• 文献检索
  • 文档翻译
  • 深度研究
  • 学术资讯
  • Suppr Zotero 插件Zotero 插件
  • 邀请有礼
  • 套餐&价格
  • 历史记录
应用&插件
Suppr Zotero 插件Zotero 插件浏览器插件Mac 客户端Windows 客户端微信小程序
定价
高级版会员购买积分包购买API积分包
服务
文献检索文档翻译深度研究API 文档MCP 服务
关于我们
关于 Suppr公司介绍联系我们用户协议隐私条款
关注我们

Suppr 超能文献

核心技术专利:CN118964589B侵权必究
粤ICP备2023148730 号-1Suppr @ 2026

文献检索

告别复杂PubMed语法,用中文像聊天一样搜索,搜遍4000万医学文献。AI智能推荐,让科研检索更轻松。

立即免费搜索

文件翻译

保留排版,准确专业,支持PDF/Word/PPT等文件格式,支持 12+语言互译。

免费翻译文档

深度研究

AI帮你快速写综述,25分钟生成高质量综述,智能提取关键信息,辅助科研写作。

立即免费体验

Graves 病相关烟雾病并发缺血性脑卒中及脑室内出血:病例报告

Ischemic Stroke and Intraventricular Hemorrhage in Moyamoya Syndrome Associated With Graves' Disease: A Case Report.

机构信息

Shaoyang Central Hospital, Shaoyang.

Hunan Children's Hospital, Hunan.

出版信息

Neurologist. 2023 Jan 1;28(1):42-45. doi: 10.1097/NRL.0000000000000428.

DOI:10.1097/NRL.0000000000000428
PMID:35452440
原文链接:https://pmc.ncbi.nlm.nih.gov/articles/PMC9812408/
Abstract

INTRODUCTION

Moyamoya syndrome is commonly associated with sickle cell anemia, neurofibromatosis type 1, cranial therapeutic irradiation, and Down syndrome. However, it is rare for Moyamoya syndrome associated with Graves' disease.

CASE REPORT

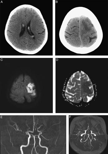
Here we report a case of Moyamoya syndrome associated with Graves' disease in a 19-year-old girl with sudden weakness of the right arm, progressive caries, and alopecia for 4 years. Brain magnetic resonance imaging revealed acute intraventricular hemorrhage and cerebral infarction of left middle cerebral artery territory and narrowing of the proximal portion of bilateral anterior and middle cerebral arteries.

CONCLUSION

Acute cerebral infarction and intraventricular hemorrhage can occur simultaneously in Moyamoya syndrome associated with Graves' disease. Hydrocortisone, combined with prothiouracil medication, can correct thyroid dysfunction and improve neurological function. Caries may be the first symptom of Graves' disease.

摘要

介绍

烟雾病通常与镰状细胞贫血、神经纤维瘤病 1 型、颅部放疗和唐氏综合征相关。然而,与格雷夫斯病相关的烟雾病则较为罕见。

病例报告

我们在此报告一例 19 岁女性患者,因右侧手臂突然无力、渐进性龋齿和脱发 4 年就诊,诊断为格雷夫斯病合并烟雾病。颅脑磁共振成像显示左侧大脑中动脉区域急性脑室出血和脑梗死,双侧大脑前动脉和大脑中动脉近端狭窄。

结论

格雷夫斯病合并烟雾病可同时发生急性脑梗死和脑室出血。氢化可的松联合丙硫氧嘧啶治疗可纠正甲状腺功能障碍,改善神经功能。龋齿可能是格雷夫斯病的首发症状。

https://cdn.ncbi.nlm.nih.gov/pmc/blobs/2bbb/9812408/5a6092d47c00/nrl-28-42-g003.jpg
https://cdn.ncbi.nlm.nih.gov/pmc/blobs/2bbb/9812408/338810d0cd9c/nrl-28-42-g001.jpg
https://cdn.ncbi.nlm.nih.gov/pmc/blobs/2bbb/9812408/7743d538b119/nrl-28-42-g002.jpg
https://cdn.ncbi.nlm.nih.gov/pmc/blobs/2bbb/9812408/5a6092d47c00/nrl-28-42-g003.jpg
https://cdn.ncbi.nlm.nih.gov/pmc/blobs/2bbb/9812408/338810d0cd9c/nrl-28-42-g001.jpg
https://cdn.ncbi.nlm.nih.gov/pmc/blobs/2bbb/9812408/7743d538b119/nrl-28-42-g002.jpg
https://cdn.ncbi.nlm.nih.gov/pmc/blobs/2bbb/9812408/5a6092d47c00/nrl-28-42-g003.jpg

相似文献

1
Ischemic Stroke and Intraventricular Hemorrhage in Moyamoya Syndrome Associated With Graves' Disease: A Case Report.Graves 病相关烟雾病并发缺血性脑卒中及脑室内出血:病例报告
Neurologist. 2023 Jan 1;28(1):42-45. doi: 10.1097/NRL.0000000000000428.
2
Moyamoya Disease Associated with Graves' Disease and Down Syndrome: A Case Report and Literature Review.Moyamoya 病合并 Graves 病及唐氏综合征一例报告并文献复习
J Stroke Cerebrovasc Dis. 2021 Jan;30(1):105414. doi: 10.1016/j.jstrokecerebrovasdis.2020.105414. Epub 2020 Oct 30.
3
Familial moyamoya disease associated with Graves' disease in a mother and daughter. Two case reports.母女患家族性烟雾病合并格雷夫斯病。两例病例报告。
Neurol Med Chir (Tokyo). 2010;50(8):668-74. doi: 10.2176/nmc.50.668.
4
Concurrent Graves' disease and intracranial arterial stenosis/occlusion: special considerations regarding the state of thyroid function, etiology, and treatment.同时患有格雷夫斯病和颅内动脉狭窄/闭塞:甲状腺功能、病因和治疗方面的特殊考虑。
Neurosurg Rev. 2011 Jul;34(3):297-304; discussion 304. doi: 10.1007/s10143-011-0311-z. Epub 2011 Mar 19.
5
Aneurysmal bone cyst of the proximal femur concomitant with Graves' disease and Moyamoya disease: report of a rare case.股骨近端动脉瘤样骨囊肿伴 Graves 病和烟雾病:罕见病例报告。
J Int Med Res. 2022 May;50(5):3000605221097669. doi: 10.1177/03000605221097669.
6
[Hyperperfusion after Revascularization for Quasi-moyamoya Disease Associated with Graves' Disease:A Case Report].[格雷夫斯病相关的烟雾病样疾病血运重建术后的高灌注:一例报告]
No Shinkei Geka. 2018 Jun;46(6):501-508. doi: 10.11477/mf.1436203759.
7
A case of Graves' diseases associated with intracranial moyamoya vessels and tubular stenosis of extracranial internal carotid arteries.1例格雷夫斯病合并颅内烟雾病样血管及颅外颈内动脉管状狭窄。
J Formos Med Assoc. 1994 Sep;93(9):806-9.
8
Progressive stenosis and radiological findings of vasculitis over the entire internal carotid artery in moyamoya vasculopathy associated with graves' disease: a case report and review of the literature.与格雷夫斯病相关的烟雾病中颈内动脉全程进行性狭窄及血管炎的影像学表现:一例报告并文献复习
BMC Neurol. 2019 Mar 2;19(1):34. doi: 10.1186/s12883-019-1262-1.
9
Moyamoya syndrome associated with Graves' disease: a case report and review of the literature.Moyamoya 综合征合并 Graves 病 1 例报告并文献复习
J Stroke Cerebrovasc Dis. 2011 Nov;20(6):528-36. doi: 10.1016/j.jstrokecerebrovasdis.2010.03.006. Epub 2010 Dec 4.
10
Hemorrhage predisposing to cerebral infarction in children with moyamoya disease.
Pediatr Neurol. 2006 May;34(5):400-4. doi: 10.1016/j.pediatrneurol.2005.10.003.