• 文献检索
  • 文档翻译
  • 深度研究
  • 学术资讯
  • Suppr Zotero 插件Zotero 插件
  • 邀请有礼
  • 套餐&价格
  • 历史记录
应用&插件
Suppr Zotero 插件Zotero 插件浏览器插件Mac 客户端Windows 客户端微信小程序
定价
高级版会员购买积分包购买API积分包
服务
文献检索文档翻译深度研究API 文档MCP 服务
关于我们
关于 Suppr公司介绍联系我们用户协议隐私条款
关注我们

Suppr 超能文献

核心技术专利:CN118964589B侵权必究
粤ICP备2023148730 号-1Suppr @ 2026

文献检索

告别复杂PubMed语法,用中文像聊天一样搜索,搜遍4000万医学文献。AI智能推荐,让科研检索更轻松。

立即免费搜索

文件翻译

保留排版,准确专业,支持PDF/Word/PPT等文件格式,支持 12+语言互译。

免费翻译文档

深度研究

AI帮你快速写综述,25分钟生成高质量综述,智能提取关键信息,辅助科研写作。

立即免费体验

黑斑息肉综合征所致肠套叠

Intussusception Caused by Peutz-Jeghers Syndrome.

作者信息

Sreemantula Harsha S, Joseph Crystal A, Jamal Faraz, Agrawal Shubham, Thirumaran Rajesh

机构信息

Internal Medicine, Mercy Catholic Medical Center, Darby, USA.

Hematology/Oncology, Drexel University College of Medicine, Darby, USA.

出版信息

Cureus. 2022 Apr 3;14(4):e23792. doi: 10.7759/cureus.23792. eCollection 2022 Apr.

DOI:10.7759/cureus.23792
PMID:35530863
原文链接:https://pmc.ncbi.nlm.nih.gov/articles/PMC9067348/
Abstract

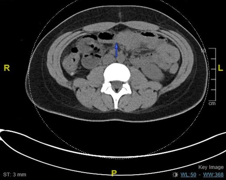
A 20-year-old female patient with a family history significant for Peutz-Jeghers syndrome presented to the hospital multiple times with complaints of abdominal pain. On the initial visit to the hospital, the patient underwent small bowel resection for small bowel obstruction secondary to intussusception, following which she visited the hospital again one year later for similar complaints and underwent reduction of multiple points of intussusception of the small bowel without any resection of the same. Eventually, the patient underwent resection of the small bowel for the second time, along with tumor resections. The importance of follow-up in patients with Peutz-Jeghers is particularly essential, in part, because it is vital to monitor the tumors, their size, and number to prevent surgical intestinal complications, anemia, and also to eventually monitor for carcinomatous changes.

摘要

一名20岁女性患者,有黑斑息肉综合征家族史,多次因腹痛就诊。首次就诊时,患者因肠套叠继发小肠梗阻接受了小肠切除术,一年后因类似症状再次就诊,接受了小肠多处肠套叠复位术,未进行切除。最终,患者再次接受小肠切除术及肿瘤切除术。对黑斑息肉综合征患者进行随访尤为重要,部分原因在于监测肿瘤、其大小和数量对于预防手术肠道并发症、贫血以及最终监测癌变变化至关重要。

https://cdn.ncbi.nlm.nih.gov/pmc/blobs/944b/9067348/412c2d2d126e/cureus-0014-00000023792-i06.jpg
https://cdn.ncbi.nlm.nih.gov/pmc/blobs/944b/9067348/9931d8ca459d/cureus-0014-00000023792-i01.jpg
https://cdn.ncbi.nlm.nih.gov/pmc/blobs/944b/9067348/2fcaf21744de/cureus-0014-00000023792-i02.jpg
https://cdn.ncbi.nlm.nih.gov/pmc/blobs/944b/9067348/0daed284cf29/cureus-0014-00000023792-i03.jpg
https://cdn.ncbi.nlm.nih.gov/pmc/blobs/944b/9067348/06a990e5bb78/cureus-0014-00000023792-i04.jpg
https://cdn.ncbi.nlm.nih.gov/pmc/blobs/944b/9067348/0d8a51de9603/cureus-0014-00000023792-i05.jpg
https://cdn.ncbi.nlm.nih.gov/pmc/blobs/944b/9067348/412c2d2d126e/cureus-0014-00000023792-i06.jpg
https://cdn.ncbi.nlm.nih.gov/pmc/blobs/944b/9067348/9931d8ca459d/cureus-0014-00000023792-i01.jpg
https://cdn.ncbi.nlm.nih.gov/pmc/blobs/944b/9067348/2fcaf21744de/cureus-0014-00000023792-i02.jpg
https://cdn.ncbi.nlm.nih.gov/pmc/blobs/944b/9067348/0daed284cf29/cureus-0014-00000023792-i03.jpg
https://cdn.ncbi.nlm.nih.gov/pmc/blobs/944b/9067348/06a990e5bb78/cureus-0014-00000023792-i04.jpg
https://cdn.ncbi.nlm.nih.gov/pmc/blobs/944b/9067348/0d8a51de9603/cureus-0014-00000023792-i05.jpg
https://cdn.ncbi.nlm.nih.gov/pmc/blobs/944b/9067348/412c2d2d126e/cureus-0014-00000023792-i06.jpg

相似文献

1
Intussusception Caused by Peutz-Jeghers Syndrome.黑斑息肉综合征所致肠套叠
Cureus. 2022 Apr 3;14(4):e23792. doi: 10.7759/cureus.23792. eCollection 2022 Apr.
2
Multidetector Computed Tomography Findings of Acute Abdominal Intussusception Due to Peutz-Jeghers Syndrome.黑斑息肉综合征所致急性腹型肠套叠的多排螺旋计算机断层扫描表现
Cureus. 2021 Jul 15;13(7):e16401. doi: 10.7759/cureus.16401. eCollection 2021 Jul.
3
Extra-ampullary Peutz-Jeghers polyp causing duodenal intussusception leading to biliary obstruction: a case report.引起十二指肠套叠并导致胆道梗阻的壶腹外黑斑息肉病:一例报告
J Med Case Rep. 2016 Jul 15;10:196. doi: 10.1186/s13256-016-0990-8.
4
Complications, treatment, and follow-up of peutz-jeghers syndrome: About 2 case reports.黑斑息肉综合征的并发症、治疗及随访:附2例报告
Int J Surg Case Rep. 2023 Aug;109:108511. doi: 10.1016/j.ijscr.2023.108511. Epub 2023 Jul 19.
5
An unusual presentation revealing Peutz-Jeghers syndrome in adult.成人中揭示黑斑息肉综合征的不寻常表现。
Ann Med Surg (Lond). 2020 Sep 1;58:87-90. doi: 10.1016/j.amsu.2020.08.034. eCollection 2020 Oct.
6
Peutz-Jeghers syndrome in a woman presenting as intussusception: A case report.以肠套叠为表现的女性佩-吉综合征:一例报告
Int J Surg Case Rep. 2021 Feb;79:286-290. doi: 10.1016/j.ijscr.2021.01.053. Epub 2021 Jan 18.
7
Intestinal intussusception and occlusion caused by small bowel polyps in the Peutz-Jeghers syndrome. Management by combined intraoperative enteroscopy and resection through minimal enterostomy: case report.黑斑息肉综合征中小肠息肉引起的肠套叠和肠梗阻。术中联合小肠镜检查及经最小肠造口术切除的治疗:病例报告
Rev Hosp Clin Fac Med Sao Paulo. 2000 Nov-Dec;55(6):219-24. doi: 10.1590/s0041-87812000000600005.
8
[A case of Peutz-Jeghers syndrome with repeated small intestinal intussusception successfully treated by intraoperative endoscopic polypectomy].[一例通过术中内镜下息肉切除术成功治疗的伴有反复小肠套叠的黑斑息肉综合征病例]
Nihon Shokakibyo Gakkai Zasshi. 2013 Jun;110(6):1014-21.
9
Small bowel polyp resection using device-assisted enteroscopy in Peutz-Jeghers Syndrome: Results of a specialised tertiary care centre.使用设备辅助小肠镜对黑斑息肉综合征患者进行小肠息肉切除术:一家专业三级护理中心的结果
United European Gastroenterol J. 2020 Mar;8(2):204-210. doi: 10.1177/2050640619874525. Epub 2019 Sep 10.
10
Side-to-side bowel anastomosis mimicking intussusception in a 2-year-old child with Peutz-Jeghers syndrome.一名患有黑斑息肉综合征的2岁儿童出现类似肠套叠的肠侧侧吻合术。
Radiol Case Rep. 2018 Jun 20;13(4):839-842. doi: 10.1016/j.radcr.2018.05.012. eCollection 2018 Aug.

引用本文的文献

1
Peutz-Jeghers Syndrome Presenting With Iron-Deficiency Anaemia and a Giant Colonic Polyp.以缺铁性贫血和巨大结肠息肉为表现的黑斑息肉综合征
Cureus. 2025 Feb 4;17(2):e78520. doi: 10.7759/cureus.78520. eCollection 2025 Feb.
2
Peutz-Jeghers syndrome: A case series.佩-吉二氏综合征:病例系列
Int J Surg Case Rep. 2024 Sep;122:110117. doi: 10.1016/j.ijscr.2024.110117. Epub 2024 Aug 3.
3
Multiple intussusceptions secondary to Peutz-Jegher's syndrome in an adult male: a case report from Pakistan.一名成年男性因黑斑息肉综合征继发多发肠套叠:来自巴基斯坦的病例报告。

本文引用的文献

1
Intestinal intussusception in Peutz Jeghers syndrome: A case report.黑斑息肉综合征合并肠套叠:一例报告。
Ann Med Surg (Lond). 2020 May 4;54:106-108. doi: 10.1016/j.amsu.2020.04.013. eCollection 2020 Jun.
2
Early screening the small bowel is key to protect Peutz-Jeghers syndrome patients from surgery: a novel mutation c.243delG in STK11 gene.早期筛查小肠是保护 Peutz-Jeghers 综合征患者免受手术的关键:一种新型的 STK11 基因突变 c.243delG。
BMC Gastroenterol. 2019 May 9;19(1):70. doi: 10.1186/s12876-019-0987-z.
3
Peutz-Jeghers syndrome with intermittent upper intestinal obstruction: A case report and review of the literature.
J Surg Case Rep. 2024 Jan 30;2024(1):rjae008. doi: 10.1093/jscr/rjae008. eCollection 2024 Jan.
4
Peutz-Jeghers Syndrome Presenting With Anemia: A Case Report.以贫血为表现的黑斑息肉综合征:一例报告
Cureus. 2022 Jul 1;14(7):e26481. doi: 10.7759/cureus.26481. eCollection 2022 Jul.
5
Peutz-Jeghers syndrome: revisited.黑斑息肉综合征:再探讨。
Autops Case Rep. 2022 May 13;12:e2021384. doi: 10.4322/acr.2021.384. eCollection 2022.
伴有间歇性高位肠梗阻的黑斑息肉综合征:一例病例报告及文献复习
Medicine (Baltimore). 2017 Apr;96(17):e6538. doi: 10.1097/MD.0000000000006538.
4
A novel mutation in the STK11 gene causes heritable Peutz-Jeghers syndrome - a case report.STK11基因中的一种新型突变导致遗传性黑斑息肉综合征——病例报告
BMC Med Genet. 2017 Feb 23;18(1):19. doi: 10.1186/s12881-017-0373-z.
5
High cancer risk and increased mortality in patients with Peutz-Jeghers syndrome.患 Peutz-Jeghers 综合征患者的癌症风险高和死亡率增加。
Gut. 2011 Feb;60(2):141-7. doi: 10.1136/gut.2010.223750.
6
High cancer risk in Peutz-Jeghers syndrome: a systematic review and surveillance recommendations.Peutz-Jeghers 综合征的高癌症风险:系统评价和监测建议。
Am J Gastroenterol. 2010 Jun;105(6):1258-64; author reply 1265. doi: 10.1038/ajg.2009.725. Epub 2010 Jan 5.
7
Peutz-Jeghers Syndrome with multiple genital tract tumors and breast cancer: a case report with a review of literatures.伴有多发生殖道肿瘤和乳腺癌的黑斑息肉综合征:一例病例报告并文献复习
J Korean Med Sci. 2006 Aug;21(4):752-7. doi: 10.3346/jkms.2006.21.4.752.
8
Peutz-Jeghers syndrome. A case report.佩-吉二氏综合征。病例报告。
Acta Dermatovenerol Alp Pannonica Adriat. 2005 Mar;14(1):26-9.
9
Peutz-Jeghers syndrome: case reports and update on diagnosis and treatment.黑斑息肉综合征:病例报告及诊断与治疗的最新进展
Chin J Dig Dis. 2004;5(4):160-4. doi: 10.1111/j.1443-9573.2004.00179.x.
10
Very high risk of cancer in familial Peutz-Jeghers syndrome.家族性黑斑息肉综合征患者患癌风险极高。
Gastroenterology. 2000 Dec;119(6):1447-53. doi: 10.1053/gast.2000.20228.