• 文献检索
  • 文档翻译
  • 深度研究
  • 学术资讯
  • Suppr Zotero 插件Zotero 插件
  • 邀请有礼
  • 套餐&价格
  • 历史记录
应用&插件
Suppr Zotero 插件Zotero 插件浏览器插件Mac 客户端Windows 客户端微信小程序
定价
高级版会员购买积分包购买API积分包
服务
文献检索文档翻译深度研究API 文档MCP 服务
关于我们
关于 Suppr公司介绍联系我们用户协议隐私条款
关注我们

Suppr 超能文献

核心技术专利:CN118964589B侵权必究
粤ICP备2023148730 号-1Suppr @ 2026

文献检索

告别复杂PubMed语法,用中文像聊天一样搜索,搜遍4000万医学文献。AI智能推荐,让科研检索更轻松。

立即免费搜索

文件翻译

保留排版,准确专业,支持PDF/Word/PPT等文件格式,支持 12+语言互译。

免费翻译文档

深度研究

AI帮你快速写综述,25分钟生成高质量综述,智能提取关键信息,辅助科研写作。

立即免费体验

人 EndoC-βH1 细胞中干扰素信号的时间调节。

Temporal regulation of interferon signalling in human EndoC-βH1 cells.

机构信息

Islet Biology Group (IBEx), Exeter Centre of Excellence in Diabetes (EXCEED), Institute of Biomedical & Clinical Science, University of Exeter Medical School, Exeter, UK.

出版信息

J Mol Endocrinol. 2022 May 19;69(2):299-313. doi: 10.1530/JME-21-0224.

DOI:10.1530/JME-21-0224
PMID:35521765
原文链接:https://pmc.ncbi.nlm.nih.gov/articles/PMC9175560/
Abstract

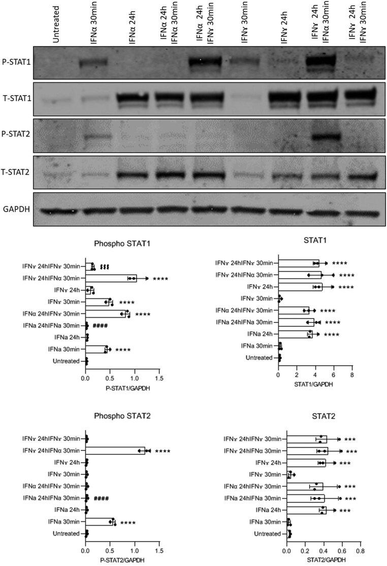
During the development of type 1 diabetes, interferons (IFN) are elaborated from islet-infiltrating immune cells and/or from virally infected β-cells. They act via specific receptors to increase, acutely, the phosphorylation of the transcription factors STAT1 and 2. However, the longer-term impacts of chronic IFN stimulation are poorly understood and were investigated in the current study. Human EndoC-βH1 cells were treated with IFNα, IFNγ or IFNλ either acutely (<2 h) or chronically (≥24 h) and STAT phosphorylation, expression and activity were assessed by Western blotting and transcriptional reporter assays. Exposure of β-cells to IFNα or IFNλ induced a swift increase in the phosphorylation of both STAT1 and STAT2, whereas IFNγ increased only pSTAT1. Over more extended periods (≥24 h), STAT phosphorylation declined but STAT1 and STAT2 expression were enhanced in a sustained manner. All IFNs stimulated ISRE transcriptional activity (but with different time courses), whereas GAS activity was responsive only to IFNγ. The re-addition of a second bolus of IFNα, 24 h after an initial dose, failed to cause renewed STAT1/2 phosphorylation. By contrast, when IFNγ was added 24 h after exposure to IFNα, rapid STAT1 phosphorylation was re-initiated. Exposure of β-cells to IFNs leads to rapid, transient, STAT phosphorylation and to slower and more sustained increases in total STAT1/2 levels. The initial phosphorylation response is accompanied by marked desensitisation to the cognate agonist. Together, the results reveal that the response of β-cells to IFNs is regulated both temporally and quantitatively to achieve effective signal integration.

摘要

在 1 型糖尿病的发展过程中,干扰素 (IFN) 由胰岛浸润的免疫细胞和/或病毒感染的 β 细胞产生。它们通过特异性受体作用,急性增加转录因子 STAT1 和 STAT2 的磷酸化。然而,慢性 IFN 刺激的长期影响知之甚少,本研究对此进行了探讨。人 EndoC-βH1 细胞用 IFNα、IFNγ 或 IFNλ 急性(<2 h)或慢性(≥24 h)处理,通过 Western blot 和转录报告基因检测评估 STAT 磷酸化、表达和活性。β 细胞暴露于 IFNα 或 IFNλ 会迅速增加 STAT1 和 STAT2 的磷酸化,而 IFNγ 仅增加 pSTAT1。在更长的时间(≥24 h)内,STAT 磷酸化下降,但 STAT1 和 STAT2 的表达持续增强。所有 IFNs 均刺激 ISRE 转录活性(但时间进程不同),而 GAS 活性仅对 IFNγ 有反应。在初始剂量 24 小时后再次加入第二剂量 IFNα 未能引起 STAT1/2 的再次磷酸化。相比之下,当 IFNγ 在暴露于 IFNα 24 小时后加入时,快速的 STAT1 磷酸化被重新启动。IFN 暴露导致 β 细胞快速、短暂的 STAT 磷酸化,并导致总 STAT1/2 水平的缓慢和更持续增加。初始磷酸化反应伴随着对同源激动剂的明显脱敏。总之,这些结果表明,β 细胞对 IFNs 的反应受到时间和数量的调节,以实现有效的信号整合。

https://cdn.ncbi.nlm.nih.gov/pmc/blobs/8b12/9175560/6811c1423515/JME-21-0224fig9.jpg
https://cdn.ncbi.nlm.nih.gov/pmc/blobs/8b12/9175560/279b00a32390/JME-21-0224fig1.jpg
https://cdn.ncbi.nlm.nih.gov/pmc/blobs/8b12/9175560/b16b8c9d598c/JME-21-0224fig2.jpg
https://cdn.ncbi.nlm.nih.gov/pmc/blobs/8b12/9175560/8b08a8ff69b0/JME-21-0224fig3.jpg
https://cdn.ncbi.nlm.nih.gov/pmc/blobs/8b12/9175560/81db0c110a53/JME-21-0224fig4.jpg
https://cdn.ncbi.nlm.nih.gov/pmc/blobs/8b12/9175560/b4edbfc4d201/JME-21-0224fig5.jpg
https://cdn.ncbi.nlm.nih.gov/pmc/blobs/8b12/9175560/8d72a8e12e2d/JME-21-0224fig6.jpg
https://cdn.ncbi.nlm.nih.gov/pmc/blobs/8b12/9175560/537400a79bf5/JME-21-0224fig7.jpg
https://cdn.ncbi.nlm.nih.gov/pmc/blobs/8b12/9175560/da879a7f61e5/JME-21-0224fig8.jpg
https://cdn.ncbi.nlm.nih.gov/pmc/blobs/8b12/9175560/6811c1423515/JME-21-0224fig9.jpg
https://cdn.ncbi.nlm.nih.gov/pmc/blobs/8b12/9175560/279b00a32390/JME-21-0224fig1.jpg
https://cdn.ncbi.nlm.nih.gov/pmc/blobs/8b12/9175560/b16b8c9d598c/JME-21-0224fig2.jpg
https://cdn.ncbi.nlm.nih.gov/pmc/blobs/8b12/9175560/8b08a8ff69b0/JME-21-0224fig3.jpg
https://cdn.ncbi.nlm.nih.gov/pmc/blobs/8b12/9175560/81db0c110a53/JME-21-0224fig4.jpg
https://cdn.ncbi.nlm.nih.gov/pmc/blobs/8b12/9175560/b4edbfc4d201/JME-21-0224fig5.jpg
https://cdn.ncbi.nlm.nih.gov/pmc/blobs/8b12/9175560/8d72a8e12e2d/JME-21-0224fig6.jpg
https://cdn.ncbi.nlm.nih.gov/pmc/blobs/8b12/9175560/537400a79bf5/JME-21-0224fig7.jpg
https://cdn.ncbi.nlm.nih.gov/pmc/blobs/8b12/9175560/da879a7f61e5/JME-21-0224fig8.jpg
https://cdn.ncbi.nlm.nih.gov/pmc/blobs/8b12/9175560/6811c1423515/JME-21-0224fig9.jpg

相似文献

1
Temporal regulation of interferon signalling in human EndoC-βH1 cells.人 EndoC-βH1 细胞中干扰素信号的时间调节。
J Mol Endocrinol. 2022 May 19;69(2):299-313. doi: 10.1530/JME-21-0224.
2
Signal Integration of IFN-I and IFN-II With TLR4 Involves Sequential Recruitment of STAT1-Complexes and NFκB to Enhance Pro-inflammatory Transcription.IFN-I 和 IFN-II 与 TLR4 的信号整合涉及 STAT1 复合物和 NFκB 的顺序募集,以增强促炎转录。
Front Immunol. 2019 Jun 4;10:1253. doi: 10.3389/fimmu.2019.01253. eCollection 2019.
3
Time-dependent recruitment of GAF, ISGF3 and IRF1 complexes shapes IFNα and IFNγ-activated transcriptional responses and explains mechanistic and functional overlap.时间依赖性募集 GAF、ISGF3 和 IRF1 复合物,塑造 IFNα 和 IFNγ 激活的转录反应,并解释了其机制和功能上的重叠。
Cell Mol Life Sci. 2023 Jun 22;80(7):187. doi: 10.1007/s00018-023-04830-8.
4
Identification of a novel conserved motif in the STAT family that is required for tyrosine phosphorylation.在STAT家族中鉴定出一种新型保守基序,该基序是酪氨酸磷酸化所必需的。
J Biol Chem. 2004 Mar 26;279(13):12379-85. doi: 10.1074/jbc.M310787200. Epub 2004 Jan 13.
5
STAT1 modification improves therapeutic effects of interferons on lung cancer cells.信号转导和转录激活因子1(STAT1)修饰可提高干扰素对肺癌细胞的治疗效果。
J Transl Med. 2015 Sep 8;13:293. doi: 10.1186/s12967-015-0656-0.
6
Deucravacitinib, a tyrosine kinase 2 pseudokinase inhibitor, protects human EndoC-βH1 β-cells against proinflammatory insults.德夸西替尼,一种酪氨酸激酶 2 假激酶抑制剂,可保护人 EndoC-βH1β 细胞免受促炎刺激。
Front Immunol. 2023 Oct 3;14:1263926. doi: 10.3389/fimmu.2023.1263926. eCollection 2023.
7
Prolactin activates Stat1 but does not antagonize Stat1 activation and growth inhibition by type I interferons in human breast cancer cells.催乳素激活信号转导和转录激活因子1(Stat1),但在人乳腺癌细胞中并不拮抗I型干扰素对Stat1的激活作用及生长抑制作用。
Cancer Res. 1998 May 1;58(9):1914-9.
8
Marburg virus evades interferon responses by a mechanism distinct from ebola virus.马尔堡病毒通过一种与埃博拉病毒不同的机制逃避干扰素反应。
PLoS Pathog. 2010 Jan 15;6(1):e1000721. doi: 10.1371/journal.ppat.1000721.
9
STAT2/IRF9 directs a prolonged ISGF3-like transcriptional response and antiviral activity in the absence of STAT1.在缺乏STAT1的情况下,STAT2/IRF9指导延长的类ISGF3转录反应和抗病毒活性。
Biochem J. 2015 Mar 15;466(3):511-24. doi: 10.1042/BJ20140644.
10
IFNalpha and IFNlambda differ in their antiproliferative effects and duration of JAK/STAT signaling activity.干扰素α和干扰素λ在其抗增殖作用以及JAK/STAT信号活性持续时间方面存在差异。
Cancer Biol Ther. 2008 Jul;7(7):1109-15. doi: 10.4161/cbt.7.7.6192. Epub 2008 Apr 24.

引用本文的文献

1
The role of the interferon/JAK-STAT axis in driving islet HLA-I hyperexpression in type 1 diabetes.干扰素/JAK-STAT 轴在驱动 1 型糖尿病胰岛 HLA-I 过度表达中的作用。
Front Endocrinol (Lausanne). 2023 Oct 6;14:1270325. doi: 10.3389/fendo.2023.1270325. eCollection 2023.
2
Deucravacitinib, a tyrosine kinase 2 pseudokinase inhibitor, protects human EndoC-βH1 β-cells against proinflammatory insults.德夸西替尼,一种酪氨酸激酶 2 假激酶抑制剂,可保护人 EndoC-βH1β 细胞免受促炎刺激。
Front Immunol. 2023 Oct 3;14:1263926. doi: 10.3389/fimmu.2023.1263926. eCollection 2023.

本文引用的文献

1
Breaking and restoring immune tolerance to pancreatic beta-cells in type 1 diabetes.在 1 型糖尿病中打破和恢复对胰岛β细胞的免疫耐受。
Curr Opin Endocrinol Diabetes Obes. 2021 Aug 1;28(4):397-403. doi: 10.1097/MED.0000000000000646.
2
Type I interferons as key players in pancreatic β-cell dysfunction in type 1 diabetes.I 型干扰素作为 1 型糖尿病中胰岛 β 细胞功能障碍的关键因素。
Int Rev Cell Mol Biol. 2021;359:1-80. doi: 10.1016/bs.ircmb.2021.02.011. Epub 2021 Mar 23.
3
Footprints of Immune Cells in the Pancreas in Type 1 Diabetes; to "B" or Not to "B": Is That Still the Question?
1 型糖尿病中胰腺内免疫细胞的踪迹;是“B”还是不是“B”:这仍然是问题吗?
Front Endocrinol (Lausanne). 2021 Feb 25;12:617437. doi: 10.3389/fendo.2021.617437. eCollection 2021.
4
New Insights Into the Role of Autoreactive CD8 T Cells and Cytokines in Human Type 1 Diabetes.自身反应性 CD8 T 细胞和细胞因子在人类 1 型糖尿病中的作用的新见解。
Front Endocrinol (Lausanne). 2021 Jan 5;11:606434. doi: 10.3389/fendo.2020.606434. eCollection 2020.
5
Type I Interferon (IFN)-Regulated Activation of Canonical and Non-Canonical Signaling Pathways.I 型干扰素(IFN)调节的经典和非经典信号通路的激活。
Front Immunol. 2020 Nov 23;11:606456. doi: 10.3389/fimmu.2020.606456. eCollection 2020.
6
Cell-cycle-gated feedback control mediates desensitization to interferon stimulation.细胞周期门控反馈控制介导干扰素刺激脱敏。
Elife. 2020 Sep 18;9:e58825. doi: 10.7554/eLife.58825.
7
Type 1 Diabetes: Interferons and the Aftermath of Pancreatic Beta-Cell Enteroviral Infection.1型糖尿病:干扰素与胰腺β细胞肠道病毒感染的后果
Microorganisms. 2020 Sep 15;8(9):1419. doi: 10.3390/microorganisms8091419.
8
An integrated multi-omics approach identifies the landscape of interferon-α-mediated responses of human pancreatic beta cells.一种整合的多组学方法鉴定了人胰腺β细胞中干扰素-α介导反应的全景。
Nat Commun. 2020 May 22;11(1):2584. doi: 10.1038/s41467-020-16327-0.
9
Pro-inflammatory cytokines induce cell death, inflammatory responses, and endoplasmic reticulum stress in human iPSC-derived beta cells.促炎细胞因子可诱导人诱导多能干细胞衍生的β细胞发生细胞死亡、炎症反应和内质网应激。
Stem Cell Res Ther. 2020 Jan 3;11(1):7. doi: 10.1186/s13287-019-1523-3.
10
What the HLA-I!-Classical and Non-classical HLA Class I and Their Potential Roles in Type 1 Diabetes.什么是 HLA-I!经典和非经典 HLA I 类分子及其在 1 型糖尿病中的潜在作用。
Curr Diab Rep. 2019 Dec 9;19(12):159. doi: 10.1007/s11892-019-1245-z.