Zhou Xiaoshuang, Chen Dongtai, Yan Yan, Li Qiang, Xing Wei, Liu Yanling, Chen Yonghua, Wang Dongyin, Yuan Yunfei, Xie Jingdun, Zeng Weian, Pan Jiahao
Department of Anesthesiology, Sun Yat-Sen University Cancer Center, State Key Laboratory of Oncology in South China, Collaborative Innovation Center for Cancer Medicine, 510060, Guangzhou, China.
Department of Anesthesiology, Huizhou Municipal Central Hospital, 516001, Huizhou, China.
Cell Death Discov. 2022 Apr 5;8(1):165. doi: 10.1038/s41420-022-00978-7.
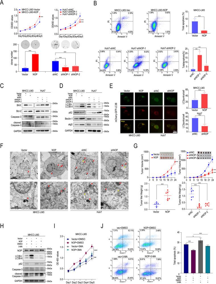
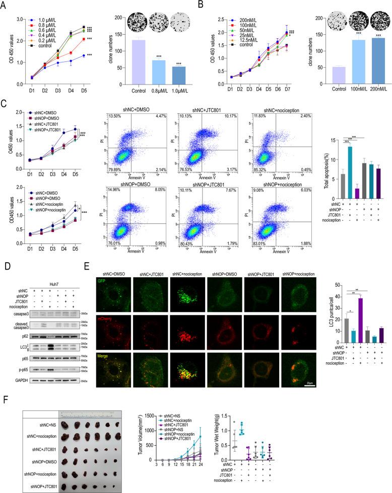
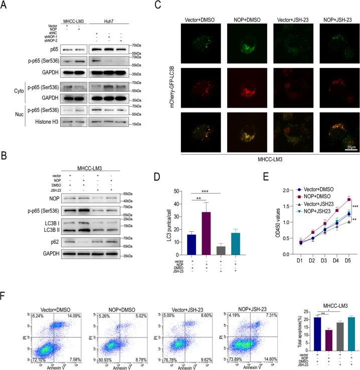
Opioids and their receptors are involved in cancer progression. However, the roles of the nociceptin receptor (NOP) and its antagonist (JTC801) in hepatocellular carcinoma (HCC) are poorly understood. The prognostic value of NOP expression was evaluated using tissue microarray and immunohistochemical staining analyses in a human HCC cohort. The biological role and mechanism of NOP in HCC tumor growth were determined in vitro and in vivo. We found that NOP was associated with the clinicopathological features and survival outcomes of HCC patients. NOP overexpression promoted HCC growth in vitro and in vivo. Mechanistically, NOP activated NF-kB signaling to promote autophagy, which inhibited apoptosis, in HCC cells. An inhibitor of autophagy, 3-MA, and an inhibitor of NF-kB, JSH-23, attenuated the function of NOP in HCC. E2F1 was identified as a transcription factor of NOP. The oncogenic role of NOP was positively regulated by E2F1. Furthermore, JTC801, a selective antagonist of NOP, abolished the function of NOP by inhibiting NF-kB signaling and autophagy. Our study demonstrates that NOP is an oncogene in HCC. We provide a potential therapeutic candidate and prognostic predictor for HCC. JTC801 could become a potential drug for HCC therapy.
阿片类药物及其受体参与癌症进展。然而,痛敏肽受体(NOP)及其拮抗剂(JTC801)在肝细胞癌(HCC)中的作用尚不清楚。在一个人类肝癌队列中,使用组织芯片和免疫组化染色分析评估了NOP表达的预后价值。在体外和体内确定了NOP在肝癌肿瘤生长中的生物学作用和机制。我们发现NOP与肝癌患者的临床病理特征和生存结果相关。NOP过表达在体外和体内均促进肝癌生长。机制上,NOP激活NF-κB信号通路以促进自噬,从而抑制肝癌细胞的凋亡。自噬抑制剂3-MA和NF-κB抑制剂JSH-23减弱了NOP在肝癌中的功能。E2F1被鉴定为NOP的转录因子。NOP的致癌作用受到E2F1的正向调节。此外,NOP的选择性拮抗剂JTC801通过抑制NF-κB信号通路和自噬消除了NOP的功能。我们的研究表明NOP是肝癌中的一个癌基因。我们为肝癌提供了一个潜在的治疗候选物和预后预测指标。JTC801可能成为肝癌治疗的一种潜在药物。