Suppr超能文献

原发性胸膜外平滑肌瘤:病例报告及文献复习。

Primary Extra-Pleura Leiomyoma: A Case Report and Literature Review.

机构信息

Department of Pathology, Augusta University, Augusta, GA 30912, USA.

Medical College of Georgia, Augusta, GA 30912, USA.

出版信息

Curr Oncol. 2022 Apr 20;29(5):2935-2940. doi: 10.3390/curroncol29050240.

Abstract

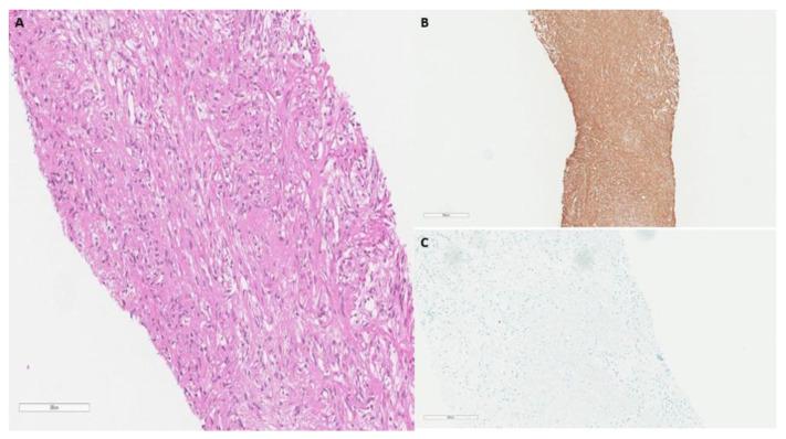
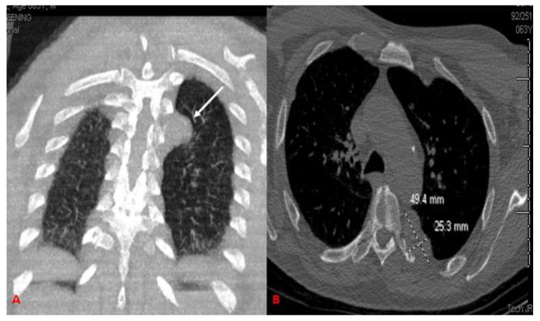
Leiomyomas are a common type of benign soft tissue tumor arising from smooth muscle, most often occurring within females' genitourinary and gastrointestinal tract. However, primary leiomyomas of the chest wall residing in the extra-pleural space are an extremely rare subset of leiomyomatous lesion presentation. We present a case of a fifty-two-year-old male who initially presented complaining of dyspnea worsening with exertion. Computed tomography imaging was performed showing an extra-pleural mass residing under the left sixth rib. Subsequent core needle biopsy and immunohistochemical staining were performed, and the definitive diagnosis of primary leiomyoma of the posterior mediastinal chest wall. Although extremely rare, this neoplastic condition should be included in your differential diagnosis when diagnostic imaging reveals a benign mass residing in the extra-pleural space, and subsequent biopsy specimens consist of smooth muscle fibers.

摘要

平滑肌瘤是一种常见的良性软组织肿瘤,来源于平滑肌,最常发生于女性的泌尿生殖系统和胃肠道。然而,位于胸膜外的胸壁原发性平滑肌瘤是平滑肌瘤病变的一个极其罕见的亚型。我们报告了一例 52 岁男性患者,最初表现为进行性加重的呼吸困难。行计算机断层扫描成像显示位于左第六肋骨下的胸膜外肿块。随后进行了芯针活检和免疫组织化学染色,明确诊断为胸后壁后纵隔原发性平滑肌瘤。尽管极其罕见,但当诊断性影像学显示位于胸膜外的良性肿块且活检标本包含平滑肌纤维时,应将这种肿瘤性病变纳入鉴别诊断。

https://cdn.ncbi.nlm.nih.gov/pmc/blobs/8881/9139586/fa5c372f8288/curroncol-29-00240-g001.jpg

文献AI研究员

20分钟写一篇综述,助力文献阅读效率提升50倍。

立即体验

用中文搜PubMed

大模型驱动的PubMed中文搜索引擎

马上搜索

文档翻译

学术文献翻译模型,支持多种主流文档格式。

立即体验