Suppr超能文献

CD19嵌合抗原受体T细胞疗法后巨细胞病毒性视网膜炎

Post-CD19 Chimeric Antigen Receptor T-Cell Therapy Cytomegalovirus Retinitis.

作者信息

Bin Dokhi Haifa, Alharbi Amjad O, Ibnouf Nida H, Alahmari Bader, Refka Mohammed N

机构信息

College of Medicine, King Saud Bin Abdulaziz University for Health Sciences, Riyadh, SAU.

Collage of Medicine, Alfaisal University, Riyadh, SAU.

出版信息

Cureus. 2022 Mar 9;14(3):e23002. doi: 10.7759/cureus.23002. eCollection 2022 Mar.

Abstract

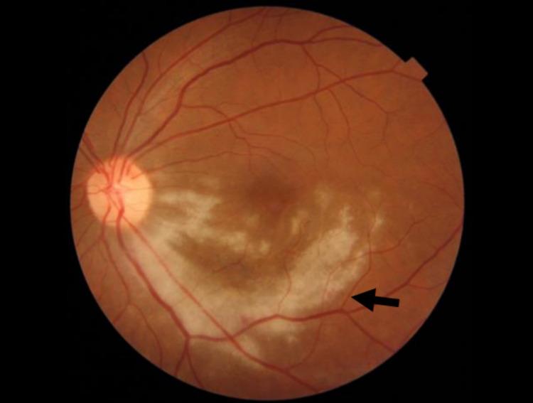
The purpose of this case report was to present a case of cytomegalovirus (CMV) retinitis in a patient with diffuse large B-cell lymphoma (DLBCL) post-CD19 chimeric antigen receptor (CAR) T-cell therapy. A 43-year-old female patient who was complaining of metamorphopsia and sudden blurring in the vision of her left eye was referred to the ophthalmology department. The patient had DLBCL and was started on systemic chemotherapy, which showed no response to therapy and disease progression. Therefore, she was diagnosed with primary refractory DLBCL and treated with CAR T-cell therapy. The visual acuity of the left eye was 20/25 in the left eye on the Snellen visual acuity chart. The dilated fundus examination of the left eye demonstrated a diffuse yellowish retinal infiltration radiating from the optic disc involving the inferior macula and inferotemporal arcade. A color fundus image of the left eye showed a creamy infiltrate involving the inferior half of the macula sparing the fovea with subtle small white lesions in the midperiphery. Horizontal cross-section optical coherence tomography (OCT) of the macula of the left eye showed islands of destruction of all the retinal layers, which are replaced with moderately hyperreflective material; these infiltrates spare the fovea but with subfoveal fluid. Further systemic evaluation indicated CMV viremia reactivation and an absolute CD4+ cells count of 13 cells/mcL. Thus, she was diagnosed with CMV retinitis. After three days of the initial presentation, she received the first intravitreal ganciclovir injection; 17 days after presentation, she received five intravitreal ganciclovir injections. The patient responded well to intravitreal ganciclovir therapy. She regained very good vision, and the visual acuity was 20/20 in both eyes. Early recognition and initiation of proper treatment are crucial. Thus, any visual complaints in patients with immunodeficiency should be taken seriously and should be further assessed. As the right eye had retinal scaring indicating previous retinitis, prophylactic treatment with ganciclovir could have been used to reduce the risk of retinitis development in the left eye.

摘要

本病例报告的目的是介绍1例接受CD19嵌合抗原受体(CAR)T细胞治疗的弥漫性大B细胞淋巴瘤(DLBCL)患者发生巨细胞病毒(CMV)视网膜炎的情况。一名43岁女性患者因主诉视物变形及左眼视力突然模糊而被转诊至眼科。该患者患有DLBCL,开始接受全身化疗,但治疗无反应且疾病进展。因此,她被诊断为原发性难治性DLBCL并接受CAR T细胞治疗。在斯内伦视力表上,该患者左眼视力为20/25。左眼散瞳眼底检查显示,从视盘发出的弥漫性淡黄色视网膜浸润累及黄斑下及颞下弓。左眼彩色眼底图像显示,黄斑下半部有奶油状浸润,中央凹未受累,周边中部有细微的小白斑。左眼黄斑水平截面光学相干断层扫描(OCT)显示,所有视网膜层均有破坏区,被中等高反射物质取代;这些浸润灶未累及中央凹,但有黄斑下液。进一步的全身评估显示CMV病毒血症再激活,绝对CD4+细胞计数为13个/微升。因此,她被诊断为CMV视网膜炎。首次就诊3天后,她接受了首次玻璃体内更昔洛韦注射;就诊17天后,她接受了5次玻璃体内更昔洛韦注射。该患者对玻璃体内更昔洛韦治疗反应良好。她恢复了很好的视力,双眼视力均为20/20。早期识别并开始适当治疗至关重要。因此,免疫缺陷患者的任何视觉主诉都应予以重视并进一步评估。由于右眼有视网膜瘢痕提示既往有视网膜炎,可使用更昔洛韦进行预防性治疗以降低左眼发生视网膜炎的风险。

https://cdn.ncbi.nlm.nih.gov/pmc/blobs/d4eb/8993130/d5a237fa9659/cureus-0014-00000023002-i01.jpg

文献检索

告别复杂PubMed语法,用中文像聊天一样搜索,搜遍4000万医学文献。AI智能推荐,让科研检索更轻松。

立即免费搜索

文件翻译

保留排版,准确专业,支持PDF/Word/PPT等文件格式,支持 12+语言互译。

免费翻译文档

深度研究

AI帮你快速写综述,25分钟生成高质量综述,智能提取关键信息,辅助科研写作。

立即免费体验