Suppr超能文献

先天性皮肤松弛症:一例报告及文献综述

Congenital Cutis Laxa: A Case Report and Literature Review.

作者信息

Kun Yang, Mengdong Shi, Cong Fu, Ran Huo

机构信息

Department of Plastic Surgery, Shandong Provincial Hospital, Cheeloo College of Medicine, Shandong University, Jinan, China.

Department of Plastic Surgery, Shandong Provincial Hospital Affiliated to Shandong First Medical University, Jinan, China.

出版信息

Front Surg. 2022 Mar 16;9:814897. doi: 10.3389/fsurg.2022.814897. eCollection 2022.

Abstract

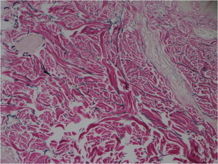
Cutis Laxa is a rare connective tissue disease featuring inelastic and saggy skin. It is thought that plastic surgery might be the most effective treatment, while the previous pieces of literature on the surgical treatment for Cutis Laxa complained of the recurrence. We report a patient of Congenital Cutis Laxa who has received systematic and sequential treatment based on plastic surgery. The patient is content with the effect of treatment, and there are no signs of recurrence after 5 months. By referring to relevant pieces of literature, we evaluate the clinical manifestations and diagnosis of the disease. A multi-step, systematic, and sequential treatment is recommended for the treatment of Congenital Cutis Laxa.

摘要

皮肤松弛症是一种罕见的结缔组织疾病,其特征为皮肤缺乏弹性且松弛。人们认为整形手术可能是最有效的治疗方法,然而先前关于皮肤松弛症外科治疗的文献均提及复发问题。我们报告了一名先天性皮肤松弛症患者,其接受了基于整形手术的系统且连贯的治疗。患者对治疗效果满意,5个月后无复发迹象。通过查阅相关文献,我们对该疾病的临床表现及诊断进行了评估。对于先天性皮肤松弛症的治疗,建议采取多步骤、系统且连贯的治疗方法。

https://cdn.ncbi.nlm.nih.gov/pmc/blobs/0b66/8966123/2fa046def8bc/fsurg-09-814897-g0001.jpg

文献AI研究员

20分钟写一篇综述,助力文献阅读效率提升50倍。

立即体验

用中文搜PubMed

大模型驱动的PubMed中文搜索引擎

马上搜索

文档翻译

学术文献翻译模型,支持多种主流文档格式。

立即体验