Suppr超能文献

挥发油对胃癌的抑制作用及机制

The Inhibitory Effect and Mechanism of Volatile Oil on Gastric Cancer.

作者信息

Han Rong, Sun Yun, Ma Ruoting, Wang Dexi, Sun Jianan, Zhao Shengjun, Zhang Haiying

机构信息

Department of Pharmacy, Affiliated Hospital of Traditional Chinese Medicine of Xinjiang Medical University, Urumqi 830000, Xinjiang, China.

Xinjiang Key Laboratory of Processing and Research of Traditional Chinese Medicine, Urumqi 830000, Xinjiang, China.

出版信息

Evid Based Complement Alternat Med. 2022 Mar 29;2022:5092742. doi: 10.1155/2022/5092742. eCollection 2022.

Abstract

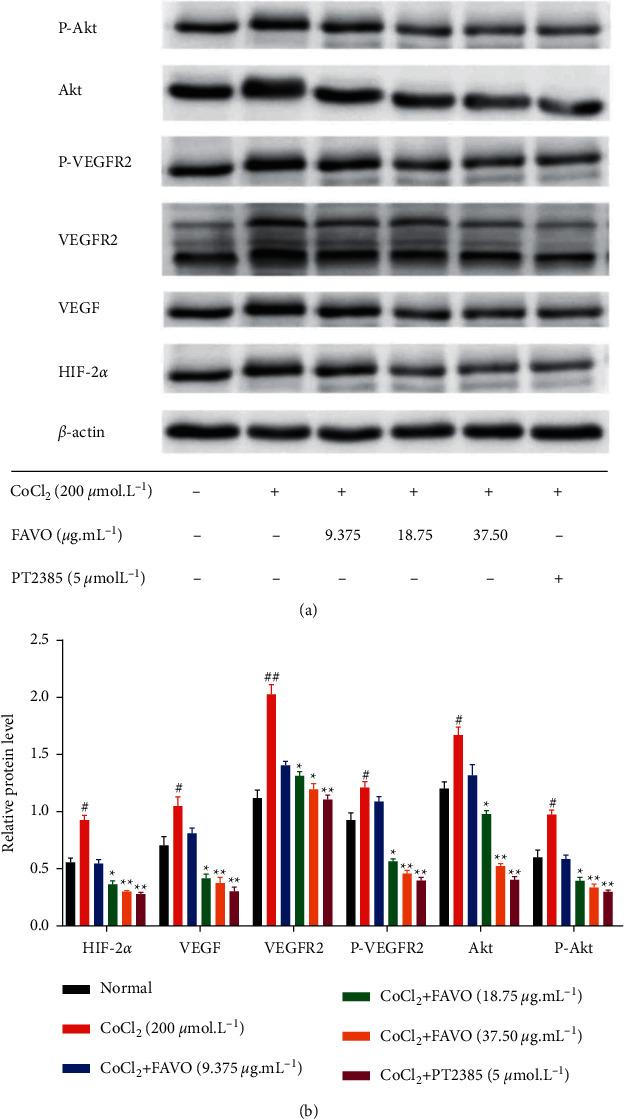
volatile oil (FAVO) has a good inhibitory activity on gastric cancer cell proliferation, but the mechanism of action is not yet clear. In this study, we tested the antigastric cancer efficacy and mechanism of FAVO using both and models. The results showed that FAVO effectively inhibited the proliferation, migration, and invasion of human gastric cancer SGC-7901 cells, the formation of small tubules of human umbilical vein endothelial cells as well as zebrafish intersegmental vessel and intestinal vein angiogenesis. experiments showed that FAVO significantly delayed the growth of SGC-7901 tumor-bearing nude mice and induced higher serum IL-2 and IFN- and reduced serum IL-6. Western blot results showed that FAVO reduced the expression of HIF-2, VEGF, VEGFR2, P-VEGFR2, Akt, and P-Akt in SGC-7901 cells with CoCl induced hypoxia. We further clarified the main chemical components of FAVO through GC-MS analysis. In summary, FAVO may inhibit tumor growth and angiogenesis via inhibiting the HIF-2/VEGF signaling pathway.

摘要

挥发油(FAVO)对胃癌细胞增殖具有良好的抑制活性,但其作用机制尚不清楚。在本研究中,我们使用[具体模型1]和[具体模型2]模型测试了FAVO的抗胃癌疗效及其作用机制。结果表明,FAVO有效抑制人胃癌SGC-7901细胞的增殖、迁移和侵袭,抑制人脐静脉内皮细胞小管形成以及斑马鱼节间血管和肠静脉血管生成。[具体实验名称]实验表明,FAVO显著延缓SGC-7901荷瘤裸鼠的生长,并诱导血清IL-2和IFN-升高,降低血清IL-6。蛋白质免疫印迹结果表明,在CoCl₂诱导的缺氧条件下,FAVO降低SGC-7901细胞中HIF-2、VEGF、VEGFR2、P-VEGFR2、Akt和P-Akt的表达。我们通过气相色谱-质谱联用(GC-MS)分析进一步明确了FAVO的主要化学成分。综上所述,FAVO可能通过抑制HIF-2/VEGF信号通路来抑制肿瘤生长和血管生成。

https://cdn.ncbi.nlm.nih.gov/pmc/blobs/0fd7/8983199/d1a1f914d3bd/ECAM2022-5092742.001.jpg

文献AI研究员

20分钟写一篇综述,助力文献阅读效率提升50倍。

立即体验

用中文搜PubMed

大模型驱动的PubMed中文搜索引擎

马上搜索

文档翻译

学术文献翻译模型,支持多种主流文档格式。

立即体验