• 文献检索
  • 文档翻译
  • 深度研究
  • 学术资讯
  • Suppr Zotero 插件Zotero 插件
  • 邀请有礼
  • 套餐&价格
  • 历史记录
应用&插件
Suppr Zotero 插件Zotero 插件浏览器插件Mac 客户端Windows 客户端微信小程序
定价
高级版会员购买积分包购买API积分包
服务
文献检索文档翻译深度研究API 文档MCP 服务
关于我们
关于 Suppr公司介绍联系我们用户协议隐私条款
关注我们

Suppr 超能文献

核心技术专利:CN118964589B侵权必究
粤ICP备2023148730 号-1Suppr @ 2026

文献检索

告别复杂PubMed语法,用中文像聊天一样搜索,搜遍4000万医学文献。AI智能推荐,让科研检索更轻松。

立即免费搜索

文件翻译

保留排版,准确专业,支持PDF/Word/PPT等文件格式,支持 12+语言互译。

免费翻译文档

深度研究

AI帮你快速写综述,25分钟生成高质量综述,智能提取关键信息,辅助科研写作。

立即免费体验

肠系膜下动脉瘤一种独特的病因假说:病例报告。

A unique proposed etiology for inferior mesenteric artery aneurysm: A case report.

作者信息

Christie Omari, Isaac Naomi, Hanumaiah Ravikumar

机构信息

SUNY Upstate University Hospital, 750 E Adams St. Syracuse, NY 13210.

Touro College of Osteopathic Medicine, 60 Prospect Ave, Middletown, NY 10940.

出版信息

Radiol Case Rep. 2022 Apr 10;17(6):2047-2051. doi: 10.1016/j.radcr.2022.03.057. eCollection 2022 Jun.

DOI:10.1016/j.radcr.2022.03.057
PMID:35450145
原文链接:https://pmc.ncbi.nlm.nih.gov/articles/PMC9018125/
Abstract

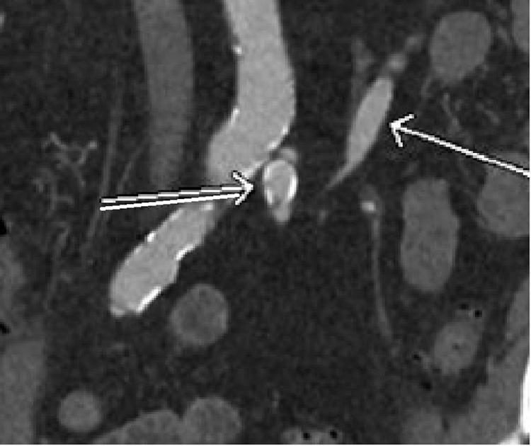
The etiology of large artery aneurysms has long been established as secondary to atherosclerotic disease and degenerative changes in the vessel walls. Less common, are aneurysms of the visceral arteries; the splanchnic and renal arteries. Rarer yet, are inferior mesenteric artery aneurysms, accounting for approximately 1% of visceral artery aneurysms. While causes range from inflammatory to congenital disease, a proposed etiology of proximal, solitary inferior mesenteric artery aneurysms, is correlated to the "jet disorder phenomenon," first described in a 1990 case report by Sugrue, and Hederman. This paradigm states that aneurysm formation may occur secondary to celiac and superior mesenteric artery occlusion, causing increased, and turbulent arterial flow distally. We present a case that demonstrates a small inferior mesenteric artery aneurysm without findings of celiac or superior mesenteric artery stenosis or occlusion. This patient did, however, have a large thrombosed common hepatic artery aneurysm which may serve as an alternate cause of jet disorder phenomenon. The findings in this case offers support for focused screening of proximal arterial vasculature when an inferior mesenteric artery aneurysm is encountered.

摘要

大动脉动脉瘤的病因长期以来一直被认为是继发于动脉粥样硬化疾病和血管壁的退行性变化。内脏动脉的动脉瘤较少见,如内脏和肾动脉。更罕见的是肠系膜下动脉动脉瘤,约占内脏动脉动脉瘤的1%。虽然病因范围从炎症性疾病到先天性疾病,但一种关于近端孤立性肠系膜下动脉动脉瘤的病因假说与“喷射紊乱现象”相关,该现象最早在1990年Sugrue和Hederman的病例报告中描述。该范例指出,动脉瘤形成可能继发于腹腔干和肠系膜上动脉闭塞,导致远端动脉血流增加和紊乱。我们报告一例病例,该病例显示一个小的肠系膜下动脉动脉瘤,未发现腹腔干或肠系膜上动脉狭窄或闭塞。然而,该患者有一个大的血栓形成的肝总动脉瘤,这可能是喷射紊乱现象的另一个原因。该病例的发现为遇到肠系膜下动脉动脉瘤时对近端动脉血管进行重点筛查提供了支持。

https://cdn.ncbi.nlm.nih.gov/pmc/blobs/47fd/9018125/ea33dc566e34/gr4.jpg
https://cdn.ncbi.nlm.nih.gov/pmc/blobs/47fd/9018125/4e58ad45ff34/gr1.jpg
https://cdn.ncbi.nlm.nih.gov/pmc/blobs/47fd/9018125/b3e1a11288bc/gr2.jpg
https://cdn.ncbi.nlm.nih.gov/pmc/blobs/47fd/9018125/18c22dc1a4dc/gr3.jpg
https://cdn.ncbi.nlm.nih.gov/pmc/blobs/47fd/9018125/ea33dc566e34/gr4.jpg
https://cdn.ncbi.nlm.nih.gov/pmc/blobs/47fd/9018125/4e58ad45ff34/gr1.jpg
https://cdn.ncbi.nlm.nih.gov/pmc/blobs/47fd/9018125/b3e1a11288bc/gr2.jpg
https://cdn.ncbi.nlm.nih.gov/pmc/blobs/47fd/9018125/18c22dc1a4dc/gr3.jpg
https://cdn.ncbi.nlm.nih.gov/pmc/blobs/47fd/9018125/ea33dc566e34/gr4.jpg

相似文献

1
A unique proposed etiology for inferior mesenteric artery aneurysm: A case report.肠系膜下动脉瘤一种独特的病因假说:病例报告。
Radiol Case Rep. 2022 Apr 10;17(6):2047-2051. doi: 10.1016/j.radcr.2022.03.057. eCollection 2022 Jun.
2
A case of atherosclerotic inferior mesenteric artery aneurysm secondary to high flow state.继发于高流量状态的粥样硬化性肠系膜下动脉动脉瘤 1 例。
J Vasc Surg. 2011 Jul;54(1):205-7. doi: 10.1016/j.jvs.2010.11.114. Epub 2011 Feb 11.
3
Inferior mesenteric artery aneurysm with occlusion of the superior mesenteric artery, coeliac trunk and right renal artery.肠系膜下动脉动脉瘤伴肠系膜上动脉、腹腔干和右肾动脉闭塞。
Eur J Vasc Endovasc Surg. 2008 Mar;35(3):312-3. doi: 10.1016/j.ejvs.2007.07.018. Epub 2007 Oct 29.
4
[An aneurysm of the inferior mesenteric artery associated with obstruction of the superior mesenteric artery and the celiac trunk].[一例肠系膜下动脉动脉瘤合并肠系膜上动脉及腹腔干梗阻]
Rev Esp Enferm Dig. 1995 Mar;87(3):255-8.
5
Visceral artery aneurysms.内脏动脉瘤
Heart Surg Forum. 2007;10(1):E24-9. doi: 10.1532/HSF98.20061130.
6
Inferior mesenteric artery aneurysm: case report and literature review.肠系膜下动脉动脉瘤:病例报告及文献综述
Ann Vasc Dis. 2013;6(1):98-101. doi: 10.3400/avd.cr.12.00086. Epub 2013 Mar 25.
7
Aneurysm of the inferior mesenteric artery associated with occlusion of the celiac axis and superior mesenteric artery.
Ann Vasc Surg. 1986 Sep;1(2):254-7.
8
An inferior mesenteric artery aneurysm in a patient with renal cell carcinoma.一名肾细胞癌患者合并肠系膜下动脉瘤。
Turk Gogus Kalp Damar Cerrahisi Derg. 2020 Oct 21;28(4):680-683. doi: 10.5606/tgkdc.dergisi.2020.20392. eCollection 2020 Oct.
9
Fenestrated endovascular grafts for the repair of juxtarenal aortic aneurysms: an evidence-based analysis.用于修复近肾主动脉瘤的开窗型血管内移植物:循证分析
Ont Health Technol Assess Ser. 2009;9(4):1-51. Epub 2009 Jul 1.
10
The role of emergency presentation and revascularization in aneurysms of the peripancreatic arteries secondary to celiac trunk or superior mesenteric artery occlusion.因腹腔干动脉或肠系膜上动脉闭塞导致的胰周动脉动脉瘤的急诊表现和血运重建作用。
J Vasc Surg. 2020 Jul;72(1S):46S-55S. doi: 10.1016/j.jvs.2019.11.051. Epub 2020 Feb 21.

引用本文的文献

1
Successful surgical management of a suspected high-flow inferior mesenteric artery aneurysm in a patient with chronic celiac and superior mesenteric artery occlusions.一名患有慢性腹腔干和肠系膜上动脉闭塞的患者,成功实施了对疑似高流量肠系膜下动脉瘤的外科治疗。
J Vasc Surg Cases Innov Tech. 2024 Jan 30;10(2):101438. doi: 10.1016/j.jvscit.2024.101438. eCollection 2024 Apr.
2
Endovascular management of colic artery pseudoaneurysm: A case report of successful intervention in a 59-year-old male with abdominal hematoma.结肠动脉假性动脉瘤的血管内治疗:一例成功干预59岁男性腹部血肿的病例报告。
Radiol Case Rep. 2023 Nov 17;19(1):449-454. doi: 10.1016/j.radcr.2023.10.045. eCollection 2024 Jan.
3

本文引用的文献

1
The Society for Vascular Surgery clinical practice guidelines on the management of visceral aneurysms.血管外科学会内脏动脉瘤治疗临床实践指南。
J Vasc Surg. 2020 Jul;72(1S):3S-39S. doi: 10.1016/j.jvs.2020.01.039. Epub 2020 Mar 20.
2
Successful Conservative Management of Inferior Mesenteric Artery Aneurysm with Arteriovenous Fistula: A Case Report.肠系膜下动脉动脉瘤合并动静脉瘘的成功保守治疗:一例报告
Ann Vasc Surg. 2020 Apr;64:410.e11-410.e15. doi: 10.1016/j.avsg.2019.10.067. Epub 2019 Oct 31.
3
Inferior mesenteric artery aneurysm in the setting of celiac and superior mesenteric artery occlusion.
Arteriocolonic fistula of inferior mesenteric artery aneurysm: A case with lower gastrointestinal and intra-abdominal hemorrhage.
肠系膜下动脉动脉瘤致动脉结肠瘘:一例下消化道及腹腔内出血病例
Heliyon. 2023 Feb 11;9(3):e13667. doi: 10.1016/j.heliyon.2023.e13667. eCollection 2023 Mar.
在腹腔干和肠系膜上动脉闭塞情况下的肠系膜下动脉动脉瘤。
J Vasc Surg Cases Innov Tech. 2019 May 31;5(2):197-199. doi: 10.1016/j.jvscit.2018.07.001. eCollection 2019 Jun.
4
A systematic review and meta-analysis of the management of visceral artery aneurysms.内脏动脉动脉瘤处理的系统评价和荟萃分析。
J Vasc Surg. 2019 Nov;70(5):1694-1699. doi: 10.1016/j.jvs.2019.02.024. Epub 2019 May 21.
5
Inferior mesenteric artery aneurysm: case report and literature review.肠系膜下动脉动脉瘤:病例报告及文献综述
Ann Vasc Dis. 2013;6(1):98-101. doi: 10.3400/avd.cr.12.00086. Epub 2013 Mar 25.
6
A case of inferior mesenteric artery aneurysm with an occlusive disease in superior mesenteric artery and the celiac artery.一例肠系膜下动脉瘤合并肠系膜上动脉及腹腔干闭塞性疾病。
Ann Vasc Dis. 2010;3(2):160-3. doi: 10.3400/avd.AVDcr01006. Epub 2010 Sep 13.
7
Inferior mesenteric artery aneurysm with occlusion of the superior mesenteric artery, coeliac trunk and right renal artery.肠系膜下动脉动脉瘤伴肠系膜上动脉、腹腔干和右肾动脉闭塞。
Eur J Vasc Endovasc Surg. 2008 Mar;35(3):312-3. doi: 10.1016/j.ejvs.2007.07.018. Epub 2007 Oct 29.
8
Inferior mesenteric artery aneurysm in Behçet syndrome.
J Vasc Surg. 2003 Dec;38(6):1434-6. doi: 10.1016/s0741-5214(03)00941-8.
9
Ruptured visceral artery aneurysms.内脏动脉动脉瘤破裂
Ann Vasc Surg. 1997 Jul;11(4):342-7. doi: 10.1007/s100169900058.
10
Visceral artery aneurysms.内脏动脉瘤
Surg Clin North Am. 1997 Apr;77(2):425-42. doi: 10.1016/s0039-6109(05)70559-4.