Suppr超能文献

肝动脉假性动脉瘤:钝性创伤后的延迟表现。

Hepatic Artery Pseudoaneurysm: Delayed Presentation after a Blunt Trauma.

作者信息

Batur Abdussamet, Yavuz Alpaslan, Toktas Osman, Bora Aydın, Bulut Mehmet Deniz

机构信息

Department of Radiology, Yuzuncuyil University Dursun Odabas Medical Center, Van Sehri, Turkey.

出版信息

Pol J Radiol. 2015 Jun 28;80:334-6. doi: 10.12659/PJR.894177. eCollection 2015.

Abstract

BACKGROUND

Ruptured hepatic artery pseudoaneurysm is a rare condition that is life-threatening if not diagnosed and treated rapidly. We present a case of a spontaneously ruptured hepatic artery pseudoaneurysm that occurred after a blunt trauma, and provide a review of the current literature on this topic. This case study demonstrates a spontaneously ruptured hepatic artery pseudoaneurysm which emerged following a blunt trauma and it also presents current literature studies on the topic.

CASE REPORT

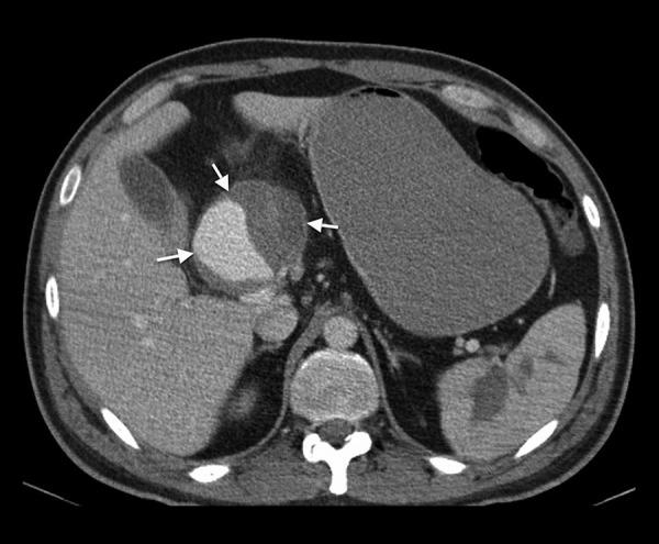
A man at the age of 34 years with blunt trauma dating back to 1.5 month was admitted to the emergency department of a hospital with hematemesis and epigastric tenderness. He also had a duodenal ulcer, blood in the gastric lumen and a large pseudoaneurysm that developed from the left hepatic artery. Soon after the diagnosis, the patient worsened and underwent distal gastrectomy and cholecystectomy that included removing the bleeding aneurysm.

CONCLUSIONS

Ruptured hepatic artery pseudoaneurysm stands as a deadly condition which has to be diagnosed and managed as soon as possible. Physicians need to take aneurysms of abdominal arteries into consideration after routine diagnostic practises as long as the cause of gastrointestinal haemorrhage is unidentified.

摘要

背景

肝动脉假性动脉瘤破裂是一种罕见疾病,若不迅速诊断和治疗会危及生命。我们报告一例钝性创伤后发生的自发性肝动脉假性动脉瘤破裂病例,并对该主题的当前文献进行综述。本病例研究展示了一例钝性创伤后出现的自发性肝动脉假性动脉瘤破裂,同时也呈现了关于该主题的当前文献研究。

病例报告

一名34岁男性,1.5个月前遭受钝性创伤,因呕血和上腹部压痛入住一家医院的急诊科。他还患有十二指肠溃疡、胃腔内出血以及一个由左肝动脉形成的大假性动脉瘤。诊断后不久,患者病情恶化,接受了远端胃切除术和胆囊切除术,其中包括切除出血的动脉瘤。

结论

肝动脉假性动脉瘤破裂是一种致命疾病,必须尽快诊断和处理。只要胃肠道出血原因不明,医生在常规诊断操作后需考虑腹部动脉的动脉瘤。

https://cdn.ncbi.nlm.nih.gov/pmc/blobs/963e/4489684/498b56cc6680/poljradiol-80-334-g001.jpg

文献AI研究员

20分钟写一篇综述,助力文献阅读效率提升50倍。

立即体验

用中文搜PubMed

大模型驱动的PubMed中文搜索引擎

马上搜索

文档翻译

学术文献翻译模型,支持多种主流文档格式。

立即体验