Suppr超能文献

在矫正脑瘫患者的脊柱侧弯时,有必要与骨盆融合吗?

Is it necessary to fuse to the pelvis when correcting scoliosis in cerebral palsy?

作者信息

Strom Shane F, Hess Matthew C, Jardaly Achraf H, Conklin Michael J, Gilbert Shawn R

机构信息

Department of Orthopaedics, University of Alabama at Birmingham, Birmingham, Al 35294, United States.

Department of Orthopaedics, The Hughston Clinic/Hughston Foundation, Columbus, GA 31908, United States.

出版信息

World J Orthop. 2022 Apr 18;13(4):365-372. doi: 10.5312/wjo.v13.i4.365.

Abstract

BACKGROUND

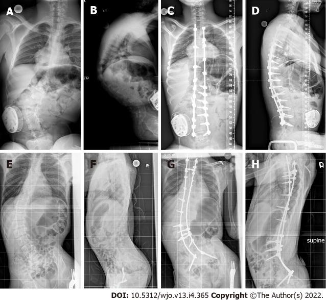
Neuromuscular scoliosis is commonly associated with a large pelvic obliquity. Scoliosis in children with cerebral palsy is most commonly managed with posterior spinal instrumentation and fusion. While consensus is reached regarding the proximal starting point of fusion, controversy exists as to whether the distal level of spinal fusion should include the pelvis to correct the pelvic obliquity.

AIM

To assess the role of pelvic fusion in posterior spinal instrumentation and fusion, particularly it impact on pelvic obliquity correction, and to assess if the rate of complications differed as a function of pelvic fusion.

METHODS

This was a retrospective, cohort study in which we reviewed the medical records of children with cerebral palsy scoliosis treated with posterior instrumentation and fusion at a single institution. Minimum follow-up was six months. Patients were stratified into two groups: Those who were fused to the pelvis and those fused to L4/L5. The major outcomes were complications and radiographic parameters. The former were stratified into major and minor complications, and the latter consisted of preoperative and final Cobb angles, L5-S1 tilt and pelvic obliquity.

RESULTS

The study included 47 patients. The correction of the L5 tilt was 60% in patients fused to the pelvis and 67% in patients fused to L4/L5 ( 0.22). The pelvic obliquity was corrected by 43% and 36% in each group, respectively ( = 0.12). Regarding complications, patients fused to the pelvis had more total complications as compared to the other group (63.0% 30%, respectively, = 0.025). After adjusting for differences in radiographic parameters (lumbar curve, L5 tilt, and pelvic obliquity), these patients had a 79% increased chance of developing complications (Relative risk = 1.79; 95%CI: 1.011-3.41).

CONCLUSION

Including the pelvis in the distal level of fusion for cerebral palsy scoliosis places patients at an increased risk of postoperative complications. The added value that pelvic fusion offers in terms of correcting pelvic obliquity is not clear, as these patients had similar percent correction of their pelvic obliquity and L5 tilt compared to children whose fusion was stopped at L4/L5. Therefore, in a select patient population, spinal fusion can be stopped at the distal lumbar levels without adversely affecting the surgical outcomes.

摘要

背景

神经肌肉型脊柱侧弯通常伴有严重的骨盆倾斜。脑瘫患儿的脊柱侧弯最常用后路脊柱内固定融合术进行治疗。虽然对于融合的近端起始点已达成共识,但对于脊柱融合的远端水平是否应包括骨盆以纠正骨盆倾斜仍存在争议。

目的

评估骨盆融合在脊柱后路内固定融合术中的作用,特别是其对骨盆倾斜矫正的影响,并评估并发症发生率是否因骨盆融合而有所不同。

方法

这是一项回顾性队列研究,我们回顾了在单一机构接受后路内固定融合术治疗的脑瘫性脊柱侧弯患儿的病历。最短随访时间为6个月。患者被分为两组:融合至骨盆的患者和融合至L4/L5的患者。主要结局指标为并发症和影像学参数。前者分为严重并发症和轻微并发症,后者包括术前和最终的Cobb角、L5-S1倾斜度和骨盆倾斜度。

结果

该研究纳入了47例患者。融合至骨盆的患者L5倾斜度矫正率为60%,融合至L4/L5的患者为67%(P=0.22)。每组骨盆倾斜度的矫正率分别为43%和36%(P=0.12)。关于并发症,融合至骨盆的患者总并发症比另一组更多(分别为63.0%和30%,P=0.025)。在调整影像学参数(腰椎曲度、L5倾斜度和骨盆倾斜度)差异后,这些患者发生并发症的几率增加了79%(相对风险=1.79;95%CI:1.011-3.41)。

结论

对于脑瘫性脊柱侧弯,在融合的远端水平纳入骨盆会使患者术后并发症风险增加。骨盆融合在纠正骨盆倾斜方面所提供的附加价值尚不清楚,因为与融合止于L4/L5的患儿相比,这些患者的骨盆倾斜度和L5倾斜度的矫正百分比相似。因此,在特定的患者群体中,脊柱融合可止于远端腰椎水平,而不会对手术效果产生不利影响。

https://cdn.ncbi.nlm.nih.gov/pmc/blobs/1cd5/9048500/ae35351f57ce/WJO-13-365-g001.jpg

文献AI研究员

20分钟写一篇综述,助力文献阅读效率提升50倍。

立即体验

用中文搜PubMed

大模型驱动的PubMed中文搜索引擎

马上搜索

文档翻译

学术文献翻译模型,支持多种主流文档格式。

立即体验