Suppr超能文献

AIM2 通过 MAPK 信号通路促进胃癌细胞增殖。

AIM2 Promotes Gastric Cancer Cell Proliferation via the MAPK Signaling Pathway.

机构信息

Department of Surgical Oncology, The First Affiliated Hospital of Bengbu Medical College, Bengbu, China.

Department of Emergency, The Third Affiliated Hospital of Anhui Medical University, Hefei, China.

出版信息

J Healthc Eng. 2022 Apr 7;2022:8756844. doi: 10.1155/2022/8756844. eCollection 2022.

Abstract

BACKGROUND

Gastric cancer (GC) is a highly prevalent tumor type. The dysregulated expression of melanoma deficiency factor 2 (AIM2) has been observed in a range of tumor types. Herein, we explore the role of AIM2 in the regulation of GC progression.

METHODS

Gastric cancer cells BGC-823 and MGC-803 in logarithmic growth phase were divided into blank group (control), Control group (NC) and SH-AIM2 group, respectively. Control group and SH-AIM2 group were transfected with AIM2 NC and SH-AIM2, respectively. Nude mice were divided into blank group (control) and SH-AIM2 group, and the treatment methods were the same as above. Differential AIM2 expression in GC tissues was assessed via bioinformatics analyses, after which western blotting was used for analyzing the AIM2 levels in tumor and paracancerous tissues from five stomach cancer patients. In addition, qPCR and protein imprinting were used to assess AIM2 expression levels in GC cells, and AIM2 knockdown was conducted in MGC-803 and BGC-823cells, after which colony formation and EdU incorporation assay were utilized to assess cell proliferation. The oncogenic role of AIM2 was then assessed in mice and validated through immunohistochemical analyses.

RESULTS

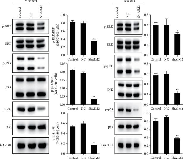
GC tissues and cell lines exhibited marked AIM2 overexpression. AIM2 knockdown significantly impaired GC cell proliferation and migration, as confirmed through assays. In vivo experiments showed that both the increment ability and invasion and migration ability of AIM2 knockdown group were significantly lower than that of control and NC the change of AIM2 protein level would affect the change of MAPK pathway related protein level.

CONCLUSIONS

AIM2 knockdown markedly suppresses the proliferation, migration, as well as invasion of GC cells via the inhibition of MAPK signaling, thereby slowing tumor progression. Overall, these results suggest that further analyses of AIM2 may offer clinically valuable insights that can aid in the treatment of human GC.

摘要

背景

胃癌(GC)是一种高发肿瘤类型。在多种肿瘤类型中观察到黑色素瘤缺失因子 2(AIM2)的失调表达。在此,我们探讨了 AIM2 在调节 GC 进展中的作用。

方法

对数生长期 BGC-823 和 MGC-803 胃癌细胞分别分为空白组(对照组)、对照组(NC)和 SH-AIM2 组,对照组和 SH-AIM2 组分别转染 AIM2 NC 和 SH-AIM2。裸鼠分为空白组(对照组)和 SH-AIM2 组,处理方法同上。通过生物信息学分析评估 GC 组织中差异表达的 AIM2,然后用 Western blot 检测 5 例胃癌患者肿瘤和癌旁组织中的 AIM2 水平。此外,qPCR 和蛋白印迹用于评估 GC 细胞中的 AIM2 表达水平,并在 MGC-803 和 BGC-823 细胞中进行 AIM2 敲低,然后通过集落形成和 EdU 掺入实验评估细胞增殖。然后在小鼠中评估 AIM2 的致癌作用,并通过免疫组织化学分析进行验证。

结果

GC 组织和细胞系中 AIM2 表达明显上调。通过检测证实,AIM2 敲低显著抑制 GC 细胞增殖和迁移。体内实验表明,AIM2 敲低组的增值能力和侵袭、迁移能力均明显低于对照组和 NC 组,AIM2 蛋白水平的变化会影响 MAPK 通路相关蛋白水平的变化。

结论

通过抑制 MAPK 信号通路,AIM2 敲低显著抑制 GC 细胞的增殖、迁移和侵袭,从而减缓肿瘤进展。总之,这些结果表明,进一步分析 AIM2 可能为治疗人类 GC 提供有价值的临床见解。

https://cdn.ncbi.nlm.nih.gov/pmc/blobs/1f72/9010154/5fa569c7ce88/JHE2022-8756844.001.jpg

文献AI研究员

20分钟写一篇综述,助力文献阅读效率提升50倍。

立即体验

用中文搜PubMed

大模型驱动的PubMed中文搜索引擎

马上搜索

文档翻译

学术文献翻译模型,支持多种主流文档格式。

立即体验