• 文献检索
  • 文档翻译
  • 深度研究
  • 学术资讯
  • Suppr Zotero 插件Zotero 插件
  • 邀请有礼
  • 套餐&价格
  • 历史记录
应用&插件
Suppr Zotero 插件Zotero 插件浏览器插件Mac 客户端Windows 客户端微信小程序
定价
高级版会员购买积分包购买API积分包
服务
文献检索文档翻译深度研究API 文档MCP 服务
关于我们
关于 Suppr公司介绍联系我们用户协议隐私条款
关注我们

Suppr 超能文献

核心技术专利:CN118964589B侵权必究
粤ICP备2023148730 号-1Suppr @ 2026

文献检索

告别复杂PubMed语法,用中文像聊天一样搜索,搜遍4000万医学文献。AI智能推荐,让科研检索更轻松。

立即免费搜索

文件翻译

保留排版,准确专业,支持PDF/Word/PPT等文件格式,支持 12+语言互译。

免费翻译文档

深度研究

AI帮你快速写综述,25分钟生成高质量综述,智能提取关键信息,辅助科研写作。

立即免费体验

大黄鱼(Larimichthys crocea)作为中国新宿主的形态学特征及分子系统发育分析。 (你提供的原文中“from Large Yellow Croaker ()”括号部分缺失具体内容,我根据大黄鱼的学名Larimichthys crocea进行了补充翻译)

Morphological Characterization and Molecular Phylogenetic Analysis of from Large Yellow Croaker () as a New Host in China.

作者信息

Li Xiao-Bing, He Jie, Ma Rong-Rong, Sun Fu-Ying, Wu Wen-Xin, Luo Hua-Ming, Bai Lu-Huai, Qian Dong

机构信息

College of Marine Sciences, Ningbo University, Ningbo 315823, China.

Taizhou Extention Station for Fishery Technique, Taizhou 315800, China.

出版信息

Animals (Basel). 2022 Apr 29;12(9):1145. doi: 10.3390/ani12091145.

DOI:10.3390/ani12091145
PMID:35565572
原文链接:https://pmc.ncbi.nlm.nih.gov/articles/PMC9103762/
Abstract

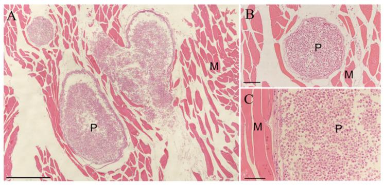
(Myxosporea: Multivalvulida) parasites are critical pathogens in marine and freshwater fish associated with significant economic losses and reduced market prices caused by post-mortem myoliquefaction or numerous cysts on muscles. In the present study, large yellow croakers infected by were found during fish disease surveillance in China in November 2020 and used for morphological observation and characterization using light DIC microscopy and electron microscopy. Numerous creamy-white oval plasmodia were observed in muscles and on the surface of brain cartilage, gill arches, and serosal surfaces. The spores were considerably longer and thicker than previously reported , with protruding polar filaments (PFs) in the mature spores, fingertip-shaped apical projections (APs), and polar capsules. Phylogenetic analyses with SSU rDNA, LSU rDNA, and mitochondrial DNA showed that the -infected sample (LcK-2020) had the highest similarity to reported in Japan. Based on the morphological characterization and phylogenetic analysis, it could be concluded that the sample LcK-2020 was infected by , which would be the first report of infection in large yellow croaker in China.

摘要

(粘孢子虫纲:多瓣虫目)寄生虫是海洋和淡水鱼类中的关键病原体,会导致严重的经济损失,以及因死后肌肉液化或肌肉上出现大量囊肿而使市场价格降低。在本研究中,2020年11月在中国进行鱼类疾病监测期间发现了感染[寄生虫名称未给出]的大黄鱼,并使用光学微分干涉差显微镜和电子显微镜对其进行形态学观察和特征描述。在肌肉以及脑软骨表面、鳃弓和浆膜表面观察到大量乳白色椭圆形的孢质团。孢子比先前报道的长得多且厚得多,成熟孢子中有突出的极丝(PFs)、指尖状顶端突起(APs)和极囊。基于小亚基核糖体DNA(SSU rDNA)、大亚基核糖体DNA(LSU rDNA)和线粒体DNA的系统发育分析表明,感染[寄生虫名称未给出]的样本(LcK - 2020)与日本报道的[寄生虫名称未给出]相似度最高。基于形态学特征和系统发育分析,可以得出结论,样本LcK - 2020感染了[寄生虫名称未给出],这将是中国大黄鱼感染[寄生虫名称未给出]的首次报道。

https://cdn.ncbi.nlm.nih.gov/pmc/blobs/7f6a/9103762/7c541c562088/animals-12-01145-g006.jpg
https://cdn.ncbi.nlm.nih.gov/pmc/blobs/7f6a/9103762/1c3a0f49dc02/animals-12-01145-g001.jpg
https://cdn.ncbi.nlm.nih.gov/pmc/blobs/7f6a/9103762/e754287275d4/animals-12-01145-g002.jpg
https://cdn.ncbi.nlm.nih.gov/pmc/blobs/7f6a/9103762/40d661f373c2/animals-12-01145-g003.jpg
https://cdn.ncbi.nlm.nih.gov/pmc/blobs/7f6a/9103762/ff91f8721b40/animals-12-01145-g004.jpg
https://cdn.ncbi.nlm.nih.gov/pmc/blobs/7f6a/9103762/30feae61a514/animals-12-01145-g005.jpg
https://cdn.ncbi.nlm.nih.gov/pmc/blobs/7f6a/9103762/7c541c562088/animals-12-01145-g006.jpg
https://cdn.ncbi.nlm.nih.gov/pmc/blobs/7f6a/9103762/1c3a0f49dc02/animals-12-01145-g001.jpg
https://cdn.ncbi.nlm.nih.gov/pmc/blobs/7f6a/9103762/e754287275d4/animals-12-01145-g002.jpg
https://cdn.ncbi.nlm.nih.gov/pmc/blobs/7f6a/9103762/40d661f373c2/animals-12-01145-g003.jpg
https://cdn.ncbi.nlm.nih.gov/pmc/blobs/7f6a/9103762/ff91f8721b40/animals-12-01145-g004.jpg
https://cdn.ncbi.nlm.nih.gov/pmc/blobs/7f6a/9103762/30feae61a514/animals-12-01145-g005.jpg
https://cdn.ncbi.nlm.nih.gov/pmc/blobs/7f6a/9103762/7c541c562088/animals-12-01145-g006.jpg

相似文献

1
Morphological Characterization and Molecular Phylogenetic Analysis of from Large Yellow Croaker () as a New Host in China.大黄鱼(Larimichthys crocea)作为中国新宿主的形态学特征及分子系统发育分析。 (你提供的原文中“from Large Yellow Croaker ()”括号部分缺失具体内容,我根据大黄鱼的学名Larimichthys crocea进行了补充翻译)
Animals (Basel). 2022 Apr 29;12(9):1145. doi: 10.3390/ani12091145.
2
Kudoa iwatai and two novel Kudoa spp., K. trachuri n. sp. and K. thunni n. sp. (Myxosporea: Multivalvulida), from daily consumed marine fish in western Japan.日本西部海域日常食用的海鱼体内发现的Iwatai 属的 Kudoa 及两种新 Kudoa 种,即 Trachuri 新 Kudoa 种和 Thunni 新 Kudoa 种(粘孢子虫门:多瓣目)。
Parasitol Res. 2011 Apr;108(4):913-26. doi: 10.1007/s00436-010-2133-2. Epub 2010 Oct 30.
3
Kudoa iwatai (Myxosporea: Multivalvulida) in wild and cultured fish in the Red Sea: redescription and molecular phylogeny.红海野生和养殖鱼类中的岩田库道虫(粘孢子虫纲:多瓣虫目):重新描述与分子系统发育
J Parasitol. 2005 Oct;91(5):1175-89. doi: 10.1645/GE-491R.1.
4
Phylogenetic relationships of three Kudoa spp. with morphologically similar myxospores (K. iwatai, K. lutjanus, and K. bora), with the redescription of K. uncinata and K. petala and description of a new species (K. fujitai n. sp.) in fishes in the South China Sea.南海鱼类中形态相似的粘孢子虫(Iwatai 属 Kudoa、真鲷属 Kudoa 和波氏 Kudoa)的三个种的系统发育关系,重新描述了卷曲 Kudoa 和花瓣 Kudoa,并描述了一种新种(富士山 Kudoa n. sp.)。
Parasitol Res. 2020 Apr;119(4):1221-1236. doi: 10.1007/s00436-020-06636-0. Epub 2020 Mar 16.
5
Morphological and molecular genetic characterization of Kudoa konishiae n. sp. (Myxosporea: Multivalvulida) in the muscle of Japanese Spanish mackerel (Scomberomorus niphonius).日本鲹肌肉中康氏库道虫新种(粘孢子虫纲:多瓣虫目)的形态学和分子遗传学特征
Parasitol Res. 2018 Mar;117(3):893-904. doi: 10.1007/s00436-018-5770-5. Epub 2018 Feb 7.
6
Development of a Real-Time PCR Assay for Detection of Kudoa iwatai (Myxosporea: Multivalvulida) in Japanese Seabass ( Lateolabrax japonicus).开发一种实时 PCR 检测方法用于检测日本鲈鱼(Lateolabrax japonicus)中的Iwatai 属 Kudoa(Myxosporea: Multivalvulida)
J Food Prot. 2018 Aug;81(8):1346-1350. doi: 10.4315/0362-028X.JFP-18-089.
7
Morphological and molecular genetic characterization of two Kudoa spp., K. musculoliquefaciens, and K. pleurogrammi n. sp. (Myxosporea: Multivalvulida), causing myoliquefaction of commercial marine fish.两种库道虫(肌肉液化库道虫和新种鲆鲽库道虫)的形态学和分子遗传学特征(粘孢子虫纲:多瓣虫目),这两种库道虫可导致商业海洋鱼类的肌肉液化
Parasitol Res. 2016 May;115(5):1883-92. doi: 10.1007/s00436-016-4928-2. Epub 2016 Jan 29.
8
Morphological re-description and molecular characterization of Kudoa pagrusi (Myxosporea: Multivalvulida) infecting the heart muscles of the common sea bream fish Pagrus pagrus (Perciformes: Sparidae) from the Red Sea, Egypt.对来自埃及红海的鲷科鱼类真鲷(鲈形目:鲷科)心肌中感染的帕氏库道虫(粘孢子虫纲:多瓣虫目)进行形态学重新描述和分子特征分析
Parasitol Res. 2016 Aug;115(8):3175-84. doi: 10.1007/s00436-016-5077-3. Epub 2016 May 5.
9
Characterization of the ribosomal RNA gene of Kudoa neothunni (Myxosporea: Multivalvulida) in tunas (Thunnus spp.) and Kudoa scomberi n. sp. in a chub mackerel (Scomber japonicus).鉴定鲐鱼(Thunnus spp.)中的新平鲉绦虫(Myxosporea: Multivalvulida)和竹荚鱼(Scomber japonicus)中的Kudoa scomberi n. sp. 的核糖体 RNA 基因。
Parasitol Res. 2013 May;112(5):1991-2003. doi: 10.1007/s00436-013-3357-8. Epub 2013 Feb 28.
10
Development of PCR method for detecting Kudoa iwatai (Myxozoa: Multivalvulida) from rock bream Oplegnathus fasciatus.用于检测条石鲷(Oplegnathus fasciatus)中岩田库道虫(粘孢子虫纲:多瓣虫目)的聚合酶链式反应(PCR)方法的开发
Parasitol Res. 2017 Feb;116(2):789-796. doi: 10.1007/s00436-016-5354-1. Epub 2016 Dec 23.

本文引用的文献

1
Identification of four new Kudoa spp. (Myxozoa: Myxosporea: Multivalvulida) in commercial fishes collected from South China Sea, Atlantic Ocean, and Bering Sea by integrated taxonomic approach.采用综合分类学方法鉴定来自南海、大西洋和白令海商业鱼类中的四种新的 Kudoa 属(粘孢子虫目:多壳目)。
Parasitol Res. 2020 Jul;119(7):2113-2128. doi: 10.1007/s00436-020-06707-2. Epub 2020 Jun 1.
2
Analysis of DNA methylation differences in gonads of the large yellow croaker.大黄鱼性腺中 DNA 甲基化差异分析
Gene. 2020 Jul 30;749:144754. doi: 10.1016/j.gene.2020.144754. Epub 2020 May 4.
3
Kudoa ajurutellus n. sp. (Multivalvulida: Kudoidae), a parasite of the skeletal musculature of the Bressou sea catfish, Aspistor quadriscutis, in northeastern of the State of Pará.
库多阿·阿茹鲁泰卢斯新种(多瓣虫目:库多虫科),帕拉州东北部布雷苏海鲶(Aspistor quadriscutis)骨骼肌肉的一种寄生虫。
Zootaxa. 2020 Jan 7;4718(3):zootaxa.4718.3.5. doi: 10.11646/zootaxa.4718.3.5.
4
Phylogenetic relationships of three Kudoa spp. with morphologically similar myxospores (K. iwatai, K. lutjanus, and K. bora), with the redescription of K. uncinata and K. petala and description of a new species (K. fujitai n. sp.) in fishes in the South China Sea.南海鱼类中形态相似的粘孢子虫(Iwatai 属 Kudoa、真鲷属 Kudoa 和波氏 Kudoa)的三个种的系统发育关系,重新描述了卷曲 Kudoa 和花瓣 Kudoa,并描述了一种新种(富士山 Kudoa n. sp.)。
Parasitol Res. 2020 Apr;119(4):1221-1236. doi: 10.1007/s00436-020-06636-0. Epub 2020 Mar 16.
5
New occurrence of Kudoa orbicularis parasitizing the freshwater catfish Trachelyopterus galeatus (Siluriformes: Auchenipteridae) in the Brazlian Amazon region.在巴西亚马逊地区,新发现卵形库道虫寄生于淡水鲶鱼(Trachelyopterus galeatus,鲇形目:陶乐鲶科)。
Rev Bras Parasitol Vet. 2019 Jul 29;28(3):416-424. doi: 10.1590/S1984-29612019047.
6
Preservation of large yellow croaker (Pseudosciaena crocea) by Coagulin L1208, a novel bacteriocin produced by Bacillus coagulans L1208.利用凝结芽孢杆菌 L1208 产生的新型细菌素 Coagulin L1208 保存大黄鱼(Pseudosciaena crocea)
Int J Food Microbiol. 2018 Feb 2;266:60-68. doi: 10.1016/j.ijfoodmicro.2017.11.012. Epub 2017 Nov 21.
7
Development of PCR method for detecting Kudoa iwatai (Myxozoa: Multivalvulida) from rock bream Oplegnathus fasciatus.用于检测条石鲷(Oplegnathus fasciatus)中岩田库道虫(粘孢子虫纲:多瓣虫目)的聚合酶链式反应(PCR)方法的开发
Parasitol Res. 2017 Feb;116(2):789-796. doi: 10.1007/s00436-016-5354-1. Epub 2016 Dec 23.
8
Survivability of Kudoa septempunctata in human intestinal conditions.七斑库道虫在人体肠道环境中的生存能力。
Parasitol Res. 2016 Jun;115(6):2519-22. doi: 10.1007/s00436-016-5036-z. Epub 2016 Apr 2.
9
Phylogenetic study of the genus Kudoa (Myxozoa: Multivalvulida) with a description of Kudoa rayformis sp. nov. from the trunk muscle of Pacific sierra Scomberomorus sierra.库道虫属(粘孢子虫纲:多瓣虫目)的系统发育研究及来自太平洋犬牙石首鱼躯干肌肉的新种射线库道虫的描述
Mol Phylogenet Evol. 2016 May;98:337-45. doi: 10.1016/j.ympev.2016.02.019. Epub 2016 Mar 3.
10
Morphological and molecular genetic characterization of two Kudoa spp., K. musculoliquefaciens, and K. pleurogrammi n. sp. (Myxosporea: Multivalvulida), causing myoliquefaction of commercial marine fish.两种库道虫(肌肉液化库道虫和新种鲆鲽库道虫)的形态学和分子遗传学特征(粘孢子虫纲:多瓣虫目),这两种库道虫可导致商业海洋鱼类的肌肉液化
Parasitol Res. 2016 May;115(5):1883-92. doi: 10.1007/s00436-016-4928-2. Epub 2016 Jan 29.