Suppr超能文献

维生素D、依帕司他及其组合对伴有和不伴有东莨菪碱诱导失忆的糖尿病大鼠认知增强能力的影响

Cognition enhancing abilities of vitamin D, epalrestat and their combination in diabetic rats with and without scopolamine induced amnesia.

作者信息

Kulkarni Utkarsha D, Kumari Kamalkishore Meena, Vittalrao Amberkar Mohanbabu, Kumar Siraganahalli Eshwaraiah Praveen

机构信息

Department of Pharmacology, Kasturba Medical College, Manipal, Manipal Academy of Higher Education (MAHE), Manipal, Karnataka 576104 India.

出版信息

Cogn Neurodyn. 2022 Apr;16(2):483-495. doi: 10.1007/s11571-021-09718-6. Epub 2021 Sep 15.

Abstract

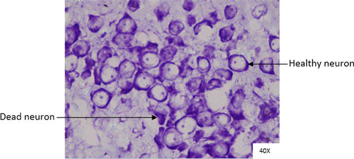
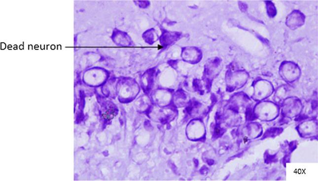
Persistent hyperglycaemia and scopolamine were used to inflict amnesia in rats. Chronic hyperglycaemia causes metabolic impairment, neuronal dysfunction and oxidative stress causing cognitive impairment. This study aimed to determine anti amnesic activities of vitamin D, epalrestat and their combination against diabetes and scopolamine induced cognitive dysfunction. A total of eighty-eight , eleven groups, and 8 rats/Gr., were used. Type 2 diabetes mellitus was induced in all groups, except Gr.1 which was treated with 2 ml normal saline. Gr. 2 to 11 by feeding high fat diet for 28 days followed by single dose streptozotocin 35 mg/kg i.p. Hyperglycemic rats were screened with blood sugar level > 200 mg/dL. Gr. 2 rats were treated with only streptozotocin and Gr. 3 to 6 were treated with streptozotocin and test drugs donepezil 1 mg/kg, vitamin D, 27 mcg/kg, epalrestat 57 mg/kg, vitamin D + epalrestat, per oral, respectively. Gr. 7 rats were treated with only streptozotocin + scopolamine and all others from Gr. 8 to 11 were treated with streptozotocin + scopolamine and donepezil, vitamin D, epalrestat, vitamin D + epalrestat respectively. The gold standard behavioural tests were conducted by using Morris water maze and passive avoidance paradigms after 30-60 min of inj. scopolamine, 0.5 mg/kg, intra-peritoneal. Hippocampal tissue was taken for histopathological and biochemical evaluation. Rats treated with donepezil, vitamin D, epalrestat and vitamin D + epalrestat showed significant improvement in behavioural, biochemical and histopathological parameters as compared to streptozotocin and (streptozotocin + scopolamine) treated rats. This study underscores cognition enhancing abilities of vitamin D and epalrestat, and their combination in diabetic rats with and without scopolamine.

摘要

持续性高血糖和东莨菪碱被用于使大鼠产生失忆。慢性高血糖会导致代谢损伤、神经元功能障碍和氧化应激,进而引起认知障碍。本研究旨在确定维生素D、依帕司他及其组合对糖尿病和东莨菪碱诱导的认知功能障碍的抗失忆活性。总共使用了88只大鼠,分为11组,每组8只。除第1组用2毫升生理盐水处理外,所有组均诱导2型糖尿病。第2至11组通过喂食高脂饮食28天,然后腹腔注射单剂量链脲佐菌素35毫克/千克。血糖水平>200毫克/分升的大鼠被筛选为高血糖大鼠。第2组大鼠仅用链脲佐菌素处理,第3至6组大鼠分别用链脲佐菌素和受试药物多奈哌齐1毫克/千克、维生素D 27微克/千克、依帕司他57毫克/千克、维生素D+依帕司他经口处理。第7组大鼠仅用链脲佐菌素+东莨菪碱处理,第8至11组的所有其他大鼠分别用链脲佐菌素+东莨菪碱和多奈哌齐、维生素D、依帕司他、维生素D+依帕司他处理。在腹腔注射0.5毫克/千克东莨菪碱30 - 60分钟后,使用莫里斯水迷宫和被动回避范式进行金标准行为测试。取海马组织进行组织病理学和生化评估。与链脲佐菌素和(链脲佐菌素+东莨菪碱)处理的大鼠相比,用多奈哌齐、维生素D、依帕司他和维生素D+依帕司他处理的大鼠在行为、生化和组织病理学参数方面有显著改善。本研究强调了维生素D和依帕司他及其组合在有或没有东莨菪碱的糖尿病大鼠中的认知增强能力。

https://cdn.ncbi.nlm.nih.gov/pmc/blobs/2a3f/8934839/04a34fa90b60/11571_2021_9718_Fig9_HTML.jpg

文献检索

告别复杂PubMed语法,用中文像聊天一样搜索,搜遍4000万医学文献。AI智能推荐,让科研检索更轻松。

立即免费搜索

文件翻译

保留排版,准确专业,支持PDF/Word/PPT等文件格式,支持 12+语言互译。

免费翻译文档

深度研究

AI帮你快速写综述,25分钟生成高质量综述,智能提取关键信息,辅助科研写作。

立即免费体验