Suppr超能文献

感染性心内膜炎后主动脉瓣穿孔性尖部动脉瘤表现为完全性心脏传导阻滞:一例病例报告及文献复习

Perforated cuspal aneurysm of aortic valve following infective endocarditis presenting as complete heart block: a case report and review of literature.

作者信息

Kunal Shekhar, Shah Bhushan, Bagarhatta Rajeev, Verma Hemlata

机构信息

Department of Cardiology, ESIC Medical College, Faridabad, Haryana, India.

Department of Cardiology, Rajiv Gandhi Superspeciality Hospital, Delhi, India.

出版信息

Eur Heart J Case Rep. 2022 Apr 27;6(5):ytac183. doi: 10.1093/ehjcr/ytac183. eCollection 2022 May.

Abstract

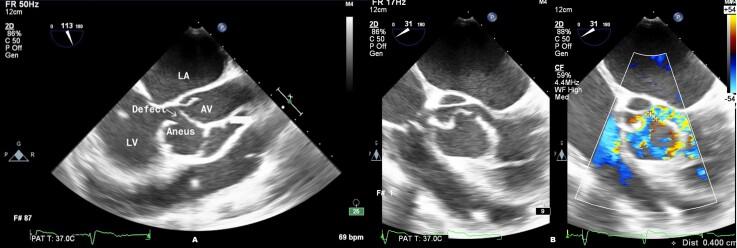
Aortic cuspal aneurysm is a rare clinical entity and often occurs as a complication of infective endocarditis. We report a case of a 30-year-old male with no prior comorbid conditions who presented with fever, acute onset shortness of breath, and chest pain along with multiple episodes of syncope. Electrocardiogram revealed complete heart block while two-dimensional echocardiogram was suggestive of perforated aortic cuspal aneurysm with aortic regurgitation. Blood cultures were positive for . The patient was initiated on broad spectrum antibiotics, temporary pacemaker implantation, and subsequently underwent aortic valve replacement followed by permanent pacemaker implantation after 6 weeks. A diagnosis of perforated aortic cuspal aneurysm subsequent to infective endocarditis was made. This was based on clinical presentation, echocardiographic evaluation, blood cultures, and surgical as well as histopathological findings.

摘要

主动脉瓣叶动脉瘤是一种罕见的临床病症,常作为感染性心内膜炎的并发症出现。我们报告一例30岁男性病例,该患者既往无合并症,表现为发热、急性起病的气短、胸痛以及多次晕厥发作。心电图显示完全性心脏传导阻滞,而二维超声心动图提示主动脉瓣叶动脉瘤穿孔伴主动脉瓣反流。血培养结果为……阳性。患者开始接受广谱抗生素治疗、临时起搏器植入,随后接受主动脉瓣置换术,6周后植入永久起搏器。诊断为感染性心内膜炎继发的主动脉瓣叶动脉瘤穿孔。这一诊断基于临床表现、超声心动图评估、血培养以及手术和组织病理学检查结果。

https://cdn.ncbi.nlm.nih.gov/pmc/blobs/8b12/9081599/f7240f389480/ytac183f1.jpg

文献检索

告别复杂PubMed语法,用中文像聊天一样搜索,搜遍4000万医学文献。AI智能推荐,让科研检索更轻松。

立即免费搜索

文件翻译

保留排版,准确专业,支持PDF/Word/PPT等文件格式,支持 12+语言互译。

免费翻译文档

深度研究

AI帮你快速写综述,25分钟生成高质量综述,智能提取关键信息,辅助科研写作。

立即免费体验