Suppr超能文献

一例罕见的同步性乳腺癌和弥漫性大B细胞淋巴瘤多原发恶性肿瘤对多学科治疗有反应的病例报告

A rare case of synchronous multiple primary malignancies of breast cancer and diffuse large B-cell lymphoma that responded to multidisciplinary treatment: a case report.

作者信息

Ueda Yuichi, Makino Yuko, Tochigi Taro, Ota Yoshikazu, Hidaka Hideki, Nakamura Takeshi, Beppu Kiichiro, Ohuchida Jiro, Odate Seiichi, Terasaka Soshi, Nishida Takahiro, Yoshida Masaki, Kimura Ryuichiro, Marutsuka Kousuke, Otomo Naoki

机构信息

Department of Surgery, Miyazaki Prefectural Miyazaki Hospital, 5-30 Kitatakamatsu, Miyazaki, Miyazaki, 880-8510, Japan.

Department of Internal Medicine, Miyazaki Prefectural Miyazaki Hospital, 5-30 Kitatakamatsu, Miyazaki, Miyazaki, 880-8510, Japan.

出版信息

Surg Case Rep. 2022 May 19;8(1):99. doi: 10.1186/s40792-022-01456-z.

Abstract

BACKGROUND

Multiple primary malignancies of breast cancer and diffuse large B-cell lymphoma (DLBCL) are rare. Here, we report a case of advanced breast cancer and DLBCL managed with multidisciplinary therapy preceded by surgery with a successful outcome.

CASE PRESENTATION

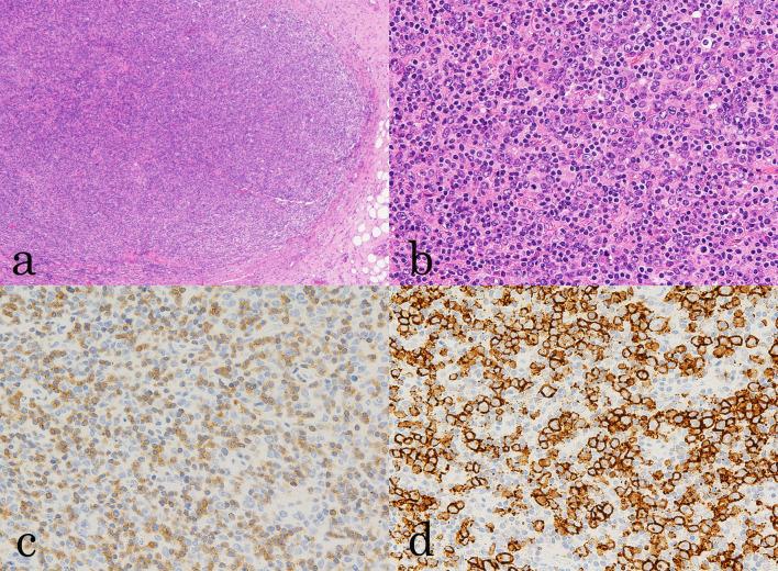
During a medical examination, a 71-year-old woman was diagnosed with a right breast mass, enlarged lymph nodes throughout the body, and a splenic tumor. The results of the clinical examination and imaging were suggestive of widely spread breast cancer with lymph node metastasis and malignant lymphoma with systemic metastasis. The histological evaluation of the biopsied breast tissue revealed human epidermal growth factor receptor 2 (HER2)-positive breast cancer, whereas the histological evaluation of the excised inguinal lymph node revealed DLBCL. F-FDG PET/computed tomography was performed, and it was determined that both breast cancer and DLBCL were in an advanced stage. Thus, mastectomy was performed, and the axillary lymph nodes showed mixed metastasis of breast cancer and DLBCL. Soon after, the R-CHOP therapy was initiated (375-mg/m rituximab, 2-mg/m vincristine, 50-mg/m doxorubicin, 750-mg/m cyclophosphamide, and 125-mg methylprednisolone). After irradiation of the spleen, trastuzumab was administered for 1 year.

CONCLUSIONS

We experienced a case of combined breast cancer and DLBCL, which was difficult to treat because both were in advanced stages. Thorough staging of the malignancy and discussion by a multidisciplinary team are necessary to determine the optimal treatment strategy.

摘要

背景

乳腺癌和弥漫性大B细胞淋巴瘤(DLBCL)的多原发性恶性肿瘤较为罕见。在此,我们报告一例晚期乳腺癌和DLBCL患者,先行手术,随后采用多学科治疗,取得了成功的治疗效果。

病例介绍

在一次体检中,一名71岁女性被诊断出右乳肿块、全身淋巴结肿大及脾脏肿瘤。临床检查和影像学检查结果提示乳腺癌广泛转移伴淋巴结转移,以及恶性淋巴瘤伴全身转移。活检的乳腺组织组织学评估显示为人表皮生长因子受体2(HER2)阳性乳腺癌,而切除的腹股沟淋巴结组织学评估显示为DLBCL。进行了F-FDG PET/计算机断层扫描,确定乳腺癌和DLBCL均处于晚期。因此,实施了乳房切除术,腋窝淋巴结显示为乳腺癌和DLBCL的混合转移。此后不久,开始了R-CHOP治疗(利妥昔单抗375mg/m²、长春新碱2mg/m²、多柔比星50mg/m²、环磷酰胺750mg/m²和甲泼尼龙125mg)。脾脏放疗后,给予曲妥珠单抗治疗1年。

结论

我们遇到了一例合并乳腺癌和DLBCL的病例,由于两者均处于晚期,治疗困难。对恶性肿瘤进行全面分期并由多学科团队进行讨论对于确定最佳治疗策略是必要的。

https://cdn.ncbi.nlm.nih.gov/pmc/blobs/376c/9117581/6a8b692364d7/40792_2022_1456_Fig1_HTML.jpg

文献AI研究员

20分钟写一篇综述,助力文献阅读效率提升50倍。

立即体验

用中文搜PubMed

大模型驱动的PubMed中文搜索引擎

马上搜索

文档翻译

学术文献翻译模型,支持多种主流文档格式。

立即体验