• 文献检索
  • 文档翻译
  • 深度研究
  • 学术资讯
  • Suppr Zotero 插件Zotero 插件
  • 邀请有礼
  • 套餐&价格
  • 历史记录
应用&插件
Suppr Zotero 插件Zotero 插件浏览器插件Mac 客户端Windows 客户端微信小程序
定价
高级版会员购买积分包购买API积分包
服务
文献检索文档翻译深度研究API 文档MCP 服务
关于我们
关于 Suppr公司介绍联系我们用户协议隐私条款
关注我们

Suppr 超能文献

核心技术专利:CN118964589B侵权必究
粤ICP备2023148730 号-1Suppr @ 2026

文献检索

告别复杂PubMed语法,用中文像聊天一样搜索,搜遍4000万医学文献。AI智能推荐,让科研检索更轻松。

立即免费搜索

文件翻译

保留排版,准确专业,支持PDF/Word/PPT等文件格式,支持 12+语言互译。

免费翻译文档

深度研究

AI帮你快速写综述,25分钟生成高质量综述,智能提取关键信息,辅助科研写作。

立即免费体验

一例免疫功能正常的新冠病毒肺炎患者发生巨细胞病毒性结肠炎的病例。

A Case of Cytomegalovirus Colitis in an Immunocompetent COVID-19 Patient.

作者信息

Bakir Mohamad, Rebh Fatima, Mahdi Elham, AlFiaar Abdullah, Mansoor Gaafar S

机构信息

College of Medicine, Alfaisal University, Riyadh, SAU.

Department of Internal Medicine, Section of Infectious Diseases, Prince Mohammed Bin Abdulaziz Hospital, Riyadh, SAU.

出版信息

Cureus. 2022 Mar 16;14(3):e23203. doi: 10.7759/cureus.23203. eCollection 2022 Mar.

DOI:10.7759/cureus.23203
PMID:35444867
原文链接:https://pmc.ncbi.nlm.nih.gov/articles/PMC9010931/
Abstract

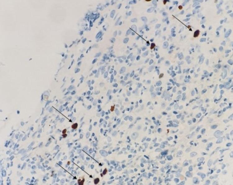
Cytomegalovirus (CMV) is a double-stranded DNA virus that belongs to the herpesvirus family. In the immunocompetent host, CMV infection is usually mild and goes unnoticed. Patients become prone to CMV infection as a result of immunosuppressive drugs or disorders that weaken cellular immunity. In severe COVID-19 infection, the patient experiences a drop in his T lymphocytes and becomes prone to opportunistic infections such as CMV colitis. In this paper, we presented a rare case of CMV colitis in a 54-year-old female with a positive severe acute respiratory syndrome coronavirus 2 (SARS-CoV2) polymerase chain reaction. The patient was admitted to the intensive care unit and intubated due to the severity of her presentation. The patient received high-dose dexamethasone followed by a tapering dose of prednisolone. Fifteen days post-admission, the patient started to have melena with a drop in her hemoglobin. Sigmoidoscopy revealed ulcerated lesions that extended 5 cm proximally, and multiple biopsies confirmed the diagnosis of CMV colitis. The patient was started on ganciclovir 5 mg/kg intravenously for 21 days. The patient's symptoms improved to the point where she no longer complained of melena, and her hemoglobin level normalized. The patient was discharged home in stable condition, to be followed later in the outpatient clinic.

摘要

巨细胞病毒(CMV)是一种双链DNA病毒,属于疱疹病毒科。在免疫功能正常的宿主中,CMV感染通常较轻,不易被察觉。由于免疫抑制药物或削弱细胞免疫的疾病,患者容易发生CMV感染。在严重的COVID-19感染中,患者的T淋巴细胞会减少,容易发生机会性感染,如CMV结肠炎。在本文中,我们报告了一例罕见的CMV结肠炎病例,患者为一名54岁女性,严重急性呼吸综合征冠状病毒2(SARS-CoV2)聚合酶链反应呈阳性。由于病情严重,患者被收入重症监护病房并插管。患者接受了大剂量地塞米松治疗,随后逐渐减量使用泼尼松龙。入院15天后,患者开始出现黑便,血红蛋白下降。乙状结肠镜检查发现溃疡病变向近端延伸5厘米,多次活检确诊为CMV结肠炎。患者开始静脉注射更昔洛韦,剂量为5毫克/千克,持续21天。患者的症状有所改善,不再抱怨黑便,血红蛋白水平恢复正常。患者出院时病情稳定,随后将在门诊进行随访。

https://cdn.ncbi.nlm.nih.gov/pmc/blobs/49d5/9010931/2483ebd97bfb/cureus-0014-00000023203-i05.jpg
https://cdn.ncbi.nlm.nih.gov/pmc/blobs/49d5/9010931/0ad132cefb22/cureus-0014-00000023203-i01.jpg
https://cdn.ncbi.nlm.nih.gov/pmc/blobs/49d5/9010931/16b26678a283/cureus-0014-00000023203-i02.jpg
https://cdn.ncbi.nlm.nih.gov/pmc/blobs/49d5/9010931/7d3d1c2805f5/cureus-0014-00000023203-i03.jpg
https://cdn.ncbi.nlm.nih.gov/pmc/blobs/49d5/9010931/da8a06eb7bdf/cureus-0014-00000023203-i04.jpg
https://cdn.ncbi.nlm.nih.gov/pmc/blobs/49d5/9010931/2483ebd97bfb/cureus-0014-00000023203-i05.jpg
https://cdn.ncbi.nlm.nih.gov/pmc/blobs/49d5/9010931/0ad132cefb22/cureus-0014-00000023203-i01.jpg
https://cdn.ncbi.nlm.nih.gov/pmc/blobs/49d5/9010931/16b26678a283/cureus-0014-00000023203-i02.jpg
https://cdn.ncbi.nlm.nih.gov/pmc/blobs/49d5/9010931/7d3d1c2805f5/cureus-0014-00000023203-i03.jpg
https://cdn.ncbi.nlm.nih.gov/pmc/blobs/49d5/9010931/da8a06eb7bdf/cureus-0014-00000023203-i04.jpg
https://cdn.ncbi.nlm.nih.gov/pmc/blobs/49d5/9010931/2483ebd97bfb/cureus-0014-00000023203-i05.jpg

相似文献

1
A Case of Cytomegalovirus Colitis in an Immunocompetent COVID-19 Patient.一例免疫功能正常的新冠病毒肺炎患者发生巨细胞病毒性结肠炎的病例。
Cureus. 2022 Mar 16;14(3):e23203. doi: 10.7759/cureus.23203. eCollection 2022 Mar.
2
Cytomegalovirus colitis in immunocompetent hosts: A case report and literature review.免疫功能正常宿主的巨细胞病毒性结肠炎:一例报告及文献综述
Clin Case Rep. 2024 Jan 8;12(1):e8435. doi: 10.1002/ccr3.8435. eCollection 2024 Jan.
3
Severe CMV pneumonitis and the resulting ARDS in a 28-year-old pregnant woman: a case report.28 岁孕妇发生严重巨细胞病毒肺炎及由此导致的急性呼吸窘迫综合征:病例报告。
BMC Infect Dis. 2023 Mar 22;23(1):176. doi: 10.1186/s12879-023-08091-5.
4
Coexisting cytomegalovirus colitis in an immunocompetent patient with colitis: A case report.一名免疫功能正常的结肠炎患者合并巨细胞病毒性结肠炎:病例报告。
World J Clin Cases. 2023 Apr 6;11(10):2343-2348. doi: 10.12998/wjcc.v11.i10.2343.
5
Cytomegalovirus colitis induced segmental colonic hypoganglionosis in an immunocompetent patient: A case report.巨细胞病毒性结肠炎在免疫功能正常患者中诱发节段性结肠神经节减少症:一例报告
World J Clin Cases. 2021 Jul 16;9(20):5631-5636. doi: 10.12998/wjcc.v9.i20.5631.
6
Acute cytomegalovirus infection in an immunocompetent patient with ulcerative colitis: A case report.一名免疫功能正常的溃疡性结肠炎患者的急性巨细胞病毒感染:病例报告
Exp Ther Med. 2019 Sep;18(3):2271-2277. doi: 10.3892/etm.2019.7823. Epub 2019 Jul 26.
7
Reactivated cytomegalovirus proctitis in an immunocompetent patient presenting as nosocomial diarrhea: a case report and literature review.一名免疫功能正常患者发生医院获得性腹泻,病因是巨细胞病毒直肠炎再激活:病例报告及文献综述
BMC Infect Dis. 2017 Feb 1;17(1):113. doi: 10.1186/s12879-017-2218-y.
8
Coexisting cytomegalovirus infection in immunocompetent patients with Clostridium difficile colitis.免疫功能正常的艰难梭菌结肠炎患者合并巨细胞病毒感染。
J Microbiol Immunol Infect. 2016 Dec;49(6):829-836. doi: 10.1016/j.jmii.2015.12.007. Epub 2016 Jan 12.
9
Multiple thrombosis associated with Cytomegalovirus enterocolitis in an immunocompetent patient: a case report.免疫功能正常患者的巨细胞病毒性肠炎相关多发性血栓形成:一例报告。
BMC Infect Dis. 2021 Jun 5;21(1):530. doi: 10.1186/s12879-021-06230-4.
10
Everolimus-associated cytomegalovirus colitis in a patient with metastasized breast cancer: a case report.转移性乳腺癌患者接受依维莫司治疗后出现巨细胞病毒结肠炎:病例报告。
Breast Cancer. 2020 Jul;27(4):776-779. doi: 10.1007/s12282-019-01026-6. Epub 2019 Nov 26.

引用本文的文献

1
Severe Refractory Diarrhea Associated with COVID-19: A Case Report.与新型冠状病毒肺炎相关的严重难治性腹泻:一例报告
Case Rep Gastroenterol. 2024 Jun 14;18(1):318-326. doi: 10.1159/000539413. eCollection 2024 Jan-Dec.

本文引用的文献

1
Co-infections in people with COVID-19: a systematic review and meta-analysis.COVID-19 患者合并感染:系统评价和荟萃分析。
J Infect. 2020 Aug;81(2):266-275. doi: 10.1016/j.jinf.2020.05.046. Epub 2020 May 27.
2
The clinical course and its correlated immune status in COVID-19 pneumonia.新型冠状病毒肺炎的临床过程及其相关免疫状态。
J Clin Virol. 2020 Jun;127:104361. doi: 10.1016/j.jcv.2020.104361. Epub 2020 Apr 12.
3
Clinical and immunological features of severe and moderate coronavirus disease 2019.新型冠状病毒病 2019 重症和中度患者的临床和免疫学特征。
J Clin Invest. 2020 May 1;130(5):2620-2629. doi: 10.1172/JCI137244.
4
Diagnosis and Management of CMV Colitis.巨细胞病毒性结肠炎的诊断与管理
Curr Infect Dis Rep. 2019 Feb 15;21(2):5. doi: 10.1007/s11908-019-0664-y.
5
Absolute Lymphocyte Count: A Predictor of Recurrent Cytomegalovirus Disease in Solid Organ Transplant Recipients.绝对淋巴细胞计数:实体器官移植受者巨细胞病毒病复发的预测指标。
Clin Infect Dis. 2018 Oct 15;67(9):1395-1402. doi: 10.1093/cid/ciy295.
6
Large bowel perforation secondary to CMV colitis: an unusual primary presentation of HIV infection.巨细胞病毒性结肠炎继发大肠穿孔:一种不寻常的HIV感染初发表现。
BMJ Case Rep. 2016 Dec 21;2016:bcr2016217221. doi: 10.1136/bcr-2016-217221.
7
Cytomegalovirus infection in immunocompetent critically ill adults: literature review.免疫功能正常的重症成年患者的巨细胞病毒感染:文献综述
Ann Intensive Care. 2016 Dec;6(1):110. doi: 10.1186/s13613-016-0207-8. Epub 2016 Nov 3.
8
Cytomegalovirus colitis followed by ischemic colitis in a non-immunocompromised adult: a case report.一名非免疫功能低下成年人巨细胞病毒性结肠炎继发缺血性结肠炎:病例报告
World J Gastroenterol. 2015 Mar 28;21(12):3750-4. doi: 10.3748/wjg.v21.i12.3750.
9
High frequency of parasitic and viral stool pathogens in patients with active ulcerative colitis: report from a tropical country.活动性溃疡性结肠炎患者粪便中寄生虫和病毒病原体的高频率:来自一个热带国家的报告。
Scand J Gastroenterol. 2009;44(3):325-31. doi: 10.1080/00365520802556809.
10
Cytomegalovirus immunization: status, prospects, and problems.巨细胞病毒免疫:现状、前景与问题。
Rev Infect Dis. 1980 May-Jun;2(3):449-58. doi: 10.1093/clinids/2.3.449.