• 文献检索
  • 文档翻译
  • 深度研究
  • 学术资讯
  • Suppr Zotero 插件Zotero 插件
  • 邀请有礼
  • 套餐&价格
  • 历史记录
应用&插件
Suppr Zotero 插件Zotero 插件浏览器插件Mac 客户端Windows 客户端微信小程序
定价
高级版会员购买积分包购买API积分包
服务
文献检索文档翻译深度研究API 文档MCP 服务
关于我们
关于 Suppr公司介绍联系我们用户协议隐私条款
关注我们

Suppr 超能文献

核心技术专利:CN118964589B侵权必究
粤ICP备2023148730 号-1Suppr @ 2026

文献检索

告别复杂PubMed语法,用中文像聊天一样搜索,搜遍4000万医学文献。AI智能推荐,让科研检索更轻松。

立即免费搜索

文件翻译

保留排版,准确专业,支持PDF/Word/PPT等文件格式,支持 12+语言互译。

免费翻译文档

深度研究

AI帮你快速写综述,25分钟生成高质量综述,智能提取关键信息,辅助科研写作。

立即免费体验

连翘酯苷抑制钛颗粒诱导的炎症、NF-κB信号通路以及RANKL诱导的破骨细胞生成和钛颗粒诱导的假体周围骨溶解、JNK、p38和ERK信号通路。

Forsythiaside inhibited titanium particle-induced inflammation the NF-κB signaling pathway and RANKL-induced osteoclastogenesis and titanium particle-induced periprosthetic osteolysis JNK, p38, and ERK signaling pathways.

作者信息

Xu Kaihang, He Rongzhi, Zhang Yuan, Qin Sheng, Wang Guangchao, Wei Qiang, Zhang Hao, Ji Fang

机构信息

Department of Orthopedics, Changhai Hospital Affiliated to the Navy Military Medical University, Changhai Hospital, The Navy Military Medical University No. 168 Changhai Road Shanghai 200433 People's Republic of China

Department of Ophthalmology, Changhai Hospital Affiliated to the Navy Military Medical University Shanghai People's Republic of China.

出版信息

RSC Adv. 2019 Apr 23;9(22):12384-12393. doi: 10.1039/c8ra10007a. eCollection 2019 Apr 17.

DOI:10.1039/c8ra10007a
PMID:35515832
原文链接:https://pmc.ncbi.nlm.nih.gov/articles/PMC9063541/
Abstract

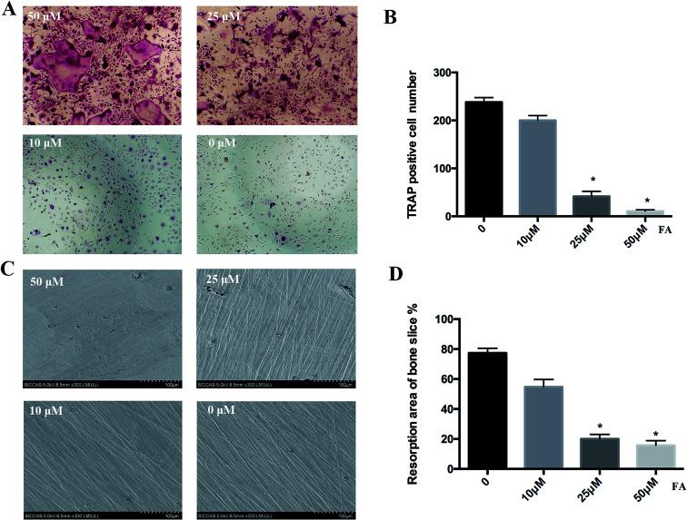
Wear particle-induced periprosthetic osteolysis is the primary complication of the total joint replacement; however, no conservative treatment except for reversal surgery is available for this disease. During the past decade, Chinese herbal medicines have been widely investigated to inhibit osteoclast differentiation, which may exhibit the potential to treat wear particle-induced periprosthetic osteolysis. The present study was aimed at the investigation of the effects of forsythiaside on osteocytes. The current data revealed that the forsythiaside treatment notably inhibited the titanium (Ti) particle-induced inflammation through impaired NF-κB signaling, thereby inhibiting TNF-α and IL-1β. In addition, the study demonstrated that forsythiaside effectively prevented the RANKL-induced differentiation of osteoclasts and inhibited the expression of osteoclast-specific genes in osteoclasts inhibition of the JNK signaling pathway. The study of Ti particle-induced implant-associated osteolysis indicated that forsythiaside could also inhibit osteoclastogenesis. In summary, forsythiaside could inhibit osteoclastogenesis and particle-induced inflammation, resulting in decreased secretion of inflammatory cytokines such as TNF-α and IL-1β. On the other hand, forsythiaside could inhibit RANKL-induced osteoclastogenesis and Ti particle-induced periprosthetic osteolysis JNK, ERK and p38 signaling pathways. Both the abovementioned biofunctions of forsythiaside contributed to the implant-associated particle-induced osteolysis. Thus, forsythiaside can act as a candidate drug for the precaution of implant-associated particle-induced osteolysis.

摘要

磨损颗粒诱导的假体周围骨溶解是全关节置换的主要并发症;然而,除了翻修手术外,这种疾病没有其他保守治疗方法。在过去十年中,人们对中草药抑制破骨细胞分化进行了广泛研究,这可能显示出治疗磨损颗粒诱导的假体周围骨溶解的潜力。本研究旨在探讨连翘酯苷对骨细胞的影响。目前的数据显示,连翘酯苷治疗通过损害NF-κB信号通路显著抑制钛(Ti)颗粒诱导的炎症,从而抑制TNF-α和IL-1β。此外,该研究表明连翘酯苷有效地阻止了RANKL诱导的破骨细胞分化,并通过抑制JNK信号通路抑制破骨细胞特异性基因在破骨细胞中的表达。对Ti颗粒诱导的植入物相关骨溶解的研究表明,连翘酯苷也可以抑制破骨细胞生成。总之,连翘酯苷可以抑制破骨细胞生成和颗粒诱导的炎症,导致TNF-α和IL-1β等炎性细胞因子的分泌减少。另一方面,连翘酯苷可以通过JNK、ERK和p38信号通路抑制RANKL诱导的破骨细胞生成和Ti颗粒诱导的假体周围骨溶解。连翘酯苷的上述两种生物学功能都有助于植入物相关颗粒诱导的骨溶解。因此,连翘酯苷可以作为预防植入物相关颗粒诱导的骨溶解的候选药物。

https://cdn.ncbi.nlm.nih.gov/pmc/blobs/4816/9063541/3508bd472b53/c8ra10007a-f6.jpg
https://cdn.ncbi.nlm.nih.gov/pmc/blobs/4816/9063541/ae81f5e318dc/c8ra10007a-f1.jpg
https://cdn.ncbi.nlm.nih.gov/pmc/blobs/4816/9063541/b5201070193d/c8ra10007a-f2.jpg
https://cdn.ncbi.nlm.nih.gov/pmc/blobs/4816/9063541/6a1e7a79fa7d/c8ra10007a-f3.jpg
https://cdn.ncbi.nlm.nih.gov/pmc/blobs/4816/9063541/c80ce23d115c/c8ra10007a-f4.jpg
https://cdn.ncbi.nlm.nih.gov/pmc/blobs/4816/9063541/c7987e156e4a/c8ra10007a-f5.jpg
https://cdn.ncbi.nlm.nih.gov/pmc/blobs/4816/9063541/3508bd472b53/c8ra10007a-f6.jpg
https://cdn.ncbi.nlm.nih.gov/pmc/blobs/4816/9063541/ae81f5e318dc/c8ra10007a-f1.jpg
https://cdn.ncbi.nlm.nih.gov/pmc/blobs/4816/9063541/b5201070193d/c8ra10007a-f2.jpg
https://cdn.ncbi.nlm.nih.gov/pmc/blobs/4816/9063541/6a1e7a79fa7d/c8ra10007a-f3.jpg
https://cdn.ncbi.nlm.nih.gov/pmc/blobs/4816/9063541/c80ce23d115c/c8ra10007a-f4.jpg
https://cdn.ncbi.nlm.nih.gov/pmc/blobs/4816/9063541/c7987e156e4a/c8ra10007a-f5.jpg
https://cdn.ncbi.nlm.nih.gov/pmc/blobs/4816/9063541/3508bd472b53/c8ra10007a-f6.jpg

相似文献

1
Forsythiaside inhibited titanium particle-induced inflammation the NF-κB signaling pathway and RANKL-induced osteoclastogenesis and titanium particle-induced periprosthetic osteolysis JNK, p38, and ERK signaling pathways.连翘酯苷抑制钛颗粒诱导的炎症、NF-κB信号通路以及RANKL诱导的破骨细胞生成和钛颗粒诱导的假体周围骨溶解、JNK、p38和ERK信号通路。
RSC Adv. 2019 Apr 23;9(22):12384-12393. doi: 10.1039/c8ra10007a. eCollection 2019 Apr 17.
2
Scutellarin inhibits RANKL-mediated osteoclastogenesis and titanium particle-induced osteolysis via suppression of NF-κB and MAPK signaling pathway.灯盏花素通过抑制NF-κB和MAPK信号通路来抑制RANKL介导的破骨细胞生成和钛颗粒诱导的骨溶解。
Int Immunopharmacol. 2016 Nov;40:458-465. doi: 10.1016/j.intimp.2016.09.031. Epub 2016 Oct 8.
3
Myricetin prevents titanium particle-induced osteolysis in vivo and inhibits RANKL-induced osteoclastogenesis in vitro.杨梅素可预防体内钛颗粒诱导的骨溶解,并抑制体外 RANKL 诱导的破骨细胞生成。
Biochem Pharmacol. 2015 Jan 1;93(1):59-71. doi: 10.1016/j.bcp.2014.10.019. Epub 2014 Nov 7.
4
Naringin inhibits titanium particles-induced up-regulation of TNF-α and IL-6 via the p38 MAPK pathway in fibroblasts from hip periprosthetic membrane.柚皮苷通过 p38MAPK 通路抑制钛颗粒诱导的假体周围膜成纤维细胞中 TNF-α和 IL-6 的上调。
Connect Tissue Res. 2021 Sep;62(5):485-494. doi: 10.1080/03008207.2020.1778680. Epub 2020 Jun 21.
5
Rifampin suppresses osteoclastogenesis and titanium particle-induced osteolysis via modulating RANKL signaling pathways.利福平通过调节RANKL信号通路抑制破骨细胞生成和钛颗粒诱导的骨溶解。
Biochem Biophys Res Commun. 2017 Feb 26;484(1):64-70. doi: 10.1016/j.bbrc.2017.01.071. Epub 2017 Jan 18.
6
Vaccarin prevents titanium particle-induced osteolysis and inhibits RANKL-induced osteoclastogenesis by blocking NF-κB and MAPK signaling pathways.Vaccarin 通过阻断 NF-κB 和 MAPK 信号通路来预防钛颗粒诱导的骨溶解并抑制 RANKL 诱导的破骨细胞生成。
J Cell Physiol. 2019 Aug;234(8):13832-13842. doi: 10.1002/jcp.28063. Epub 2019 Jan 13.
7
Lonafarnib Inhibits Farnesyltransferase via Suppressing ERK Signaling Pathway to Prevent Osteoclastogenesis in Titanium Particle-Induced Osteolysis.洛那法尼通过抑制ERK信号通路抑制法尼基转移酶,以预防钛颗粒诱导的骨溶解中的破骨细胞生成。
Front Pharmacol. 2022 Mar 1;13:848152. doi: 10.3389/fphar.2022.848152. eCollection 2022.
8
Hypericin suppresses osteoclast formation and wear particle-induced osteolysis via modulating ERK signalling pathway.金丝桃素通过调节 ERK 信号通路抑制破骨细胞形成和磨损颗粒诱导的骨溶解。
Biochem Pharmacol. 2014 Aug 1;90(3):276-87. doi: 10.1016/j.bcp.2014.06.009. Epub 2014 Jun 17.
9
Geraniin suppresses RANKL-induced osteoclastogenesis in vitro and ameliorates wear particle-induced osteolysis in mouse model.老鹳草素在体外抑制RANKL诱导的破骨细胞生成,并改善小鼠模型中磨损颗粒诱导的骨溶解。
Exp Cell Res. 2015 Jan 1;330(1):91-101. doi: 10.1016/j.yexcr.2014.07.005. Epub 2014 Jul 9.
10
Pentamidine Inhibits Titanium Particle-Induced Osteolysis and Receptor Activator of Nuclear Factor-κB Ligand-Mediated Osteoclast Differentiation .戊二脒抑制钛颗粒诱导的骨溶解和核因子-κB 受体激活剂配体介导的破骨细胞分化。
Tissue Eng Regen Med. 2019 Apr 2;16(3):265-273. doi: 10.1007/s13770-019-00186-y. eCollection 2019 Jun.

引用本文的文献

1
Nanopatterned Titanium Implants Accelerate Bone Formation In Vivo.纳米图案化钛植入物可加速体内骨形成。
ACS Appl Mater Interfaces. 2020 Jul 29;12(30):33541-33549. doi: 10.1021/acsami.0c10273. Epub 2020 Jul 17.
2
Protects against Bone Loss in Ovariectomized Mice.可预防去卵巢小鼠的骨质流失。
Nutrients. 2019 Aug 8;11(8):1831. doi: 10.3390/nu11081831.

本文引用的文献

1
Effects of rheumatoid arthritis associated transcriptional changes on osteoclast differentiation network in the synovium.类风湿关节炎相关转录变化对滑膜破骨细胞分化网络的影响。
PeerJ. 2018 Oct 11;6:e5743. doi: 10.7717/peerj.5743. eCollection 2018.
2
Forsythiaside inhibits bacterial adhesion on titanium alloy and attenuates Ti-induced activation of nuclear factor-κB signaling-mediated macrophage inflammation.连翘酯苷抑制细菌在钛合金上的黏附,并减弱钛诱导的核因子κB信号介导的巨噬细胞炎症激活。
J Orthop Surg Res. 2018 Jun 5;13(1):139. doi: 10.1186/s13018-018-0834-x.
3
Lenalidomide regulates osteocytes fate and related osteoclastogenesis via IL-1β/NF-κB/RANKL signaling.
来那度胺通过 IL-1β/NF-κB/RANKL 信号通路调节破骨细胞前体细胞向成骨细胞分化及其相关的破骨细胞生成。
Biochem Biophys Res Commun. 2018 Jun 22;501(2):547-555. doi: 10.1016/j.bbrc.2018.05.035. Epub 2018 May 10.
4
Magnesium Lithospermate B Protects against Lipopolysaccharide-Induced Bone Loss by Inhibiting RANKL/RANK Pathway.紫草素镁B通过抑制RANKL/RANK信号通路保护小鼠免受脂多糖诱导的骨质流失
Front Pharmacol. 2018 Feb 6;9:64. doi: 10.3389/fphar.2018.00064. eCollection 2018.
5
Inhibitory effects of melatonin on titanium particle-induced inflammatory bone resorption and osteoclastogenesis via suppression of NF-κB signaling.褪黑素通过抑制 NF-κB 信号通路抑制钛颗粒诱导的炎症性骨吸收和破骨细胞生成。
Acta Biomater. 2017 Oct 15;62:362-371. doi: 10.1016/j.actbio.2017.08.046. Epub 2017 Sep 1.
6
Protective effect of forsythiaside A on OVA-induced asthma in mice.连翘酯苷 A 对卵清蛋白诱导的哮喘小鼠的保护作用。
Eur J Pharmacol. 2017 Oct 5;812:250-255. doi: 10.1016/j.ejphar.2017.07.033. Epub 2017 Jul 18.
7
Forsythoside A exerts an anti-endotoxin effect by blocking the LPS/TLR4 signaling pathway and inhibiting Tregs in vitro.forsythoside A 通过阻断 LPS/TLR4 信号通路和抑制体外 Tregs 发挥抗内毒素作用。
Int J Mol Med. 2017 Jul;40(1):243-250. doi: 10.3892/ijmm.2017.2990. Epub 2017 May 15.
8
Chemokines Associated with Pathologic Responses to Orthopedic Implant Debris.与骨科植入物碎片病理反应相关的趋化因子
Front Endocrinol (Lausanne). 2017 Jan 19;8:5. doi: 10.3389/fendo.2017.00005. eCollection 2017.
9
Melatonin attenuates titanium particle-induced osteolysis via activation of Wnt/β-catenin signaling pathway.褪黑素通过激活Wnt/β-连环蛋白信号通路减轻钛颗粒诱导的骨溶解。
Acta Biomater. 2017 Mar 15;51:513-525. doi: 10.1016/j.actbio.2017.01.034. Epub 2017 Jan 11.
10
Correlations between macrophage polarizing cytokines, inflammatory mediators, osteoclast activity, and toll-like receptors in tissues around aseptically loosened hip implants.无菌性松动髋关节植入物周围组织中巨噬细胞极化细胞因子、炎症介质、破骨细胞活性和Toll样受体之间的相关性
J Biomed Mater Res A. 2017 Feb;105(2):454-463. doi: 10.1002/jbm.a.35913. Epub 2016 Oct 31.