Suppr超能文献

绿茶提取物对乐果诱导雄性小鼠生殖毒性的积极影响。

Positive effect of green tea extract on reproductive toxicity induced by dimethoate in male mice.

机构信息

Department of Zoology, Faculty of science, University of Tripoli, Tripoli, Libya.

Biotechnology Center, Tripoli, Libya.

出版信息

Open Vet J. 2022 Mar-Apr;12(2):165-170. doi: 10.5455/OVJ.2022.v12.i2.2. Epub 2022 Mar 3.

Abstract

BACKGROUND

Dimethoate (DM) is one of the most organophosphorus pesticides used all over the world to control insect pests, the extensive use of this insecticide causes a health hazard to animals and humans.

AIM

This study was conducted to evaluate the positive effect of green tea extract on sperm quality and testicular cytoarchitecture in male mice treated with DM and on its reproductive performance.

METHODS

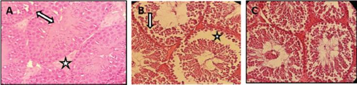
Mice were divided into three groups, each group contained nine mice, the first group (control) was given distilled water only, the second group received DM at a dose (0.1 ml DM/100 ml distilled water) while the third group was given DM at a dose (0.1 ml DM/ 100 ml distilled water) and the green tea extract at a dose (100 mg/kg). After 20 days of the treatment, six mice from each group were killed, sperm quality (sperm count, morphology motility) and histopathological lesions of testis were evaluated.

RESULTS

The results showed that DM significantly affected sperm quality a decrease in sperm motility and an increase in abnormal sperm morphology and caused marked alterations in the microstructures of testicular tissues. When treated males were mated with untreated females, a decline in the number of live embryos was found, while the green tea extract revealed an effective role by reducing those negative influences.

CONCLUSION

This study revealed that DM has detrimental effects on sperm quality, testicular tissues, and the embryos, while treatment with green tea revealed a positive role in improving those negative influences of DM without causing any harmful side effects.

摘要

背景

乐果(DM)是世界范围内广泛用于防治虫害的最常用有机磷杀虫剂之一,这种杀虫剂的大量使用对动物和人类的健康造成了危害。

目的

本研究旨在评估绿茶提取物对雄性小鼠 DM 处理后的精子质量和睾丸细胞结构的积极影响及其对生殖性能的影响。

方法

将小鼠分为三组,每组 9 只,第一组(对照组)仅给予蒸馏水,第二组给予剂量为 0.1ml DM/100ml 蒸馏水的 DM,第三组给予剂量为 0.1ml DM/100ml 蒸馏水的 DM 和剂量为 100mg/kg 的绿茶提取物。治疗 20 天后,每组处死 6 只小鼠,评估精子质量(精子计数、形态、运动)和睾丸组织的组织病理学损伤。

结果

结果表明,DM 显著影响精子质量,降低精子活力,增加精子形态异常,并导致睾丸组织微观结构发生明显改变。当用 DM 处理过的雄性与未经处理的雌性交配时,发现活胚胎数量减少,而绿茶提取物通过减少这些负面影响显示出有效的作用。

结论

本研究表明,DM 对精子质量、睾丸组织和胚胎有不良影响,而绿茶提取物的治疗则显示出改善 DM 这些负面影响的积极作用,而没有造成任何有害的副作用。

https://cdn.ncbi.nlm.nih.gov/pmc/blobs/ebe0/9109838/4090c69579f2/OpenVetJ-12-165-g001.jpg

文献AI研究员

20分钟写一篇综述,助力文献阅读效率提升50倍。

立即体验

用中文搜PubMed

大模型驱动的PubMed中文搜索引擎

马上搜索

文档翻译

学术文献翻译模型,支持多种主流文档格式。

立即体验