• 文献检索
  • 文档翻译
  • 深度研究
  • 学术资讯
  • Suppr Zotero 插件Zotero 插件
  • 邀请有礼
  • 套餐&价格
  • 历史记录
应用&插件
Suppr Zotero 插件Zotero 插件浏览器插件Mac 客户端Windows 客户端微信小程序
定价
高级版会员购买积分包购买API积分包
服务
文献检索文档翻译深度研究API 文档MCP 服务
关于我们
关于 Suppr公司介绍联系我们用户协议隐私条款
关注我们

Suppr 超能文献

核心技术专利:CN118964589B侵权必究
粤ICP备2023148730 号-1Suppr @ 2026

文献检索

告别复杂PubMed语法,用中文像聊天一样搜索,搜遍4000万医学文献。AI智能推荐,让科研检索更轻松。

立即免费搜索

文件翻译

保留排版,准确专业,支持PDF/Word/PPT等文件格式,支持 12+语言互译。

免费翻译文档

深度研究

AI帮你快速写综述,25分钟生成高质量综述,智能提取关键信息,辅助科研写作。

立即免费体验

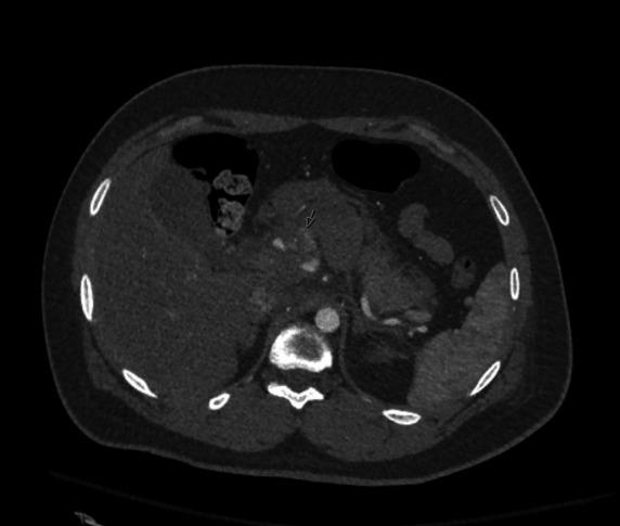
Management of a common hepatic artery pseudoaneurysm after blunt trauma.

作者信息

Niziolek Grace Martin, Smith Brian, Cannon Jeremy, Yelon Jay

机构信息

Surgery, University of Pennsylvania Perelman School of Medicine, Philadelphia, Pennsylvania, USA.

出版信息

Trauma Surg Acute Care Open. 2022 Apr 19;7(1):e000909. doi: 10.1136/tsaco-2022-000909. eCollection 2022.

DOI:10.1136/tsaco-2022-000909
PMID:35515979
原文链接:https://pmc.ncbi.nlm.nih.gov/articles/PMC9020312/
Abstract
摘要
https://cdn.ncbi.nlm.nih.gov/pmc/blobs/8ec9/9020312/edf8298a0791/tsaco-2022-000909f02.jpg
https://cdn.ncbi.nlm.nih.gov/pmc/blobs/8ec9/9020312/5a3a46649bbb/tsaco-2022-000909f01.jpg
https://cdn.ncbi.nlm.nih.gov/pmc/blobs/8ec9/9020312/edf8298a0791/tsaco-2022-000909f02.jpg
https://cdn.ncbi.nlm.nih.gov/pmc/blobs/8ec9/9020312/5a3a46649bbb/tsaco-2022-000909f01.jpg
https://cdn.ncbi.nlm.nih.gov/pmc/blobs/8ec9/9020312/edf8298a0791/tsaco-2022-000909f02.jpg

相似文献

1
Management of a common hepatic artery pseudoaneurysm after blunt trauma.钝性创伤后肝总动脉假性动脉瘤的处理
Trauma Surg Acute Care Open. 2022 Apr 19;7(1):e000909. doi: 10.1136/tsaco-2022-000909. eCollection 2022.
2
Hepatic Artery Pseudoaneurysm: Delayed Presentation after a Blunt Trauma.肝动脉假性动脉瘤:钝性创伤后的延迟表现。
Pol J Radiol. 2015 Jun 28;80:334-6. doi: 10.12659/PJR.894177. eCollection 2015.
3
Hepatic artery pseudoaneurysm, bronchobiliary fistula in a patient with liver trauma.肝外伤患者的肝动脉假性动脉瘤、胆瘘
BMC Surg. 2018 Nov 12;18(1):97. doi: 10.1186/s12893-018-0437-9.
4
[Non-operative management of a hepatic pseudoaneurysm and a biloma complicating a blunt abdominal trauma].[肝假性动脉瘤和胆汁瘤合并钝性腹部创伤的非手术治疗]
Ann Fr Anesth Reanim. 2008 May;27(5):438-41. doi: 10.1016/j.annfar.2008.01.028. Epub 2008 Apr 28.
5
Prophylactic embolization of hepatic artery pseudoaneurysm after blunt abdominal trauma in a child.儿童钝性腹部创伤后肝动脉假性动脉瘤的预防性栓塞
J Pediatr Surg. 2010 Apr;45(4):837-9. doi: 10.1016/j.jpedsurg.2010.01.021.
6
Pseudoaneurysm of the proper hepatic artery with duodenal fistula appearing as a late complication of blunt abdominal trauma.肝固有动脉假性动脉瘤合并十二指肠瘘,表现为钝性腹部创伤的晚期并发症。
J Trauma. 1996 Jan;40(1):123-5. doi: 10.1097/00005373-199601000-00024.
7
Massive hemoperitoneum due to ruptured inferior phrenic artery pseudoaneurysm after blunt trauma.钝性创伤后膈下动脉假性动脉瘤破裂导致大量腹腔积血。
Emerg Radiol. 2006 Dec;13(3):147-9. doi: 10.1007/s10140-006-0524-6. Epub 2006 Oct 13.
8
Superior mesenteric artery pseudoaneurysm after blunt abdominal trauma.钝性腹部创伤后肠系膜上动脉假性动脉瘤
Ann Vasc Surg. 2013 Jul;27(5):674-8. doi: 10.1016/j.avsg.2012.09.006. Epub 2013 Mar 21.
9
Transcatheter treatment of liver laceration from blunt trauma.经导管治疗钝性创伤所致肝裂伤
Semin Intervent Radiol. 2012 Sep;29(3):197-200. doi: 10.1055/s-0032-1326929.
10
Hepatic arterial pseudoaneurysm: a rare complication of blunt abdominal trauma in children.肝动脉假性动脉瘤:儿童腹部钝性创伤的罕见并发症。
Pediatr Radiol. 1999 May;29(5):306-8. doi: 10.1007/s002470050594.

本文引用的文献

1
Hepatic Artery Pseudoaneurysm: Delayed Presentation after a Blunt Trauma.肝动脉假性动脉瘤:钝性创伤后的延迟表现。
Pol J Radiol. 2015 Jun 28;80:334-6. doi: 10.12659/PJR.894177. eCollection 2015.
2
Post-traumatic pseudoaneurysm of the common hepatic artery with duodenal fistula.创伤后肝总动脉假性动脉瘤伴十二指肠瘘
HPB (Oxford). 2002;4(4):183-6. doi: 10.1080/13651820260503855.
3
Rupture of a traumatic common hepatic artery aneurysm: case report and review of the literature.创伤性肝总动脉瘤破裂:病例报告及文献复习
J Trauma. 1998 Sep;45(3):637-41. doi: 10.1097/00005373-199809000-00045.
4
Nonoperative management of visceral aneurysms and pseudoaneurysms.内脏动脉瘤和假性动脉瘤的非手术治疗
Am J Surg. 1992 Sep;164(3):215-9. doi: 10.1016/s0002-9610(05)81073-6.