• 文献检索
  • 文档翻译
  • 深度研究
  • 学术资讯
  • Suppr Zotero 插件Zotero 插件
  • 邀请有礼
  • 套餐&价格
  • 历史记录
应用&插件
Suppr Zotero 插件Zotero 插件浏览器插件Mac 客户端Windows 客户端微信小程序
定价
高级版会员购买积分包购买API积分包
服务
文献检索文档翻译深度研究API 文档MCP 服务
关于我们
关于 Suppr公司介绍联系我们用户协议隐私条款
关注我们

Suppr 超能文献

核心技术专利:CN118964589B侵权必究
粤ICP备2023148730 号-1Suppr @ 2026

文献检索

告别复杂PubMed语法,用中文像聊天一样搜索,搜遍4000万医学文献。AI智能推荐,让科研检索更轻松。

立即免费搜索

文件翻译

保留排版,准确专业,支持PDF/Word/PPT等文件格式,支持 12+语言互译。

免费翻译文档

深度研究

AI帮你快速写综述,25分钟生成高质量综述,智能提取关键信息,辅助科研写作。

立即免费体验

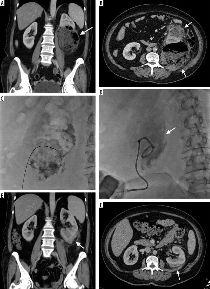
经皮导管引流术治疗腹膜后脓肿:单中心8年经验

Percutaneous catheter drainage in retroperitoneal abscesses: a single centre's 8-year experience.

作者信息

Yildirim Gulsah, Karakas Hakki

机构信息

Department of Radiology, Istanbul Fatih Sultan Mehmet Training and Research Hospital, University of Health Sciences, Istanbul, Turkey.

出版信息

Pol J Radiol. 2022 Apr 29;87:e238-e245. doi: 10.5114/pjr.2022.115815. eCollection 2022.

DOI:10.5114/pjr.2022.115815
PMID:35582601
原文链接:https://pmc.ncbi.nlm.nih.gov/articles/PMC9093211/
Abstract

PURPOSE

We have investigated the technical and clinical success of percutaneous catheter drainage (PCD) in retroperitoneal abscesses and factors that may affect the outcome.

MATERIAL AND METHODS

The study cohort included 45 patients (17 females and 29 males, with mean age of 56.3 years) that were treated between 2012 and 2020. Forty-seven abscesses were managed with PCD under ultrasonography, computed tomography, or fluoroscopy guidance. Patients' demographics, lesion locations, predisposing factors, clini-cal presentation, etiology, radiological findings, technical factors, and outcome parameters were presented using exploratory and descriptive statistics.

RESULTS

Abscesses were located in the psoas ( = 25, 55.3%), renal-perirenal ( = 7, 14.8%), and pararenal ( = 14, 29.7%) compartments. The mean preprocedural volume was 263.3 (30-1310) ml. Pain (abdominal and back) (57.4%) and fever (17%) were the most frequent presenting symptoms. The most common predisposing factors were previous surgery ( = 17, 36.1%) and diabetes mellitus ( = 11, 25.5%). Clinical success was attained in 89.3% of abscesses (definitive treatment 72.3% and partial success 17.0%). There was a statistically significant difference between the iatrogenic and non-iatrogenic groups regarding clinical success ( = 0.031). No mortality was encountered. The complication rate was 6.6% and were all minor. The average rate of recurrence was 10.6%. The mean time to catheter removal was 15.8 ± 13.2 days.

CONCLUSIONS

PCD is a safe and effective procedure in the treatment of retroperitoneal abscesses. Procedure-related mortality, morbidity, and complication rates are low. Underlying etiology is a significant factor affecting the outcome. Nevertheless, PCD may provide definitive treatment in the majority of patients.

摘要

目的

我们研究了经皮导管引流(PCD)治疗腹膜后脓肿的技术成功率和临床成功率以及可能影响治疗结果的因素。

材料与方法

研究队列包括2012年至2020年间接受治疗的45例患者(17例女性和29例男性,平均年龄56.3岁)。在超声、计算机断层扫描或荧光镜引导下,对47个脓肿进行了PCD治疗。使用探索性和描述性统计方法展示患者的人口统计学特征、病变位置、易感因素、临床表现、病因、影像学表现、技术因素和结果参数。

结果

脓肿位于腰大肌(n = 25,55.3%)、肾周(n = 7,14.8%)和肾旁(n = 14,29.7%)间隙。术前平均脓肿体积为263.3(30 - 1310)ml。疼痛(腹部和背部)(57.4%)和发热(17%)是最常见的症状。最常见的易感因素是既往手术(n = 17,36.1%)和糖尿病(n = 11,25.5%)。89.3%的脓肿获得临床成功(根治性治疗72.3%,部分成功17.0%)。医源性组和非医源性组在临床成功率方面存在统计学显著差异(P = 0.031)。未发生死亡病例。并发症发生率为6.6%,均为轻微并发症。平均复发率为10.6%。导管拔除的平均时间为15.8 ± 13.2天。

结论

PCD是治疗腹膜后脓肿的一种安全有效的方法。与手术相关的死亡率、发病率和并发症发生率较低。潜在病因是影响治疗结果的一个重要因素。然而,PCD可能为大多数患者提供根治性治疗。

https://cdn.ncbi.nlm.nih.gov/pmc/blobs/13f4/9093211/91a9806c1d48/PJR-87-46913-g004.jpg
https://cdn.ncbi.nlm.nih.gov/pmc/blobs/13f4/9093211/f78d4d5b7823/PJR-87-46913-g001.jpg
https://cdn.ncbi.nlm.nih.gov/pmc/blobs/13f4/9093211/24ef3f101be7/PJR-87-46913-g002.jpg
https://cdn.ncbi.nlm.nih.gov/pmc/blobs/13f4/9093211/429cdf42a54e/PJR-87-46913-g003.jpg
https://cdn.ncbi.nlm.nih.gov/pmc/blobs/13f4/9093211/91a9806c1d48/PJR-87-46913-g004.jpg
https://cdn.ncbi.nlm.nih.gov/pmc/blobs/13f4/9093211/f78d4d5b7823/PJR-87-46913-g001.jpg
https://cdn.ncbi.nlm.nih.gov/pmc/blobs/13f4/9093211/24ef3f101be7/PJR-87-46913-g002.jpg
https://cdn.ncbi.nlm.nih.gov/pmc/blobs/13f4/9093211/429cdf42a54e/PJR-87-46913-g003.jpg
https://cdn.ncbi.nlm.nih.gov/pmc/blobs/13f4/9093211/91a9806c1d48/PJR-87-46913-g004.jpg

相似文献

1
Percutaneous catheter drainage in retroperitoneal abscesses: a single centre's 8-year experience.经皮导管引流术治疗腹膜后脓肿:单中心8年经验
Pol J Radiol. 2022 Apr 29;87:e238-e245. doi: 10.5114/pjr.2022.115815. eCollection 2022.
2
Percutaneous drainage of retroperitoneal abscesses: variables for success, failure, and recurrence.经皮引流治疗腹膜后脓肿:影响成功、失败和复发的因素。
Diagn Interv Radiol. 2020 Mar;26(2):124-130. doi: 10.5152/dir.2019.19199.
3
Liver Abscesses: Factors That Influence Outcome of Percutaneous Drainage.肝脓肿:影响经皮引流治疗效果的因素。
AJR Am J Roentgenol. 2017 Jul;209(1):205-213. doi: 10.2214/AJR.16.17713. Epub 2017 May 15.
4
Early percutaneous catheter drainage in protecting against prolonged fever among patients with pyogenic liver abscess: a retrospective cohort study.早期经皮经肝胆囊穿刺引流术预防化脓性肝脓肿患者发热时间延长:一项回顾性队列研究。
Ann Med. 2022 Dec;54(1):2269-2277. doi: 10.1080/07853890.2022.2110612.
5
Percutaneous transhepatic drainage of inaccessible postoperative abdominal abscesses.经皮经肝穿刺引流治疗难以触及的术后腹部脓肿。
AJR Am J Roentgenol. 2012 Feb;198(2):477-81. doi: 10.2214/AJR.11.6680.
6
Computed tomography-guided percutaneous catheter drainage of primary and secondary iliopsoas abscesses.计算机断层扫描引导下经皮导管引流原发性和继发性髂腰肌脓肿
Clin Radiol. 2003 Oct;58(10):811-5. doi: 10.1016/s0009-9260(03)00274-5.
7
Computed tomography-guided drainage of mediastinal abscesses: clinical experience with 23 patients.计算机断层扫描引导下的纵隔脓肿引流:23 例患者的临床经验。
J Vasc Interv Radiol. 2011 May;22(5):673-7. doi: 10.1016/j.jvir.2011.01.427. Epub 2011 Mar 25.
8
Image-guided percutaneous treatment of abdominal-pelvic abscesses: a 5-year experience.影像引导下经皮治疗腹盆腔脓肿:5年经验
Radiol Med. 2008 Oct;113(7):999-1007. doi: 10.1007/s11547-008-0320-3. Epub 2008 Sep 13.
9
Pelvic abscess drainage: outcome with factors affecting the clinical success.盆腔脓肿引流:影响临床成功的因素及结果
Diagn Interv Radiol. 2018 May-Jun;24(3):146-152. doi: 10.5152/dir.2018.16500.
10
Percutaneous catheter drainage of tuberculous and nontuberculous psoas abscesses.经皮导管引流术治疗结核性和非结核性腰大肌脓肿
Eur J Radiol. 1996 Sep;23(2):130-4. doi: 10.1016/0720-048x(96)01045-5.

引用本文的文献

1
Elderly Patients Managed Non-Operatively with Abscesses of the Anorectal Region Have Five Times Higher Rate of Mortality Compared to Non-Elderly.与非老年患者相比,接受非手术治疗的肛门直肠区域脓肿的老年患者的死亡率高 5 倍。
Int J Environ Res Public Health. 2023 Apr 4;20(7):5387. doi: 10.3390/ijerph20075387.

本文引用的文献

1
Diagnosis and Treatment of Retroperitoneal Infection.腹膜后感染的诊断与治疗。
Surg Infect (Larchmt). 2021 Jun;22(5):477-484. doi: 10.1089/sur.2020.126. Epub 2020 Nov 3.
2
Percutaneous drainage of retroperitoneal abscesses: variables for success, failure, and recurrence.经皮引流治疗腹膜后脓肿:影响成功、失败和复发的因素。
Diagn Interv Radiol. 2020 Mar;26(2):124-130. doi: 10.5152/dir.2019.19199.
3
Society of Interventional Radiology Quality Improvement Standards for Image-Guided Percutaneous Drainage and Aspiration of Abscesses and Fluid Collections.
介入放射学会影像引导下经皮脓肿及液体积聚引流与抽吸的质量改进标准。
J Vasc Interv Radiol. 2020 Apr;31(4):662-666.e4. doi: 10.1016/j.jvir.2019.12.001. Epub 2020 Feb 13.
4
Cirse Quality Assurance Document and Standards for Classification of Complications: The Cirse Classification System.Cirse并发症分类的质量保证文件和标准:Cirse分类系统。
Cardiovasc Intervent Radiol. 2017 Aug;40(8):1141-1146. doi: 10.1007/s00270-017-1703-4. Epub 2017 Jun 5.
5
Trends in Use of Percutaneous Versus Open Surgical Drainage of Abdominal Abscesses.腹部脓肿经皮引流与开放手术引流的使用趋势
J Am Coll Radiol. 2015 Dec;12(12 Pt A):1247-50. doi: 10.1016/j.jacr.2015.06.015.
6
Iliopsoas abscess: presentation, management, and outcomes.髂腰肌脓肿:临床表现、治疗及预后
Surg Laparosc Endosc Percutan Tech. 2013 Feb;23(1):45-8. doi: 10.1097/SLE.0b013e31826e0ac9.
7
Differences in morbidity and mortality with percutaneous versus open surgical drainage of postoperative intra-abdominal infections: a review of 686 cases.经皮引流与开放性手术引流术后腹腔内感染的发病率和死亡率差异:686例病例回顾
Am Surg. 2011 Jul;77(7):862-7.
8
Management of abdominal and pelvic abscesses that persist despite satisfactory percutaneous drainage catheter placement.尽管经皮引流导管放置满意,但仍持续存在的腹部和盆腔脓肿的处理。
AJR Am J Roentgenol. 2010 Mar;194(3):815-20. doi: 10.2214/AJR.09.3282.
9
Complex abdominal and pelvic abscesses: efficacy of adjunctive tissue-type plasminogen activator for drainage.复杂腹部和盆腔脓肿:辅助使用组织型纤溶酶原激活剂进行引流的疗效
Radiology. 2008 May;247(2):567-73. doi: 10.1148/radiol.2472070761. Epub 2008 Mar 27.
10
[Sonographical diagnosis of pneumoretroperitoneum as a result of retroperitoneal perforation].[超声诊断腹膜后穿孔所致腹膜后积气]
Ultraschall Med. 2007 Dec;28(6):612-21. doi: 10.1055/s-2007-963216. Epub 2007 Aug 16.