Suppr超能文献

结核性胸膜炎患者在治疗过程中出现胸膜基肿块的矛盾性发展:中国的一项临床观察研究。

Paradoxical development of pleural-based masses in patients with pleural tuberculosis during treatment: a clinical observational study in China.

机构信息

Department of Pathology, Shanghai Pulmonary Hospital, Tongji University School of Medicine, Shanghai, 200433, China.

Clinic and Research Center of Tuberculosis, Shanghai Key Lab of Tuberculosis, Shanghai Pulmonary Hospital, Tongji University School of Medicine, No. 507 Zhengmin Road, Yangpu District, Shanghai, 200433, China.

出版信息

BMC Pulm Med. 2022 Apr 4;22(1):126. doi: 10.1186/s12890-022-01910-6.

Abstract

BACKGROUND

To explored the clinical, pathological, and bacteriological characteristics of pleural-based masses occurred during anti-tuberculosis (TB) treatment in patients with pleural TB.

METHODS

Patients referred with newly diagnosed pleural TB were prospectively enrolled into the study. Patients were followed up throughout the treatment, and clinical data were recorded. Percutaneous biopsy and surgical tissues from pleural-based masses were examined histologically and samples sent for PCR. Cytokines in the pleural effusions and clinical factors were collected and compared between different patients.

RESULTS

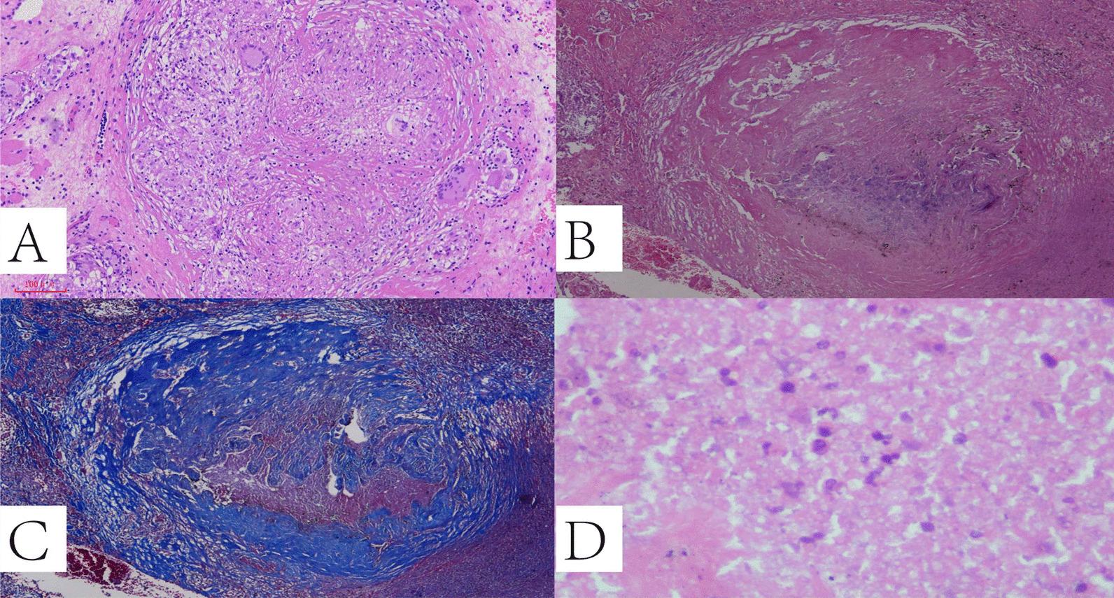
A total of 122 patients with pleural TB were enrolled, and 34.4% (42/122) displayed newly observed pleural-based mass during the treatment. Twelve cases underwent surgical resection at the 12 ± 0.5 months during the treatment course. Based on the surgical observation, 58.3% (7 /12) were located in pleura, 41.7% (5/12) were located in the lung parenchyma. Pathological observations showed that the pleural-based masses were typed as granulomatous inflammation, fibrous hyperplasia and necrosis. Mycobacterium tuberculosis PCR was positive in 57.1% of the cases (24/42). Any first-line anti-TB drug resistance gene mutations were positive in only 9.5% (4/42). Aside from 12 cases who underwent the surgical operation, 86.7% of the patients (26/30) still had a pleural-based mass at the end of 12 months treatment course. Patients with a pleural-based mass were younger, had a thicker pleural, a higher proportion of pleural adhesive, loculated pleural effusion and residual pleural effusion, and a higher level of LDH, ADA and lower glucose in pleural effusion than those without a pleural-based mass occurrence during the treatment (all Pcorr < 0.05).

CONCLUSIONS

Pleural-based masses were observed in about one-third of patients with pleural TB. The masses were in the lung or pleura and were divided into three pathological types.

摘要

背景

本研究旨在探讨结核性胸腔积液(TBPB)患者抗结核(TB)治疗过程中发生胸膜肿块的临床、病理和细菌学特征。

方法

前瞻性纳入新诊断为 TBPB 的患者进行研究。对患者进行全程随访,并记录临床资料。对胸膜肿块的经皮活检和手术组织进行组织学检查,并进行 PCR 检测。收集胸腔积液中的细胞因子和临床资料,并比较不同患者之间的差异。

结果

共纳入 122 例 TBPB 患者,其中 34.4%(42/122)在治疗过程中出现新的胸膜肿块。12 例患者在治疗 12±0.5 个月时进行了手术切除。根据手术观察,58.3%(7/12)位于胸膜,41.7%(5/12)位于肺实质。病理观察显示,胸膜肿块为肉芽肿性炎症、纤维增生和坏死。42 例患者中,57.1%(24/42)结核分枝杆菌 PCR 阳性。仅有 9.5%(4/42)的患者存在任何一线抗结核药物耐药基因突变。除 12 例手术患者外,30 例患者(26/30)在 12 个月治疗结束时仍有胸膜肿块。与无胸膜肿块的患者相比,有胸膜肿块的患者年龄更小,胸膜更厚,胸膜粘连比例更高,胸腔积液包裹和残留更多,胸腔积液 LDH、ADA 水平更高,葡萄糖水平更低(均 Pcorr<0.05)。

结论

大约三分之一的 TBPB 患者出现胸膜肿块。肿块位于肺或胸膜,可分为三种病理类型。

https://cdn.ncbi.nlm.nih.gov/pmc/blobs/b0e7/8981736/fa6223752ee7/12890_2022_1910_Fig1_HTML.jpg

文献AI研究员

20分钟写一篇综述,助力文献阅读效率提升50倍。

立即体验

用中文搜PubMed

大模型驱动的PubMed中文搜索引擎

马上搜索

文档翻译

学术文献翻译模型,支持多种主流文档格式。

立即体验