• 文献检索
  • 文档翻译
  • 深度研究
  • 学术资讯
  • Suppr Zotero 插件Zotero 插件
  • 邀请有礼
  • 套餐&价格
  • 历史记录
应用&插件
Suppr Zotero 插件Zotero 插件浏览器插件Mac 客户端Windows 客户端微信小程序
定价
高级版会员购买积分包购买API积分包
服务
文献检索文档翻译深度研究API 文档MCP 服务
关于我们
关于 Suppr公司介绍联系我们用户协议隐私条款
关注我们

Suppr 超能文献

核心技术专利:CN118964589B侵权必究
粤ICP备2023148730 号-1Suppr @ 2026

文献检索

告别复杂PubMed语法,用中文像聊天一样搜索,搜遍4000万医学文献。AI智能推荐,让科研检索更轻松。

立即免费搜索

文件翻译

保留排版,准确专业,支持PDF/Word/PPT等文件格式,支持 12+语言互译。

免费翻译文档

深度研究

AI帮你快速写综述,25分钟生成高质量综述,智能提取关键信息,辅助科研写作。

立即免费体验

螺内酯通过抑制实验性自身免疫性心肌炎小鼠的Ets-1减轻心肌纤维化。

Spironolactone alleviates myocardial fibrosis via inhibition of Ets-1 in mice with experimental autoimmune myocarditis.

作者信息

Wang Wen-Ke, Wang Ben, Cao Xue-Hu, Liu Yu-Sheng

机构信息

Department of Cardiology, The Second Hospital, Cheeloo College of Medicine, Shandong University, Jinan, Shandong 250033, P.R. China.

Department of General Surgery, Qilu Hospital of Shandong University, Jinan, Shandong 250012, P.R. China.

出版信息

Exp Ther Med. 2022 Jun;23(6):369. doi: 10.3892/etm.2022.11296. Epub 2022 Apr 5.

DOI:10.3892/etm.2022.11296
PMID:35495592
原文链接:https://pmc.ncbi.nlm.nih.gov/articles/PMC9019666/
Abstract

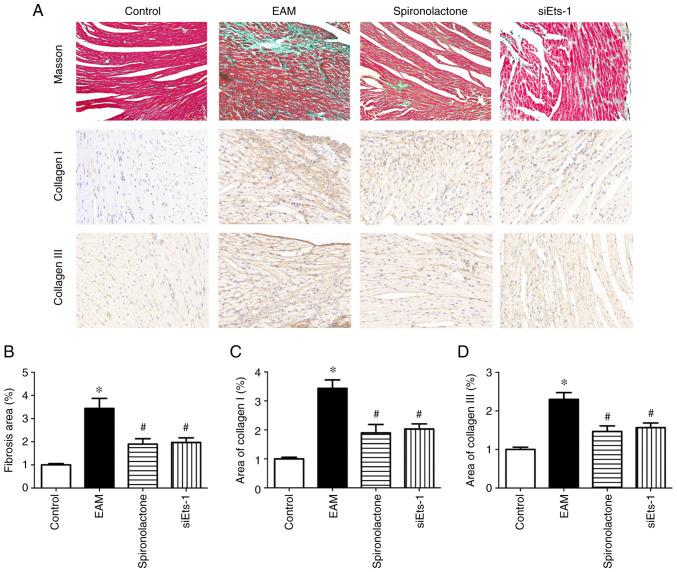
Spironolactone improves cardiac structure, function and prognosis in patients with heart failure and delays the progression of cardiac fibrosis. However, the exact underlying mechanism of this process remains to be elucidated. The present study therefore aimed to explore the protective effect and underlying mechanism of the aldosterone receptor antagonist, spironolactone, on myocardial fibrosis in mice with experimental autoimmune myocarditis (EAM). The EAM model was induced in BALB/c mice via immunization with murine cardiac α-myosin heavy chain sequence polypeptides. The cardiac function of the mice was assessed using echocardiography and the levels of inflammatory cytokines were quantified using ELISA. E26 transformation-specific sequence-1 (Ets-1) expression was knocked down using lentivirus-mediated small interference RNA. Total collagen deposition was assessed using Masson's trichrome and Ets-1, TGF-β1, Smad2/3, collagen I and III protein expression levels were detected using immunohistochemistry and western blotting. MMP-2 and MMP-9 mRNA expression levels and activity was determined using reverse transcription-quantitative PCR and gelatin zymography, respectively. The results of the present study demonstrated that spironolactone significantly improved myocardium hypertrophy, diastolic cardiac function and decreased myocardial inflammation and collagen deposition induced by EAM. Spironolactone treatment significantly inhibited Ets-1 and smad2/3 phosphorylation. In addition, inhibition of Ets-1 reduced the expression and activity of MMP-2 and MMP-9 and decreased cardiac fibrosis in EAM mice. The results indicated that the improvement of myocardial fibrosis by spironolactone may be associated with the TGF-β1/Smad-2/3/Ets-1 signaling pathway in EAM mice.

摘要

螺内酯可改善心力衰竭患者的心脏结构、功能和预后,并延缓心脏纤维化的进展。然而,这一过程的确切潜在机制仍有待阐明。因此,本研究旨在探讨醛固酮受体拮抗剂螺内酯对实验性自身免疫性心肌炎(EAM)小鼠心肌纤维化的保护作用及其潜在机制。通过用鼠心脏α-肌球蛋白重链序列多肽免疫BALB/c小鼠诱导建立EAM模型。使用超声心动图评估小鼠的心脏功能,并用酶联免疫吸附测定法对炎性细胞因子水平进行定量。使用慢病毒介导的小干扰RNA敲低E26转化特异性序列-1(Ets-1)的表达。采用Masson三色染色法评估总胶原沉积情况,并用免疫组织化学和蛋白质印迹法检测Ets-1、转化生长因子-β1(TGF-β1)、Smad2/3、I型和III型胶原的蛋白表达水平。分别使用逆转录定量聚合酶链反应和明胶酶谱法测定基质金属蛋白酶-2(MMP-2)和基质金属蛋白酶-9(MMP-9)的mRNA表达水平及活性。本研究结果表明,螺内酯可显著改善EAM诱导的心肌肥厚、心脏舒张功能,并减轻心肌炎症和胶原沉积。螺内酯治疗可显著抑制Ets-1和Smad2/3的磷酸化。此外,抑制Ets-1可降低EAM小鼠中MMP-2和MMP-9的表达及活性,并减轻心脏纤维化。结果表明,螺内酯对心肌纤维化的改善作用可能与EAM小鼠中的TGF-β1/Smad-2/3/Ets-1信号通路有关。

https://cdn.ncbi.nlm.nih.gov/pmc/blobs/79c9/9019666/52dccd75550e/etm-23-06-11296-g05.jpg
https://cdn.ncbi.nlm.nih.gov/pmc/blobs/79c9/9019666/39eddb840b4a/etm-23-06-11296-g00.jpg
https://cdn.ncbi.nlm.nih.gov/pmc/blobs/79c9/9019666/f7103f15bb2d/etm-23-06-11296-g01.jpg
https://cdn.ncbi.nlm.nih.gov/pmc/blobs/79c9/9019666/742b51ac52df/etm-23-06-11296-g02.jpg
https://cdn.ncbi.nlm.nih.gov/pmc/blobs/79c9/9019666/47d8a0c37bb9/etm-23-06-11296-g03.jpg
https://cdn.ncbi.nlm.nih.gov/pmc/blobs/79c9/9019666/6847c4e3ef5d/etm-23-06-11296-g04.jpg
https://cdn.ncbi.nlm.nih.gov/pmc/blobs/79c9/9019666/52dccd75550e/etm-23-06-11296-g05.jpg
https://cdn.ncbi.nlm.nih.gov/pmc/blobs/79c9/9019666/39eddb840b4a/etm-23-06-11296-g00.jpg
https://cdn.ncbi.nlm.nih.gov/pmc/blobs/79c9/9019666/f7103f15bb2d/etm-23-06-11296-g01.jpg
https://cdn.ncbi.nlm.nih.gov/pmc/blobs/79c9/9019666/742b51ac52df/etm-23-06-11296-g02.jpg
https://cdn.ncbi.nlm.nih.gov/pmc/blobs/79c9/9019666/47d8a0c37bb9/etm-23-06-11296-g03.jpg
https://cdn.ncbi.nlm.nih.gov/pmc/blobs/79c9/9019666/6847c4e3ef5d/etm-23-06-11296-g04.jpg
https://cdn.ncbi.nlm.nih.gov/pmc/blobs/79c9/9019666/52dccd75550e/etm-23-06-11296-g05.jpg

相似文献

1
Spironolactone alleviates myocardial fibrosis via inhibition of Ets-1 in mice with experimental autoimmune myocarditis.螺内酯通过抑制实验性自身免疫性心肌炎小鼠的Ets-1减轻心肌纤维化。
Exp Ther Med. 2022 Jun;23(6):369. doi: 10.3892/etm.2022.11296. Epub 2022 Apr 5.
2
Combination of alkaloids and Panax quinquefolium saponins modulates different stages of experimental autoimmune myocarditis via the NF-κB and TGF-β1 pathways.生物碱与西洋参皂苷的组合通过NF-κB和TGF-β1途径调节实验性自身免疫性心肌炎的不同阶段。
Exp Ther Med. 2022 Jul 14;24(3):570. doi: 10.3892/etm.2022.11507. eCollection 2022 Sep.
3
Activation of ETAR and ETBR in myocardial tissue characterizes heart failure induced by experimental autoimmune myocarditis.心肌组织中 ETAR 和 ETBR 的激活可作为实验性自身免疫性心肌炎诱导的心力衰竭的特征。
BMC Cardiovasc Disord. 2024 Jan 2;24(1):11. doi: 10.1186/s12872-023-03658-1.
4
Immunoregulatory effects of α-GalCer in a murine model of autoimmune myocarditis.α-GalCer 对自身免疫性心肌炎小鼠模型的免疫调节作用。
Exp Mol Pathol. 2011 Oct;91(2):636-42. doi: 10.1016/j.yexmp.2011.06.010. Epub 2011 Jul 23.
5
Zerumbone, a humulane sesquiterpene from Syringa pinnatifolia, attenuates cardiac fibrosis by inhibiting of the TGF-β1/Smad signaling pathway after myocardial infarction in mice.莪术二酮,一种来自羽叶丁香的倍半萜类化合物,通过抑制小鼠心肌梗死后的TGF-β1/Smad信号通路减轻心脏纤维化。
Phytomedicine. 2022 Jun;100:154078. doi: 10.1016/j.phymed.2022.154078. Epub 2022 Mar 31.
6
The Inflammatory Transcription Factor C/EBPβ Plays a Critical Role in Cardiac Fibroblast Differentiation and a Rat Model of Cardiac Fibrosis Induced by Autoimmune Myocarditis.炎症转录因子C/EBPβ在心脏成纤维细胞分化及自身免疫性心肌炎诱导的心脏纤维化大鼠模型中起关键作用。
Int Heart J. 2018 Nov 28;59(6):1389-1397. doi: 10.1536/ihj.17-446. Epub 2018 Oct 10.
7
Heart-infiltrating prominin-1+/CD133+ progenitor cells represent the cellular source of transforming growth factor beta-mediated cardiac fibrosis in experimental autoimmune myocarditis.浸润心脏的prominin-1+/CD133+祖细胞是实验性自身免疫性心肌炎中转化生长因子β介导的心脏纤维化的细胞来源。
Circ Res. 2009 Aug 28;105(5):462-70. doi: 10.1161/CIRCRESAHA.109.196287. Epub 2009 Jul 23.
8
STAT4 silencing underlies a novel inhibitory role of microRNA-141-3p in inflammation response of mice with experimental autoimmune myocarditis.STAT4 沉默是 microRNA-141-3p 在实验性自身免疫性心肌炎小鼠炎症反应中发挥新型抑制作用的基础。
Am J Physiol Heart Circ Physiol. 2019 Sep 1;317(3):H531-H540. doi: 10.1152/ajpheart.00048.2019. Epub 2019 Jun 21.
9
Transforming growth factor-β-dependent Wnt secretion controls myofibroblast formation and myocardial fibrosis progression in experimental autoimmune myocarditis.转化生长因子-β 依赖性 Wnt 分泌控制实验性自身免疫性心肌炎中的成肌纤维细胞形成和心肌纤维化进展。
Eur Heart J. 2017 May 7;38(18):1413-1425. doi: 10.1093/eurheartj/ehw116.
10
Shensong Yangxin Capsule prevents diabetic myocardial fibrosis by inhibiting TGF-β1/Smad signaling.参松养心胶囊通过抑制TGF-β1/Smad信号通路预防糖尿病性心肌纤维化。
J Ethnopharmacol. 2014 Nov 18;157:161-70. doi: 10.1016/j.jep.2014.09.035. Epub 2014 Oct 3.

引用本文的文献

1
Discovery of as a New Gene Predisposing to Dilated Cardiomyopathy.发现一个导致扩张型心肌病的新易感基因。
Diagnostics (Basel). 2025 Aug 13;15(16):2031. doi: 10.3390/diagnostics15162031.
2
The Effect of Early Spironolactone Administration on 2-Year Acute Graft Rejection in Cardiac Transplant Patients.早期使用螺内酯对心脏移植患者2年急性移植物排斥反应的影响。
Biomedicines. 2025 May 10;13(5):1164. doi: 10.3390/biomedicines13051164.
3
Chinese and western medicine treatment of myocardial fibrosis drugs.中西医治疗心肌纤维化的药物。

本文引用的文献

1
The effect of spironolactone on cardiovascular function and markers of fibrosis in people at increased risk of developing heart failure: the heart 'OMics' in AGEing (HOMAGE) randomized clinical trial.螺内酯对心力衰竭高危人群心血管功能和纤维化标志物的影响:衰老中心血管 'OMICS' 研究(HOMAGE)随机临床试验。
Eur Heart J. 2021 Feb 11;42(6):684-696. doi: 10.1093/eurheartj/ehaa758.
2
The role of Smad signaling cascades in cardiac fibrosis.Smad 信号级联在心脏纤维化中的作用。
Cell Signal. 2021 Jan;77:109826. doi: 10.1016/j.cellsig.2020.109826. Epub 2020 Nov 5.
3
Myocarditis and inflammatory cardiomyopathy: current evidence and future directions.
Front Cardiovasc Med. 2025 Jan 15;11:1477601. doi: 10.3389/fcvm.2024.1477601. eCollection 2024.
4
The effect of spironolactone in reducing the risk of postoperative atrial fibrillation in patients undergoing coronary artery bypass graft surgery: randomized single-blind placebo-controlled study.螺内酯对接受冠状动脉搭桥手术患者降低术后房颤风险的作用:随机单盲安慰剂对照研究。
Gen Thorac Cardiovasc Surg. 2024 Nov 1. doi: 10.1007/s11748-024-02101-2.
5
Co-expression of fibrotic genes in inflammatory bowel disease; A localized event?炎症性肠病中纤维化基因的共表达;局部事件?
Front Immunol. 2022 Dec 23;13:1058237. doi: 10.3389/fimmu.2022.1058237. eCollection 2022.
心肌炎和炎性心肌病:当前的证据和未来的方向。
Nat Rev Cardiol. 2021 Mar;18(3):169-193. doi: 10.1038/s41569-020-00435-x. Epub 2020 Oct 12.
4
Clinical Phenogroups in Heart Failure With Preserved Ejection Fraction: Detailed Phenotypes, Prognosis, and Response to Spironolactone.射血分数保留的心力衰竭中的临床表型组:详细表型、预后及对螺内酯的反应
JACC Heart Fail. 2020 Mar;8(3):172-184. doi: 10.1016/j.jchf.2019.09.009. Epub 2020 Jan 8.
5
Non-invasive contrast enhanced ultrasound molecular imaging of inflammation in autoimmune myocarditis for prediction of left ventricular fibrosis and remodeling.自身免疫性心肌炎炎症的无创对比增强超声分子成像预测左心室纤维化和重构。
PLoS One. 2019 Oct 28;14(10):e0224377. doi: 10.1371/journal.pone.0224377. eCollection 2019.
6
Myocardial global longitudinal strain: An early indicator of cardiac interstitial fibrosis modified by spironolactone, in a unique hypertensive rat model.心肌整体纵向应变:螺内酯改良的独特高血压大鼠模型中心脏间质纤维化的早期指标。
PLoS One. 2019 Aug 12;14(8):e0220837. doi: 10.1371/journal.pone.0220837. eCollection 2019.
7
Mapping Changes of Whole Brain Blood Flow in Rats with Myocardial Ischemia/Reperfusion Injury Assessed by Positron Emission Tomography.正电子发射断层扫描评估心肌缺血/再灌注损伤大鼠全脑血流变化的研究。
Curr Med Sci. 2019 Aug;39(4):653-657. doi: 10.1007/s11596-019-2087-2. Epub 2019 Jul 25.
8
Endothelial-specific deletion of Ets-1 attenuates Angiotensin II-induced cardiac fibrosis via suppression of endothelial-to-mesenchymal transition.内皮细胞特异性敲除 Ets-1 通过抑制内皮细胞向间充质转化减轻血管紧张素 II 诱导的心脏纤维化。
BMB Rep. 2019 Oct;52(10):595-600. doi: 10.5483/BMBRep.2019.52.10.206.
9
Spironolactone Protects against Diabetic Cardiomyopathy in Streptozotocin-Induced Diabetic Rats.螺内酯可预防链脲佐菌素诱导的糖尿病大鼠的糖尿病心肌病。
J Diabetes Res. 2018 Oct 14;2018:9232065. doi: 10.1155/2018/9232065. eCollection 2018.
10
Evidence of aldosterone synthesis in human myocardium in acute myocarditis.在急性心肌炎中心肌中醛固酮的合成证据。
Int J Cardiol. 2019 Jan 15;275:114-119. doi: 10.1016/j.ijcard.2018.10.010. Epub 2018 Oct 24.