics Tools.使用生物信息学工具鉴定与氟化查尔酮在三阴性乳腺癌细胞中的抗癌活性相关的基因。
Int J Mol Sci. 2025 Apr 12;26(8):3662. doi: 10.3390/ijms26083662.
3
Design, Synthesis, and Characterization of Novel Thiazolidine-2,4-Dione-Acridine Hybrids as Antitumor Agents.

本文引用的文献

1
Chloroquine Potentiates the Anticancer Effect of Pterostilbene on Pancreatic Cancer by Inhibiting Autophagy and Downregulating the RAGE/STAT3 Pathway.氯喹通过抑制自噬和下调 RAGE/STAT3 通路增强紫檀芪对胰腺癌的抗癌作用。
Molecules. 2021 Nov 8;26(21):6741. doi: 10.3390/molecules26216741.
2
Broussochalcone A Induces Apoptosis in Human Renal Cancer Cells via ROS Level Elevation and Activation of FOXO3 Signaling Pathway.白杨素 A 通过升高 ROS 水平和激活 FOXO3 信号通路诱导人肾癌细胞凋亡。
Oxid Med Cell Longev. 2021 Oct 27;2021:2800706. doi: 10.1155/2021/2800706. eCollection 2021.
3
ERK: A Double-Edged Sword in Cancer. ERK-Dependent Apoptosis as a Potential Therapeutic Strategy for Cancer.
新型噻唑烷-2,4-二酮-吖啶杂合体的设计、合成与表征作为抗肿瘤剂。
Molecules. 2024 Jul 18;29(14):3387. doi: 10.3390/molecules29143387.
4
The Induction of G2/M Phase Cell Cycle Arrest and Apoptosis by the Chalcone Derivative 1C in Sensitive and Resistant Ovarian Cancer Cells Is Associated with ROS Generation.查尔酮衍生物 1C 诱导敏感和耐药卵巢癌细胞 G2/M 期细胞周期阻滞和凋亡与 ROS 生成有关。
Int J Mol Sci. 2024 Jul 9;25(14):7541. doi: 10.3390/ijms25147541.
5
Synthesis, cytotoxicity, anti-inflammatory, anti-metastatic and anti-oxidant activities of novel chalcones incorporating 2-phenoxy-N-arylacetamide and thiophene moieties: induction of apoptosis in MCF7 and HEP2 cells.新型查尔酮的合成、细胞毒性、抗炎、抗转移和抗氧化活性,其中包含 2-苯氧基-N-芳基乙酰胺和噻吩部分:诱导 MCF7 和 HEP2 细胞凋亡。
Naunyn Schmiedebergs Arch Pharmacol. 2024 Dec;397(12):10091-10107. doi: 10.1007/s00210-024-03255-9. Epub 2024 Jul 9.
6
A novel chromone-based as a potential inhibitor of ULK1 that modulates autophagy and induces apoptosis in colon cancer.一种新型基于色酮的化合物作为 ULK1 的潜在抑制剂,可调节自噬并诱导结肠癌细胞凋亡。
Future Med Chem. 2024 Aug 2;16(15):1499-1517. doi: 10.1080/17568919.2024.2363668. Epub 2024 Jul 1.
7
Exploring the Antiproliferative and Modulatory Effects of 1-Methoxyisobrassinin on Ovarian Cancer Cells: Insights into Cell Cycle Regulation, Apoptosis, Autophagy, and Its Interactions with NAC.探索1-甲氧基异硫氰酸苄酯对卵巢癌细胞的抗增殖和调节作用:对细胞周期调控、凋亡、自噬及其与NAC相互作用的见解
Molecules. 2024 Apr 13;29(8):1773. doi: 10.3390/molecules29081773.
8
Synthesis, and Studies of Indole-chalcone Derivatives Targeting Estrogen Receptor Alpha (ER-α) for Breast Cancer.合成及吲哚查尔酮衍生物靶向雌激素受体 α(ER-α)用于乳腺癌的研究。
Curr Comput Aided Drug Des. 2024;20(5):640-652. doi: 10.2174/0115734099263650230926053750.
9
Derivatives Incorporating Acridine, Pyrrole, and Thiazolidine Rings as Promising Antitumor Agents.含吖啶、吡咯和噻唑烷环的衍生物作为有前途的抗肿瘤剂。
Molecules. 2023 Sep 14;28(18):6616. doi: 10.3390/molecules28186616.
10
Design, Synthesis, and Evaluation of Novel Indole Hybrid Chalcones and Their Antiproliferative and Antioxidant Activity.新型吲哚杂合查尔酮的设计、合成与评价及其抗增殖和抗氧化活性
Molecules. 2023 Sep 12;28(18):6583. doi: 10.3390/molecules28186583.
ERK:癌症的双刃剑。ERK 依赖性细胞凋亡作为癌症潜在的治疗策略。
Cells. 2021 Sep 22;10(10):2509. doi: 10.3390/cells10102509.
4
Wee1 Kinase: A Potential Target to Overcome Tumor Resistance to Therapy.Wee1 激酶:克服肿瘤治疗耐药性的潜在靶点。
Int J Mol Sci. 2021 Oct 1;22(19):10689. doi: 10.3390/ijms221910689.
5
Inhibition of Caco-2 and MCF-7 cancer cells using chalcones: synthesis, biological evaluation and computational study.用查耳酮抑制 Caco-2 和 MCF-7 癌细胞:合成、生物评价和计算研究。
Nat Prod Res. 2022 Sep;36(17):4410-4416. doi: 10.1080/14786419.2021.1984465. Epub 2021 Sep 29.
6
Novel A-Ring Chalcone Derivatives of Oleanolic and Ursolic Amides with Anti-Proliferative Effect Mediated through ROS-Triggered Apoptosis.具有通过ROS触发的细胞凋亡介导的抗增殖作用的齐墩果酸和熊果酸酰胺新型A环查耳酮衍生物。
Int J Mol Sci. 2021 Sep 10;22(18):9796. doi: 10.3390/ijms22189796.
7
Role of Phytochemicals in Cancer Chemoprevention: Insights.植物化学物质在癌症化学预防中的作用:见解
Antioxidants (Basel). 2021 Sep 14;10(9):1455. doi: 10.3390/antiox10091455.
8
Mechanism of interaction between autophagy and apoptosis in cancer.癌症中自噬与凋亡之间的相互作用机制。
Apoptosis. 2021 Oct;26(9-10):512-533. doi: 10.1007/s10495-021-01687-9. Epub 2021 Sep 12.
9
Chemistry and bioactivity of plants from the genus Amomum.植物属阿摩姆的化学和生物活性。
J Ethnopharmacol. 2021 Dec 5;281:114563. doi: 10.1016/j.jep.2021.114563. Epub 2021 Aug 24.
10
Dietary polyphenols in chemoprevention and synergistic effect in cancer: Clinical evidences and molecular mechanisms of action.膳食多酚在癌症化学预防中的作用及协同效应:临床证据及作用机制。
Phytomedicine. 2021 Sep;90:153554. doi: 10.1016/j.phymed.2021.153554. Epub 2021 Aug 6.