• 文献检索
  • 文档翻译
  • 深度研究
  • 学术资讯
  • Suppr Zotero 插件Zotero 插件
  • 邀请有礼
  • 套餐&价格
  • 历史记录
应用&插件
Suppr Zotero 插件Zotero 插件浏览器插件Mac 客户端Windows 客户端微信小程序
定价
高级版会员购买积分包购买API积分包
服务
文献检索文档翻译深度研究API 文档MCP 服务
关于我们
关于 Suppr公司介绍联系我们用户协议隐私条款
关注我们

Suppr 超能文献

核心技术专利:CN118964589B侵权必究
粤ICP备2023148730 号-1Suppr @ 2026

文献检索

告别复杂PubMed语法,用中文像聊天一样搜索,搜遍4000万医学文献。AI智能推荐,让科研检索更轻松。

立即免费搜索

文件翻译

保留排版,准确专业,支持PDF/Word/PPT等文件格式,支持 12+语言互译。

免费翻译文档

深度研究

AI帮你快速写综述,25分钟生成高质量综述,智能提取关键信息,辅助科研写作。

立即免费体验

小肠黏液瘤伴肠梗阻:一例罕见病例报告

Small intestinal myxoma presented with bowel obstruction, a rare case report.

作者信息

Maghbool Maryam, Samizadeh Babak

机构信息

Department of Pathology, Medical School, Fasa University of Medical Sciences, Fasa, Iran.

Department of Pathology, Medical School, Fasa University of Medical Sciences, Fasa, Iran.

出版信息

Int J Surg Case Rep. 2022 Jun;95:107180. doi: 10.1016/j.ijscr.2022.107180. Epub 2022 May 14.

DOI:10.1016/j.ijscr.2022.107180
PMID:35580412
原文链接:https://pmc.ncbi.nlm.nih.gov/articles/PMC9117535/
Abstract

INTRODUCTION

Myxomas are rare benign mesenchymal neoplasms and mostly occur in cardiac atrium and with lower prevalence, appear in sinonasal tract, gnathic bone, skin and joints. Benign primary tumors of the small intestine are quite unusual accounting about 3% of all the gastrointestinal tract neoplasms.

PRESENTATION OF CASE

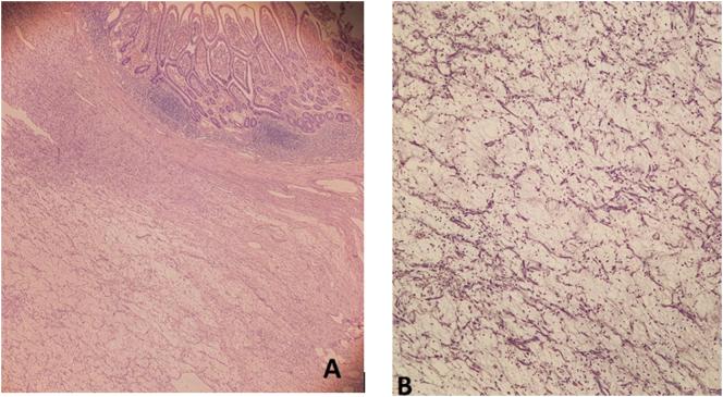
In this report, we present a rare case of small intestinal myxoma in a 43-year-old man complicated by ileoileal intussusception causing bowel obstruction. The patient underwent segmental resection of small bowel and the histopathologic evaluation confirmed the diagnosis of small intestinal myxoma.

DISCUSSION

Among benign primary neoplasms of small bowel, Solitary intestinal myxomas are extremely rare mostly locate in submucosal layer of gastric, small bowel and rarely in cecum. To our knowledge only 9 cases of small bowel myxoma is reported in the literature so far.

CONCLUSION

This case report aware surgeons and pathologists about rare occurrence of intestinal myxomas as a differential diagnosis of intussusception.

摘要

引言

黏液瘤是罕见的良性间叶组织肿瘤,大多发生于心脏心房,较少见的情况下,出现在鼻窦、颌骨、皮肤和关节。小肠原发性良性肿瘤非常少见,约占所有胃肠道肿瘤的3%。

病例介绍

在本报告中,我们呈现了一例罕见的43岁男性小肠黏液瘤病例,该病例并发回肠套叠导致肠梗阻。患者接受了小肠节段性切除术,组织病理学评估确诊为小肠黏液瘤。

讨论

在小肠原发性良性肿瘤中,孤立性小肠黏液瘤极为罕见,大多位于胃、小肠的黏膜下层,很少见于盲肠。据我们所知,迄今为止文献中仅报道了9例小肠黏液瘤病例。

结论

本病例报告提醒外科医生和病理学家注意小肠黏液瘤的罕见情况,它可作为肠套叠的鉴别诊断。

https://cdn.ncbi.nlm.nih.gov/pmc/blobs/9a2d/9117535/631414c7d07f/gr2.jpg
https://cdn.ncbi.nlm.nih.gov/pmc/blobs/9a2d/9117535/91591b457092/gr1.jpg
https://cdn.ncbi.nlm.nih.gov/pmc/blobs/9a2d/9117535/631414c7d07f/gr2.jpg
https://cdn.ncbi.nlm.nih.gov/pmc/blobs/9a2d/9117535/91591b457092/gr1.jpg
https://cdn.ncbi.nlm.nih.gov/pmc/blobs/9a2d/9117535/631414c7d07f/gr2.jpg

相似文献

1
Small intestinal myxoma presented with bowel obstruction, a rare case report.小肠黏液瘤伴肠梗阻:一例罕见病例报告
Int J Surg Case Rep. 2022 Jun;95:107180. doi: 10.1016/j.ijscr.2022.107180. Epub 2022 May 14.
2
Myxoma of the small intestine complicated by ileo-ileal intussusception: Report of an extremely rare case.小肠黏液瘤并发回肠-回肠套叠:1例极罕见病例报告。
Int J Surg Case Rep. 2013;4(7):609-12. doi: 10.1016/j.ijscr.2013.03.035. Epub 2013 Apr 17.
3
Cecal Mucosal Myxoma: The First Report of a New Type of Mesenchymal Colon Polyp.盲肠黏膜黏液瘤:一种新型间质性结肠息肉的首例报告
Int J Surg Pathol. 2019 Sep;27(6):693-696. doi: 10.1177/1066896919843625. Epub 2019 Apr 22.
4
Myxoma complicated acute intestinal obstruction: A rare case with diagnostic challenges.黏液瘤并发急性肠梗阻:一例具有诊断挑战性的罕见病例。
Niger J Clin Pract. 2021 Feb;24(2):292-294. doi: 10.4103/njcp.njcp_676_19.
5
Small bowel angiomyxoma causing intussusception: Case report and review of the literature.引起肠套叠的小肠血管黏液瘤:病例报告及文献复习
Int J Surg Case Rep. 2019;59:197-200. doi: 10.1016/j.ijscr.2019.05.043. Epub 2019 May 31.
6
Ileoileal intussusception secondary to an ileal fibroma.回肠纤维瘤继发回肠套叠。
Case Rep Gastroenterol. 2012 Sep;6(3):734-40. doi: 10.1159/000345806. Epub 2012 Sep 22.
7
Enteric duplication cyst as a leading point for ileoileal intussusception in an adult: A rare cause of complete small intestinal obstruction.成人回肠套叠以肠重复囊肿为起始点:完全性小肠梗阻的罕见病因
World J Gastrointest Surg. 2016 Jun 27;8(6):472-5. doi: 10.4240/wjgs.v8.i6.472.
8
Submucosal Lipoma Causing Small Bowel Intussusception.引起小肠套叠的黏膜下脂肪瘤
Cureus. 2021 Aug 22;13(8):e17367. doi: 10.7759/cureus.17367. eCollection 2021 Aug.
9
Myxoma of the small bowel in a 47-year-old woman with a left atrial myxoma.一名47岁患有左心房黏液瘤的女性的小肠黏液瘤。
Arch Pathol Lab Med. 2003 Apr;127(4):481-4. doi: 10.5858/2003-127-0481-MOTSBI.
10
Management of a small bowel hemangioma causing intussusception in an infant: A rare case report and literature review.婴儿小肠血管瘤致肠套叠的管理:1例罕见病例报告及文献复习
Int J Surg Case Rep. 2024 Sep;122:110108. doi: 10.1016/j.ijscr.2024.110108. Epub 2024 Jul 31.

引用本文的文献

1
Spermatic cord myxoma: A rare case report.精索黏液瘤:一例罕见病例报告。
Medicine (Baltimore). 2024 Nov 29;103(48):e40757. doi: 10.1097/MD.0000000000040757.

本文引用的文献

1
The SCARE 2020 Guideline: Updating Consensus Surgical CAse REport (SCARE) Guidelines.SCARE 2020 指南:更新共识手术病例报告(SCARE)指南。
Int J Surg. 2020 Dec;84:226-230. doi: 10.1016/j.ijsu.2020.10.034. Epub 2020 Nov 9.
2
Small bowel angiomyxoma causing intussusception: Case report and review of the literature.引起肠套叠的小肠血管黏液瘤:病例报告及文献复习
Int J Surg Case Rep. 2019;59:197-200. doi: 10.1016/j.ijscr.2019.05.043. Epub 2019 May 31.
3
Cecal Mucosal Myxoma: The First Report of a New Type of Mesenchymal Colon Polyp.
盲肠黏膜黏液瘤:一种新型间质性结肠息肉的首例报告
Int J Surg Pathol. 2019 Sep;27(6):693-696. doi: 10.1177/1066896919843625. Epub 2019 Apr 22.
4
Toxic association between an intestinal myxoma and a mesenteric lipoma in a child: a case report.一名儿童肠道黏液瘤与肠系膜脂肪瘤之间的毒性关联:病例报告
J Surg Case Rep. 2018 Feb 23;2018(2):rjy007. doi: 10.1093/jscr/rjy007. eCollection 2018 Feb.
5
Myxoma of the small intestine complicated by ileo-ileal intussusception: Report of an extremely rare case.小肠黏液瘤并发回肠-回肠套叠:1例极罕见病例报告。
Int J Surg Case Rep. 2013;4(7):609-12. doi: 10.1016/j.ijscr.2013.03.035. Epub 2013 Apr 17.
6
Myxoma, the tumor of primitive mesenchyme.黏液瘤,一种原始间充质肿瘤。
Ann Surg. 1948 May;127(4):706-19.
7
Segmental myxomata of the small intestine with intussusception.小肠节段性黏液瘤伴肠套叠
Ann Surg. 1956 Aug;144(2):263-70. doi: 10.1097/00000658-195608000-00021.
8
Myxoma of the small bowel in a 47-year-old woman with a left atrial myxoma.一名47岁患有左心房黏液瘤的女性的小肠黏液瘤。
Arch Pathol Lab Med. 2003 Apr;127(4):481-4. doi: 10.5858/2003-127-0481-MOTSBI.
9
Tumors of the small intestine.
World J Surg. 2000 Apr;24(4):421-9. doi: 10.1007/s002689910067.