Suppr超能文献

DNA 甲基转移酶 3A(DNMT3A)突变表现为孤立性纯红细胞再生障碍。

DNA Methyl Transferase 3A (DNMT3A) Mutation Presenting as Isolated Pure Red Cell Aplasia.

机构信息

Department of Hematology & Oncology, Marshall University, Huntington, WV, USA.

Internal Medicine, University of Texas Southwestern, Dallas, TX, USA.

出版信息

J Investig Med High Impact Case Rep. 2022 Jan-Dec;10:23247096221097523. doi: 10.1177/23247096221097523.

Abstract

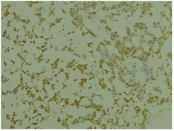
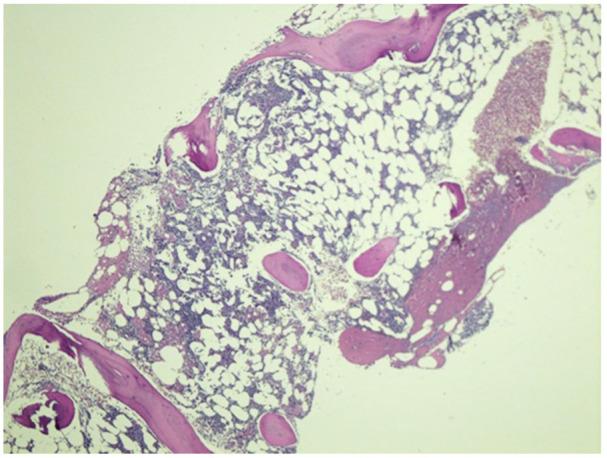
Pure red cell aplasia (PRCA) is a rare disorder mainly affecting the erythroid precursor cells. It presents with severe isolated reticulocytopenia with relatively normal counts in the myeloid and megakaryocytic lineages. It has been attributed to numerous congenital and acquired causes. DNA Methyl Transferase 3 Alpha (DNMT3A) mutation has been typically associated with myeloid and lymphoid malignancies. There is a scarcity of data regarding the association of DNMT3A mutation with PRCA. We report a case of a 73-year-old man who initially presented with anemia and reticulocytopenia. After a thorough evaluation and eventual bone marrow biopsy, he was diagnosed with PRCA. Further genetic testing identified a DNMT3A mutation. We are reporting this rare case to highlight the fact that DNMT3A mutation can also present as isolated PRCA in and of itself without the co-occurrence of leukemia, lymphoma, or myelodysplastic syndrome (MDS).

摘要

纯红细胞再生障碍性贫血(PRCA)是一种罕见的疾病,主要影响红系前体细胞。它表现为严重的孤立性网织红细胞减少,而骨髓和巨核细胞谱系的计数相对正常。它已经归因于许多先天性和后天性的原因。DNA 甲基转移酶 3A(DNMT3A)突变通常与髓系和淋巴恶性肿瘤有关。关于 DNMT3A 突变与 PRCA 的关联的数据很少。我们报告了一例 73 岁男性的病例,他最初表现为贫血和网织红细胞减少。经过彻底的评估和最终的骨髓活检,他被诊断为 PRCA。进一步的基因检测发现了一个 DNMT3A 突变。我们报告这个罕见的病例,以强调一个事实,即 DNMT3A 突变也可以单独表现为孤立性 PRCA,而不伴有白血病、淋巴瘤或骨髓增生异常综合征(MDS)。

https://cdn.ncbi.nlm.nih.gov/pmc/blobs/6268/9125062/8fef27f857a9/10.1177_23247096221097523-fig1.jpg

文献检索

告别复杂PubMed语法,用中文像聊天一样搜索,搜遍4000万医学文献。AI智能推荐,让科研检索更轻松。

立即免费搜索

文件翻译

保留排版,准确专业,支持PDF/Word/PPT等文件格式,支持 12+语言互译。

免费翻译文档

深度研究

AI帮你快速写综述,25分钟生成高质量综述,智能提取关键信息,辅助科研写作。

立即免费体验