Suppr超能文献

Expression of senescent antigen on erythrocytes infected with a knobby variant of the human malaria parasite Plasmodium falciparum.

作者信息

Winograd E, Greenan J R, Sherman I W

出版信息

Proc Natl Acad Sci U S A. 1987 Apr;84(7):1931-5. doi: 10.1073/pnas.84.7.1931.

Abstract

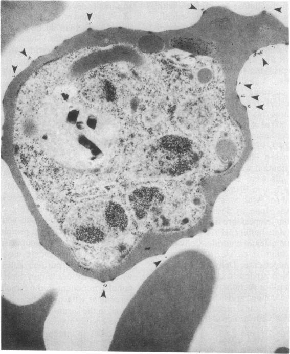
Erythrocytes infected with a knobby variant of Plasmodium falciparum selectively bind IgG autoantibodies in normal human serum. Quantification of membrane-bound IgG, by use of 125I-labeled protein A, revealed that erythrocytes infected with the knobby variant bound 30 times more protein A than did noninfected erythrocytes; infection with a knobless variant resulted in less than a 2-fold difference compared with noninfected erythrocytes. IgG binding to knobby erythrocytes appeared to be related to parasite development, since binding of 125I-labeled protein A to cells bearing young trophozoites (less than 20 hr after parasite invasion) was similar to binding to uninfected erythrocytes. By immunoelectron microscopy, the membrane-bound IgG on erythrocytes infected with the knobby variant was found to be preferentially associated with the protuberances (knobs) of the plasma membrane. The removal of aged or senescent erythrocytes from the peripheral circulation is reported to involve the binding of specific antibodies to an antigen (senescent antigen) related to the major erythrocyte membrane protein band 3. Since affinity-purified autoantibodies against band 3 specifically bound to the plasma membrane of erythrocytes infected with the knobby variant of P. falciparum, it is clear that the malaria parasite induces expression of senescent antigen.

摘要
https://cdn.ncbi.nlm.nih.gov/pmc/blobs/74db/304555/68d7905924e9/pnas00272-0213-a.jpg

文献检索

告别复杂PubMed语法,用中文像聊天一样搜索,搜遍4000万医学文献。AI智能推荐,让科研检索更轻松。

立即免费搜索

文件翻译

保留排版,准确专业,支持PDF/Word/PPT等文件格式,支持 12+语言互译。

免费翻译文档

深度研究

AI帮你快速写综述,25分钟生成高质量综述,智能提取关键信息,辅助科研写作。

立即免费体验