Suppr超能文献

升主动脉夹层动脉瘤合并异常锁骨下动脉夹层支架置入修复术

Type A aortic dissection repair with a dissection stent in presence of aberrant subclavian artery.

机构信息

Department of Cardiovascular Surgery, University Hospital Frankfurt, Frankfurt, Germany.

出版信息

Interact Cardiovasc Thorac Surg. 2022 Aug 3;35(3). doi: 10.1093/icvts/ivac100.

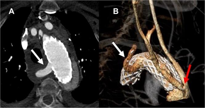
Abstract

Aberrant right subclavian artery is a rare congenital aortic arch anomaly. We report on a case of type A aortic dissection and aberrant right subclavian artery. The 65-year-old female patient received a replacement of the ascending aorta and arch repair using an uncovered AMDS (Ascyrus Medical Dissection Stent; CryoLife Inc., Kennesaw, GA, USA) with debranching of both common carotid arteries. Postoperative computed tomography scan revealed regular aortic blood flow with the unrestricted carotid artery and aberrant right subclavian artery perfusion.

摘要

异常右锁骨下动脉是一种罕见的先天性主动脉弓畸形。我们报告一例 A 型主动脉夹层和异常右锁骨下动脉。该 65 岁女性患者接受了升主动脉置换和使用未覆膜的 AMDS(Ascyrus Medical Dissection Stent;CryoLife Inc.,佐治亚州肯尼索)进行的弓部修复,同时对双侧颈总动脉进行了分支重建。术后计算机断层扫描显示主动脉血流正常,颈动脉和异常右锁骨下动脉灌注不受限制。

https://cdn.ncbi.nlm.nih.gov/pmc/blobs/cd42/9419671/b63cce09e650/ivac100f1.jpg

文献检索

告别复杂PubMed语法,用中文像聊天一样搜索,搜遍4000万医学文献。AI智能推荐,让科研检索更轻松。

立即免费搜索

文件翻译

保留排版,准确专业,支持PDF/Word/PPT等文件格式,支持 12+语言互译。

免费翻译文档

深度研究

AI帮你快速写综述,25分钟生成高质量综述,智能提取关键信息,辅助科研写作。

立即免费体验