Institute Reproductive Health, Tongji Medical College, Huazhong University of Science and Technology, Wuhan, Hubei, 430030, China.
Laboratory of Gynecological Oncology and Reproductive Health, Department of Obstetrics and Gynaecology, Xiangyang No.1 People's Hospital, Hubei University of Medicine, Xiangyang, Hubei, 441000, China.
Cell Death Dis. 2022 Apr 19;13(4):377. doi: 10.1038/s41419-022-04837-2.
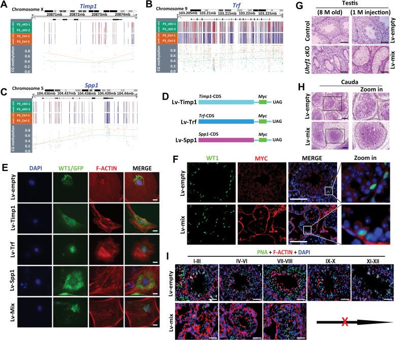
Sertoli cells (SCs) support and nourish germ cells (GCs) through their crosstalk during spermatogenesis. However, the underlying epigenetic mechanism that ensures SCs' functions in this process remains unclear. Here, we report that UHRF1, a critical epigenetic regulator, is mainly expressed in human and mouse pre-mature SCs, and is essential for establishing Sertoli-Germ cell crosstalk. SC-specific UHRF1 knockout mice exhibit complete sterility with Sertoli cell (SC) proliferation and differentiation aberrance, blood-testis barrier (BTB) disruption, and immature germ cell (GC) sloughing. RNA sequencing and Whole Genome Bisulfite Sequencing (WGBS) revealed that many extracellular matrix (ECM)-related genes (e.g., Timp1, Trf, and Spp1) appeared upregulated with the DNA hypomethylation status in UHRF1-deficient SCs. Strikingly, overexpression of Timp1, Trf, and Spp1 in SCs in vitro and in vivo could phenocopy the SC-specific UHRF1-deficient mice. Our data demonstrated that UHRF1 regulates the transcriptional program of ECM-related genes in SCs and establishes SC-GC crosstalk.
支持细胞 (SCs) 通过在精子发生过程中的相互作用来支持和滋养生殖细胞 (GCs)。然而,确保SCs 在这个过程中发挥功能的潜在表观遗传机制尚不清楚。在这里,我们报告说,UHRF1 是一种关键的表观遗传调节剂,主要在人类和小鼠未成熟的SCs 中表达,对于建立 Sertoli-Germ 细胞串扰是必不可少的。SC 特异性 UHRF1 敲除小鼠表现出完全不育,伴有SCs 增殖和分化异常、血睾屏障 (BTB) 破坏和不成熟 GC 脱落。RNA 测序和全基因组亚硫酸氢盐测序 (WGBS) 显示,许多细胞外基质 (ECM)-相关基因(例如,Timp1、Trf 和 Spp1)在 UHRF1 缺陷型SCs 中表现出上调,并且 DNA 低甲基化状态。引人注目的是,Timp1、Trf 和 Spp1 在 SCs 中的体外和体内过表达可以在体内和体外模拟 SC 特异性 UHRF1 缺陷型小鼠。我们的数据表明,UHRF1 调节 SCs 中 ECM 相关基因的转录程序,并建立 SC-GC 串扰。