• 文献检索
  • 文档翻译
  • 深度研究
  • 学术资讯
  • Suppr Zotero 插件Zotero 插件
  • 邀请有礼
  • 套餐&价格
  • 历史记录
应用&插件
Suppr Zotero 插件Zotero 插件浏览器插件Mac 客户端Windows 客户端微信小程序
定价
高级版会员购买积分包购买API积分包
服务
文献检索文档翻译深度研究API 文档MCP 服务
关于我们
关于 Suppr公司介绍联系我们用户协议隐私条款
关注我们

Suppr 超能文献

核心技术专利:CN118964589B侵权必究
粤ICP备2023148730 号-1Suppr @ 2026

文献检索

告别复杂PubMed语法,用中文像聊天一样搜索,搜遍4000万医学文献。AI智能推荐,让科研检索更轻松。

立即免费搜索

文件翻译

保留排版,准确专业,支持PDF/Word/PPT等文件格式,支持 12+语言互译。

免费翻译文档

深度研究

AI帮你快速写综述,25分钟生成高质量综述,智能提取关键信息,辅助科研写作。

立即免费体验

撤稿文章:环状RNA PTK2通过miR-369-3p/ZEB1轴调控胃癌进展及放射敏感性

Retracted Article: Circular RNA PTK2 modifies the progression and radiosensitivity in gastric cancer miR-369-3p/ZEB1 axis.

作者信息

Liu Yuqiang, Yao Kun, Zhang Ke, Wang Jianping, Dai Qiang, Wang Rong

机构信息

Department of Emergency, Gansu Provincial Hospital 730000 Lanzhou Gansu China.

Department of Nuclear Medicine, Gansu Provincial Hospital 204 Donggangxi Road, Chengguan District 730000 Lanzhou Gansu China

出版信息

RSC Adv. 2020 Jan 9;10(3):1711-1723. doi: 10.1039/c9ra08525d. eCollection 2020 Jan 7.

DOI:10.1039/c9ra08525d
PMID:35494710
原文链接:https://pmc.ncbi.nlm.nih.gov/articles/PMC9048038/
Abstract

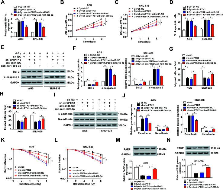
Gastric cancer (GC) is one of the common cancers worldwide. Emerging findings imply that aberrant expression of circular RNA_0003221 (circPTK2) is involved in GC. Nevertheless, the function of circPTK2 in GC needs more explanation. Profiles of circPTK2, microRNA (miR)-369-3p, and zinc finger E-box binding homeobox 1 (ZEB1) were determined by quantitative real-time polymerase chain reaction assay. 3-(4,5-Dimethylthiazol-2-yl)-2,5-diphenyltetrazolium bromide, flow cytometry, and transwell assays were employed to estimate cell proliferation, apoptosis, and mobility in GC cells, respectively. Meanwhile, levels of ZEB1 and other indicated proteins were tested using western blot. Survival fraction was assessed utilizing clonogenic assay. Additionally, the role of circPTK2 in tumorigenesis was investigated a xenograft tumor model. Dual-luciferase reporter, RNA immunoprecipitation, and RNA pull-down assays were conducted to confirm the interrelation between miR-369-3p and circPTK2 or ZEB1. Levels of circPTK2 and ZEB1 were markedly augmented, but miR-369-3p was downregulated in GC tissues and cells. CircPTK2 depletion restrained cell growth, metastasis, and epithelial-mesenchymal transition, and promoted radiosensitivity in GC cells. And circPTK2 depletion reduced tumor growth and metastasis . Moreover, the effect of circPTK2 silencing on cellular phenotypes and radiosensitivity was regained by miR-369-3p inhibitor. Furthermore, upregulation of ZEB1 could overturn miR-369-3p mimic-induced effect on cell metastasis and radiosensitivity of GC cells. Mechanically, circPTK2 was a sponge of miR-369-3p to separate ZEB1. CircPTK2/miR-369-3p/ZEB1 axis modulated cell behaviors and radiosensitivity in GC; thus circPTK2 might serve as a promising target for GC therapy.

摘要

胃癌(GC)是全球常见癌症之一。新出现的研究结果表明,环状RNA_0003221(circPTK2)的异常表达与胃癌有关。然而,circPTK2在胃癌中的功能仍需进一步阐释。通过定量实时聚合酶链反应检测来测定circPTK2、微小RNA(miR)-369-3p和锌指E盒结合同源框1(ZEB1)的表达情况。分别采用3-(4,5-二甲基噻唑-2)-2,5-二苯基四氮唑溴盐、流式细胞术和Transwell实验来评估胃癌细胞的增殖、凋亡和迁移能力。同时,使用蛋白质免疫印迹法检测ZEB1和其他相关蛋白的水平。利用克隆形成实验评估存活分数。此外,通过异种移植肿瘤模型研究circPTK2在肿瘤发生中的作用。进行双荧光素酶报告基因、RNA免疫沉淀和RNA下拉实验以证实miR-369-3p与circPTK2或ZEB1之间的相互关系。在胃癌组织和细胞中,circPTK2和ZEB1水平显著升高,但miR-369-3p表达下调。circPTK2缺失抑制了胃癌细胞的生长、转移和上皮-间质转化,并提高了其放射敏感性。circPTK2缺失还减少了肿瘤的生长和转移。此外,miR-369-3p抑制剂可恢复circPTK2沉默对细胞表型和放射敏感性的影响。此外,ZEB1的上调可逆转miR-369-3p模拟物对胃癌细胞转移和放射敏感性的影响。机制上,circPTK2是miR-369-3p的海绵,可释放ZEB1。circPTK2/miR-369-3p/ZEB1轴调节胃癌细胞的行为和放射敏感性;因此,circPTK2可能是胃癌治疗的一个有前景的靶点。

https://cdn.ncbi.nlm.nih.gov/pmc/blobs/1d56/9048038/b4136fcbf230/c9ra08525d-f8.jpg
https://cdn.ncbi.nlm.nih.gov/pmc/blobs/1d56/9048038/19dc716f04b4/c9ra08525d-f1.jpg
https://cdn.ncbi.nlm.nih.gov/pmc/blobs/1d56/9048038/22d4aaad2d9b/c9ra08525d-f2.jpg
https://cdn.ncbi.nlm.nih.gov/pmc/blobs/1d56/9048038/7a2284a0b525/c9ra08525d-f3.jpg
https://cdn.ncbi.nlm.nih.gov/pmc/blobs/1d56/9048038/31a5dd892854/c9ra08525d-f4.jpg
https://cdn.ncbi.nlm.nih.gov/pmc/blobs/1d56/9048038/a4f271567366/c9ra08525d-f5.jpg
https://cdn.ncbi.nlm.nih.gov/pmc/blobs/1d56/9048038/d76541a35fa4/c9ra08525d-f6.jpg
https://cdn.ncbi.nlm.nih.gov/pmc/blobs/1d56/9048038/fec543839902/c9ra08525d-f7.jpg
https://cdn.ncbi.nlm.nih.gov/pmc/blobs/1d56/9048038/b4136fcbf230/c9ra08525d-f8.jpg
https://cdn.ncbi.nlm.nih.gov/pmc/blobs/1d56/9048038/19dc716f04b4/c9ra08525d-f1.jpg
https://cdn.ncbi.nlm.nih.gov/pmc/blobs/1d56/9048038/22d4aaad2d9b/c9ra08525d-f2.jpg
https://cdn.ncbi.nlm.nih.gov/pmc/blobs/1d56/9048038/7a2284a0b525/c9ra08525d-f3.jpg
https://cdn.ncbi.nlm.nih.gov/pmc/blobs/1d56/9048038/31a5dd892854/c9ra08525d-f4.jpg
https://cdn.ncbi.nlm.nih.gov/pmc/blobs/1d56/9048038/a4f271567366/c9ra08525d-f5.jpg
https://cdn.ncbi.nlm.nih.gov/pmc/blobs/1d56/9048038/d76541a35fa4/c9ra08525d-f6.jpg
https://cdn.ncbi.nlm.nih.gov/pmc/blobs/1d56/9048038/fec543839902/c9ra08525d-f7.jpg
https://cdn.ncbi.nlm.nih.gov/pmc/blobs/1d56/9048038/b4136fcbf230/c9ra08525d-f8.jpg

相似文献

1
Retracted Article: Circular RNA PTK2 modifies the progression and radiosensitivity in gastric cancer miR-369-3p/ZEB1 axis.撤稿文章:环状RNA PTK2通过miR-369-3p/ZEB1轴调控胃癌进展及放射敏感性
RSC Adv. 2020 Jan 9;10(3):1711-1723. doi: 10.1039/c9ra08525d. eCollection 2020 Jan 7.
2
Circular RNA PTK2 Accelerates Cell Proliferation and Inhibits Cell Apoptosis in Gastric Carcinoma via miR-139-3p.环状 RNA PTK2 通过 miR-139-3p 促进胃癌细胞增殖并抑制细胞凋亡。
Dig Dis Sci. 2021 May;66(5):1499-1509. doi: 10.1007/s10620-020-06358-4. Epub 2020 Jun 5.
3
Circular RNA circ-PVT1 contributes to paclitaxel resistance of gastric cancer cells through the regulation of ZEB1 expression by sponging miR-124-3p.环状 RNA circ-PVT1 通过海绵吸附 miR-124-3p 调控 ZEB1 表达促进胃癌细胞对紫杉醇耐药。
Biosci Rep. 2019 Dec 20;39(12). doi: 10.1042/BSR20193045.
4
CircPTK2 Suppresses the Progression of Gastric Cancer by Targeting the MiR-196a-3p/AATK Axis.环状PTK2通过靶向miR-196a-3p/AATK轴抑制胃癌进展。
Front Oncol. 2021 Sep 15;11:706415. doi: 10.3389/fonc.2021.706415. eCollection 2021.
5
CircPTK2 promotes cell viability, cell cycle process, and glycolysis and inhibits cell apoptosis in acute myeloid leukemia by regulating miR-582-3p/ALG3 axis.环状 RNA 蛋白酪氨酸激酶 2 通过调控 miR-582-3p/ALG3 轴促进急性髓系白血病细胞活力、细胞周期进程和糖酵解并抑制细胞凋亡。
Expert Rev Hematol. 2022 Dec;15(12):1073-1083. doi: 10.1080/17474086.2022.2114894. Epub 2022 Sep 9.
6
CircRNA DNA methyltransferase 1 silence inhibits breast cancer development by regulating micoRNA-485-3p/zinc finger E-box binding homeobox 1 axis.环状RNA DNA甲基转移酶1沉默通过调控微小RNA-485-3p/锌指E盒结合同源框1轴抑制乳腺癌发展。
J Obstet Gynaecol Res. 2021 Mar;47(3):1068-1081. doi: 10.1111/jog.14639. Epub 2021 Jan 5.
7
Downregulation of lncRNA ZEB1-AS1 Represses Cell Proliferation, Migration, and Invasion Through Mediating PI3K/AKT/mTOR Signaling by miR-342-3p/CUL4B Axis in Prostate Cancer.长链非编码 RNA ZEB1-AS1 下调通过 miR-342-3p/CUL4B 轴调控 PI3K/AKT/mTOR 信号通路抑制前列腺癌细胞增殖、迁移和侵袭。
Cancer Biother Radiopharm. 2020 Nov;35(9):661-672. doi: 10.1089/cbr.2019.3123. Epub 2020 Apr 9.
8
miR-144-3p increases radiosensibility of gastric cancer cells by targeting inhibition of ZEB1.miR-144-3p 通过靶向抑制 ZEB1 增加胃癌细胞的放射敏感性。
Clin Transl Oncol. 2021 Mar;23(3):491-500. doi: 10.1007/s12094-020-02436-1. Epub 2020 Jul 1.
9
MiR-203 acts as a radiosensitizer of gastric cancer cells by directly targeting ZEB1.微小RNA-203通过直接靶向锌指E盒结合蛋白1发挥胃癌细胞放射增敏剂的作用。
Onco Targets Ther. 2019 Jul 30;12:6093-6104. doi: 10.2147/OTT.S197539. eCollection 2019.
10
UBE2C, Directly Targeted by miR-548e-5p, Increases the Cellular Growth and Invasive Abilities of Cancer Cells Interacting with the EMT Marker Protein Zinc Finger E-box Binding Homeobox 1/2 in NSCLC.UBE2C 被 miR-548e-5p 直接靶向,增加了与非小细胞肺癌中 EMT 标志物蛋白锌指 E-box 结合同源框 1/2 相互作用的癌细胞的细胞生长和侵袭能力。
Theranostics. 2019 Mar 17;9(7):2036-2055. doi: 10.7150/thno.32738. eCollection 2019.

引用本文的文献

1
circExp database: an online transcriptome platform for human circRNA expressions in cancers.circExp 数据库:一个用于癌症中人类 circRNA 表达的在线转录组平台。
Database (Oxford). 2021 Jul 23;2021. doi: 10.1093/database/baab045.
2
Circular RNA Circ_0003221 Promotes Cervical Cancer Progression by Regulating miR-758-3p/CPEB4 Axis.环状RNA Circ_0003221通过调控miR-758-3p/CPEB4轴促进宫颈癌进展。
Cancer Manag Res. 2021 Jul 5;13:5337-5350. doi: 10.2147/CMAR.S311242. eCollection 2021.
3
The Biological Role of Sponge Circular RNAs in Gastric Cancer: Main Players or Coadjuvants?

本文引用的文献

1
Consistency analysis of microRNA-arm expression reveals microRNA-369-5p/3p as tumor suppressors in gastric cancer.miRNA 臂表达的一致性分析显示 miRNA-369-5p/3p 是胃癌中的肿瘤抑制因子。
Mol Oncol. 2019 Jul;13(7):1605-1620. doi: 10.1002/1878-0261.12527. Epub 2019 Jun 17.
2
Upregulation of circRNA_0000285 serves as a prognostic biomarker for nasopharyngeal carcinoma and is involved in radiosensitivity.环状RNA_0000285的上调作为鼻咽癌的预后生物标志物并参与放射敏感性。
Oncol Lett. 2018 Nov;16(5):6495-6501. doi: 10.3892/ol.2018.9471. Epub 2018 Sep 20.
3
Circular RNA hsa_circ_0008305 (circPTK2) inhibits TGF-β-induced epithelial-mesenchymal transition and metastasis by controlling TIF1γ in non-small cell lung cancer.
海绵体环状RNA在胃癌中的生物学作用:主要参与者还是辅助者?
Cancers (Basel). 2020 Jul 21;12(7):1982. doi: 10.3390/cancers12071982.
4
Non-Coding RNAs in Cancer Radiosensitivity: MicroRNAs and lncRNAs as Regulators of Radiation-Induced Signaling Pathways.癌症放射敏感性中的非编码RNA:作为辐射诱导信号通路调节因子的微小RNA和长链非编码RNA
Cancers (Basel). 2020 Jun 23;12(6):1662. doi: 10.3390/cancers12061662.
环状 RNA hsa_circ_0008305(circPTK2)通过调控非小细胞肺癌中的 TIF1γ 抑制 TGF-β诱导的上皮-间充质转化和转移。
Mol Cancer. 2018 Sep 27;17(1):140. doi: 10.1186/s12943-018-0889-7.
4
Circular RNAs (circRNAs) in cancer.环状 RNA(circRNAs)与癌症。
Cancer Lett. 2018 Jul 1;425:134-142. doi: 10.1016/j.canlet.2018.03.035. Epub 2018 Apr 3.
5
Pleiotropic Roles for ZEB1 in Cancer.ZEB1 在癌症中的多效性作用。
Cancer Res. 2018 Jan 1;78(1):30-35. doi: 10.1158/0008-5472.CAN-17-2476. Epub 2017 Dec 18.
6
Circular RNA hsa_circ_0001564 regulates osteosarcoma proliferation and apoptosis by acting miRNA sponge.环状RNA hsa_circ_0001564通过充当微小RNA海绵来调节骨肉瘤的增殖和凋亡。
Biochem Biophys Res Commun. 2018 Jan 15;495(3):2369-2375. doi: 10.1016/j.bbrc.2017.12.050. Epub 2017 Dec 9.
7
Circular RNAs (circRNAs) in Health and Disease.健康与疾病中的环状RNA(circRNAs)
Genes (Basel). 2017 Nov 28;8(12):353. doi: 10.3390/genes8120353.
8
Circular RNA hsa_circ_0003221 (circPTK2) promotes the proliferation and migration of bladder cancer cells.环状 RNA hsa_circ_0003221(circPTK2)促进膀胱癌细胞的增殖和迁移。
J Cell Biochem. 2018 Apr;119(4):3317-3325. doi: 10.1002/jcb.26492. Epub 2017 Dec 26.
9
Translation of CircRNAs.环状RNA的翻译。
Mol Cell. 2017 Apr 6;66(1):9-21.e7. doi: 10.1016/j.molcel.2017.02.021. Epub 2017 Mar 23.
10
Circles reshaping the RNA world: from waste to treasure.重塑RNA世界的循环:变废为宝。
Mol Cancer. 2017 Mar 9;16(1):58. doi: 10.1186/s12943-017-0630-y.