• 文献检索
  • 文档翻译
  • 深度研究
  • 学术资讯
  • Suppr Zotero 插件Zotero 插件
  • 邀请有礼
  • 套餐&价格
  • 历史记录
应用&插件
Suppr Zotero 插件Zotero 插件浏览器插件Mac 客户端Windows 客户端微信小程序
定价
高级版会员购买积分包购买API积分包
服务
文献检索文档翻译深度研究API 文档MCP 服务
关于我们
关于 Suppr公司介绍联系我们用户协议隐私条款
关注我们

Suppr 超能文献

核心技术专利:CN118964589B侵权必究
粤ICP备2023148730 号-1Suppr @ 2026

文献检索

告别复杂PubMed语法,用中文像聊天一样搜索,搜遍4000万医学文献。AI智能推荐,让科研检索更轻松。

立即免费搜索

文件翻译

保留排版,准确专业,支持PDF/Word/PPT等文件格式,支持 12+语言互译。

免费翻译文档

深度研究

AI帮你快速写综述,25分钟生成高质量综述,智能提取关键信息,辅助科研写作。

立即免费体验

内镜下取出卡在十二指肠的义齿衬里材料

Endoscopic Removal of a Denture Lining Material Stuck in the Duodenum.

作者信息

Eizuka Makoto, Toya Yosuke, Miura Manami, Takahashi Hiroshi, Matsumoto Takayuki

机构信息

Division of Gastroenterology, Department of Internal Medicine, School of Medicine, Iwate Medical University, Yahaba, Japan.

Department of Gastroenterology, Iwate Prefectural Ninohe Hospital, Ninohe, Japan.

出版信息

Case Rep Gastroenterol. 2022 Mar 25;16(1):135-139. doi: 10.1159/000522252. eCollection 2022 Jan-Apr.

DOI:10.1159/000522252
PMID:35528776
原文链接:https://pmc.ncbi.nlm.nih.gov/articles/PMC9035964/
Abstract

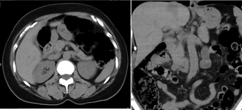
A 52-year-old woman visited our hospital with a complaint of upper abdominal pain. Abdominal computed tomography did not show any lesion responsible for the pain. However, esophagogastroduodenoscopy identified a pale, pink-colored, U-shaped foreign body stuck in the descending part of the duodenum. We removed it by gently pulling forward in an antegrade fashion with the use of a snare. Duodenography after the removal did not show any sign of leakage to the abdominal cavity or to the retroperitoneum. The foreign body was found to be a denture lining material equipped 3 days previously.

摘要

一名52岁女性因上腹部疼痛前来我院就诊。腹部计算机断层扫描未显示任何导致疼痛的病变。然而,食管胃十二指肠镜检查发现十二指肠降部有一个苍白、粉红色、U形异物嵌顿。我们使用圈套器以顺行方式轻轻向前牵拉将其取出。取出后十二指肠造影未显示有任何腹腔或腹膜后渗漏迹象。发现该异物为3天前佩戴的假牙衬里材料。

https://cdn.ncbi.nlm.nih.gov/pmc/blobs/c673/9035964/d1fa60b1278b/crg-0016-0135-g04.jpg
https://cdn.ncbi.nlm.nih.gov/pmc/blobs/c673/9035964/7a78f823ff6c/crg-0016-0135-g01.jpg
https://cdn.ncbi.nlm.nih.gov/pmc/blobs/c673/9035964/111fe377cdac/crg-0016-0135-g02.jpg
https://cdn.ncbi.nlm.nih.gov/pmc/blobs/c673/9035964/672caddb9798/crg-0016-0135-g03.jpg
https://cdn.ncbi.nlm.nih.gov/pmc/blobs/c673/9035964/d1fa60b1278b/crg-0016-0135-g04.jpg
https://cdn.ncbi.nlm.nih.gov/pmc/blobs/c673/9035964/7a78f823ff6c/crg-0016-0135-g01.jpg
https://cdn.ncbi.nlm.nih.gov/pmc/blobs/c673/9035964/111fe377cdac/crg-0016-0135-g02.jpg
https://cdn.ncbi.nlm.nih.gov/pmc/blobs/c673/9035964/672caddb9798/crg-0016-0135-g03.jpg
https://cdn.ncbi.nlm.nih.gov/pmc/blobs/c673/9035964/d1fa60b1278b/crg-0016-0135-g04.jpg

相似文献

1
Endoscopic Removal of a Denture Lining Material Stuck in the Duodenum.内镜下取出卡在十二指肠的义齿衬里材料
Case Rep Gastroenterol. 2022 Mar 25;16(1):135-139. doi: 10.1159/000522252. eCollection 2022 Jan-Apr.
2
Chronic Maxillary Sinusitis Caused by Denture Lining Material.义齿衬里材料引起的慢性上颌窦炎
Open Dent J. 2016 May 31;10:261-7. doi: 10.2174/1874210601610010261. eCollection 2016.
3
A possible indicator for removal of a large foreign body from the esophagus via a cervical approach: a case report with literature review.经颈入路取出食管内大异物的可能指标:病例报告并文献复习
Clin J Gastroenterol. 2022 Apr;15(2):333-338. doi: 10.1007/s12328-022-01589-6. Epub 2022 Jan 9.
4
Removal of foreign bodies in the upper gastrointestinal tract in adults: European Society of Gastrointestinal Endoscopy (ESGE) Clinical Guideline.成人上消化道异物取出术:欧洲胃肠内镜学会(ESGE)临床指南
Endoscopy. 2016 May;48(5):489-96. doi: 10.1055/s-0042-100456. Epub 2016 Feb 10.
5
Rectal Foreign Body of Eggplant Treated Successfully by Endoscopic Transanal Removal.经内镜经肛门成功取出茄子直肠异物
Case Rep Gastroenterol. 2018 Apr 26;12(1):189-193. doi: 10.1159/000488974. eCollection 2018 Jan-Apr.
6
Endoscopic removal of a tablespoon lodged within the duodenum.内镜下取出一枚滞留在十二指肠内的汤勺。
World J Gastroenterol. 2015 Apr 28;21(16):5096-8. doi: 10.3748/wjg.v21.i16.5096.
7
Endoscopic Removal of a Duodenal-Perforating Leg of Glasses with Dormia Basket.使用多尔米亚篮经内镜取出十二指肠穿孔的眼镜腿。
Case Rep Gastroenterol. 2016 Nov 14;10(3):679-684. doi: 10.1159/000452205. eCollection 2016 Sep-Dec.
8
Intraluminal duodenal diverticulum in a child: incidental onset possibly associated with the ingestion of a foreign body.儿童十二指肠腔内憩室:偶然发病,可能与异物摄入有关。
Eur J Pediatr. 1999 Feb;158(2):108-10. doi: 10.1007/s004310051028.
9
Retroperitoneal hemorrhage after endoscopic removal of a fish bone stuck in the duodenum of a patient receiving hemodialysis.一名接受血液透析的患者十二指肠内鱼刺经内镜取出后发生腹膜后出血。
Korean J Gastroenterol. 2011 Oct 25;58(4):212-6. doi: 10.4166/kjg.2011.58.4.212.
10
Removal of a sewing needle penetrating the wall of the third portion of the duodenum by double-balloon endoscopy.
Clin J Gastroenterol. 2012 Feb;5(1):79-81. doi: 10.1007/s12328-011-0274-1. Epub 2011 Dec 28.

本文引用的文献

1
The removal of foreign body ingestion in the upper gastrointestinal tract: a retrospective study of 1,182 adult cases.上消化道异物摄入的取出:1182例成人病例的回顾性研究
Ann Transl Med. 2021 Mar;9(6):502. doi: 10.21037/atm-21-829.
2
Complication rates in emergent endoscopy for foreign bodies under different sedation modalities: A large single-center retrospective review.不同镇静方式下急诊内镜取出异物的并发症发生率:一项大型单中心回顾性研究。
World J Gastrointest Endosc. 2021 Feb 16;13(2):45-55. doi: 10.4253/wjge.v13.i2.45.
3
Endoscopic removal of foreign bodies: A retrospective study in Japan.
内镜下取出异物:日本的一项回顾性研究。
World J Gastrointest Endosc. 2020 Jan 16;12(1):33-41. doi: 10.4253/wjge.v12.i1.33.
4
Predictors of Outcomes in Endoscopies for Foreign Body Ingestion: A Cross-Sectional Study.异物吞食内镜检查结果的预测因素:一项横断面研究。
Dig Dis Sci. 2020 Sep;65(9):2637-2643. doi: 10.1007/s10620-019-06033-3. Epub 2020 Jan 6.
5
Small bowel perforation secondary to foreign body ingestion mimicking acute appendicitis: Case report.异物吞食继发小肠穿孔酷似急性阑尾炎:病例报告
Medicine (Baltimore). 2019 Jul;98(30):e16489. doi: 10.1097/MD.0000000000016489.
6
Retrospective analysis of management of ingested foreign bodies and food impactions in emergency endoscopic setting in adults.成人急诊内镜下处理摄入异物及食物嵌塞的回顾性分析
BMC Emerg Med. 2016 Nov 4;16(1):42. doi: 10.1186/s12873-016-0104-3.
7
Endoscopic Removal of Ingested Dentures and Dental Instruments: A Retrospective Analysis.内镜下取出误食的假牙和牙科器械:一项回顾性分析。
Gastroenterol Res Pract. 2016;2016:3537147. doi: 10.1155/2016/3537147. Epub 2016 Sep 22.
8
Risk factors for complications associated with upper gastrointestinal foreign bodies.上消化道异物相关并发症的危险因素。
World J Gastroenterol. 2015 Jul 14;21(26):8125-31. doi: 10.3748/wjg.v21.i26.8125.
9
Basic evaluation on physical properties of experimental fluorinated soft lining materials.实验用含氟软衬材料物理性能的基本评价
Dent Mater J. 2011;30(1):45-51. doi: 10.4012/dmj.2010-084. Epub 2011 Jan 26.
10
Physical properties of a new denture lining material containing a fluoroalkyl methacrylate polymer.一种含有甲基丙烯酸氟代烷基酯聚合物的新型义齿衬里材料的物理性能
J Prosthet Dent. 2006 Jul;96(1):53-8. doi: 10.1016/j.prosdent.2006.05.012.