Anipindi Manasa, Smith Ryan J, Gilani Madiha
Internal Medicine residency, Einstein Medical Center Montgomery, East Norriton, PA, United States.
Department of Radiology, Einstein Medical Center Montgomery, East Norriton, PA, United States.
Front Oncol. 2022 Apr 6;12:856944. doi: 10.3389/fonc.2022.856944. eCollection 2022.
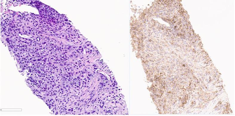
The incidence of cervical cancer has decreased in recent years due to widespread vaccination and routine screenings. It can be treated successfully, and the prognosis is also excellent if detected early. However, the 5-year survival rate for patients with stage IV cervical cancer is only 17% even with aggressive systemic chemotherapy. With the Food and Drug Administration (FDA)'s approval of immunotherapy, the prognosis has improved. We present a patient with stage IV cervical cancer who could not tolerate platinum-based chemotherapy and bevacizumab, so she was started on an immune checkpoint inhibitor, as her tumor was 100% programmed cell death ligand-1 (PD-L1) positive. She survived more than 2 years since the diagnosis of stage IV cervical cancer without any significant side effects. Based on our patient's response, the use of immune checkpoint inhibitors as a single agent needs further research and probably can be considered in patients with stage 4 cervical cancer who cannot tolerate standard chemotherapy.
近年来,由于广泛接种疫苗和进行常规筛查,宫颈癌的发病率有所下降。宫颈癌可以得到成功治疗,如果早期发现,预后也很好。然而,即使进行积极的全身化疗,IV期宫颈癌患者的5年生存率也仅为17%。随着美国食品药品监督管理局(FDA)批准免疫疗法,预后有所改善。我们报告了一名IV期宫颈癌患者,她无法耐受铂类化疗和贝伐单抗,因此开始使用免疫检查点抑制剂,因为她的肿瘤程序性细胞死亡配体-1(PD-L1)呈100%阳性。自诊断为IV期宫颈癌以来,她存活了两年多,没有任何明显的副作用。基于我们患者的反应,免疫检查点抑制剂作为单一药物的使用需要进一步研究,对于无法耐受标准化疗的IV期宫颈癌患者可能可以考虑使用。