• 文献检索
  • 文档翻译
  • 深度研究
  • 学术资讯
  • Suppr Zotero 插件Zotero 插件
  • 邀请有礼
  • 套餐&价格
  • 历史记录
应用&插件
Suppr Zotero 插件Zotero 插件浏览器插件Mac 客户端Windows 客户端微信小程序
定价
高级版会员购买积分包购买API积分包
服务
文献检索文档翻译深度研究API 文档MCP 服务
关于我们
关于 Suppr公司介绍联系我们用户协议隐私条款
关注我们

Suppr 超能文献

核心技术专利:CN118964589B侵权必究
粤ICP备2023148730 号-1Suppr @ 2026

文献检索

告别复杂PubMed语法,用中文像聊天一样搜索,搜遍4000万医学文献。AI智能推荐,让科研检索更轻松。

立即免费搜索

文件翻译

保留排版,准确专业,支持PDF/Word/PPT等文件格式,支持 12+语言互译。

免费翻译文档

深度研究

AI帮你快速写综述,25分钟生成高质量综述,智能提取关键信息,辅助科研写作。

立即免费体验

益生菌组合对雪貂感染新型冠状病毒以及对人类免疫细胞反应的影响

The effect of the probiotic consortia on SARS-CoV-2 infection in ferrets and on human immune cell response .

作者信息

Lehtinen Markus J, Kumar Ritesh, Zabel Bryan, Mäkelä Sanna M, Nedveck Derek, Tang Peipei, Latvala Sinikka, Guery Sebastien, Budinoff Charles R

机构信息

Health & Biosciences, IFF, Kantvik 02460, Finland.

Health & Biosciences, IFF, Wilmington, DE 19803, USA.

出版信息

iScience. 2022 Jun 17;25(6):104445. doi: 10.1016/j.isci.2022.104445. Epub 2022 May 23.

DOI:10.1016/j.isci.2022.104445
PMID:35634575
原文链接:https://pmc.ncbi.nlm.nih.gov/articles/PMC9125999/
Abstract

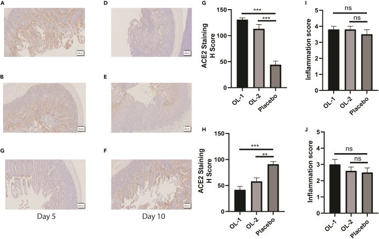
Probiotics have been suggested as one solution to counter detrimental health effects by SARS-CoV-2; however, data so far is scarce. We tested the effect of two probiotic consortia, OL-1 and OL-2, against SARS-CoV-2 in ferrets and assessed their effect on cytokine production and transcriptome in a human monocyte-derived macrophage (Mf) and dendritic cell (DC) model. The results showed that the consortia significantly reduced the viral load, modulated immune response, and regulated viral receptor expression in ferrets compared to placebo. In the human Mf and DC model, OL-1 and OL-2-induced cytokine production and genes related to SARS-CoV-2 antiviral immunity. The study results indicate that probiotic stimulation of the ferret immune system leads to improved antiviral immunity against SARS-COV-2, and the genes and cytokines associated with anti-SARS-CoV-2 immunity are stimulated in human immune cells . The effect of the consortia against SARS-CoV-2 warrants further investigations in human clinical trials.

摘要

益生菌已被提议作为应对严重急性呼吸综合征冠状病毒2(SARS-CoV-2)对健康产生有害影响的一种解决方案;然而,目前的数据很少。我们在雪貂中测试了两种益生菌组合OL-1和OL-2对SARS-CoV-2的作用,并在人单核细胞衍生巨噬细胞(Mf)和树突状细胞(DC)模型中评估了它们对细胞因子产生和转录组的影响。结果表明,与安慰剂相比,这些组合显著降低了雪貂的病毒载量,调节了免疫反应,并调节了病毒受体表达。在人Mf和DC模型中,OL-1和OL-2诱导了与SARS-CoV-2抗病毒免疫相关的细胞因子产生和基因表达。研究结果表明,益生菌刺激雪貂免疫系统可提高对SARS-CoV-2的抗病毒免疫力,并且在人类免疫细胞中与抗SARS-CoV-2免疫相关的基因和细胞因子受到刺激。这些组合对SARS-CoV-2的作用值得在人类临床试验中进一步研究。

https://cdn.ncbi.nlm.nih.gov/pmc/blobs/4967/9189133/7e6d38a95b7c/gr8.jpg
https://cdn.ncbi.nlm.nih.gov/pmc/blobs/4967/9189133/ed582842db12/fx1.jpg
https://cdn.ncbi.nlm.nih.gov/pmc/blobs/4967/9189133/7d4995cb3240/gr1.jpg
https://cdn.ncbi.nlm.nih.gov/pmc/blobs/4967/9189133/3c3bd2a95c47/gr2.jpg
https://cdn.ncbi.nlm.nih.gov/pmc/blobs/4967/9189133/f608cbf27a22/gr3.jpg
https://cdn.ncbi.nlm.nih.gov/pmc/blobs/4967/9189133/18e7fdbc711d/gr4.jpg
https://cdn.ncbi.nlm.nih.gov/pmc/blobs/4967/9189133/36b083cb84aa/gr5.jpg
https://cdn.ncbi.nlm.nih.gov/pmc/blobs/4967/9189133/d1201a4038a2/gr6.jpg
https://cdn.ncbi.nlm.nih.gov/pmc/blobs/4967/9189133/afa75f951c01/gr7.jpg
https://cdn.ncbi.nlm.nih.gov/pmc/blobs/4967/9189133/7e6d38a95b7c/gr8.jpg
https://cdn.ncbi.nlm.nih.gov/pmc/blobs/4967/9189133/ed582842db12/fx1.jpg
https://cdn.ncbi.nlm.nih.gov/pmc/blobs/4967/9189133/7d4995cb3240/gr1.jpg
https://cdn.ncbi.nlm.nih.gov/pmc/blobs/4967/9189133/3c3bd2a95c47/gr2.jpg
https://cdn.ncbi.nlm.nih.gov/pmc/blobs/4967/9189133/f608cbf27a22/gr3.jpg
https://cdn.ncbi.nlm.nih.gov/pmc/blobs/4967/9189133/18e7fdbc711d/gr4.jpg
https://cdn.ncbi.nlm.nih.gov/pmc/blobs/4967/9189133/36b083cb84aa/gr5.jpg
https://cdn.ncbi.nlm.nih.gov/pmc/blobs/4967/9189133/d1201a4038a2/gr6.jpg
https://cdn.ncbi.nlm.nih.gov/pmc/blobs/4967/9189133/afa75f951c01/gr7.jpg
https://cdn.ncbi.nlm.nih.gov/pmc/blobs/4967/9189133/7e6d38a95b7c/gr8.jpg

相似文献

1
The effect of the probiotic consortia on SARS-CoV-2 infection in ferrets and on human immune cell response .益生菌组合对雪貂感染新型冠状病毒以及对人类免疫细胞反应的影响
iScience. 2022 Jun 17;25(6):104445. doi: 10.1016/j.isci.2022.104445. Epub 2022 May 23.
2
Antiviral effects of human placenta hydrolysate (Laennec) against SARS-CoV-2 in vitro and in the ferret model.人胎盘水解物(Laennec)对严重急性呼吸综合征冠状病毒2(SARS-CoV-2)的体外及雪貂模型抗病毒作用
J Microbiol. 2021 Nov;59(11):1056-1062. doi: 10.1007/s12275-021-1367-2. Epub 2021 Oct 6.
3
Human surfactant protein D facilitates SARS-CoV-2 pseudotype binding and entry in DC-SIGN expressing cells, and downregulates spike protein induced inflammation.人表面活性剂蛋白 D 促进 SARS-CoV-2 假型结合和进入表达 DC-SIGN 的细胞,并下调刺突蛋白诱导的炎症。
Front Immunol. 2022 Jul 28;13:960733. doi: 10.3389/fimmu.2022.960733. eCollection 2022.
4
Age-Related Susceptibility of Ferrets to SARS-CoV-2 Infection.年龄相关的雪貂对 SARS-CoV-2 感染的易感性。
J Virol. 2022 Feb 9;96(3):e0145521. doi: 10.1128/JVI.01455-21. Epub 2021 Nov 24.
5
A Network-Based Analysis Reveals the Mechanism Underlying Vitamin D in Suppressing Cytokine Storm and Virus in SARS-CoV-2 Infection.基于网络的分析揭示了维生素 D 抑制 SARS-CoV-2 感染中细胞因子风暴和病毒的机制。
Front Immunol. 2020 Dec 9;11:590459. doi: 10.3389/fimmu.2020.590459. eCollection 2020.
6
Characterisation and natural progression of SARS-CoV-2 infection in ferrets.雪貂中严重急性呼吸综合征冠状病毒 2 型感染的特征及自然进程。
Sci Rep. 2022 Apr 5;12(1):5680. doi: 10.1038/s41598-022-08431-6.
7
SARS-CoV-2 infection activates a subset of intrinsic pathways to inhibit type I interferons and .SARS-CoV-2 感染会激活一部分内在途径来抑制 I 型干扰素和 。
Int J Med Sci. 2021 Apr 28;18(12):2561-2569. doi: 10.7150/ijms.56630. eCollection 2021.
8
Chemokine up-regulation in SARS-coronavirus-infected, monocyte-derived human dendritic cells.严重急性呼吸综合征冠状病毒感染的人单核细胞来源树突状细胞中趋化因子的上调
Blood. 2005 Oct 1;106(7):2366-74. doi: 10.1182/blood-2004-10-4166. Epub 2005 Apr 28.
9
SARS-CoV-2 Isolates Show Impaired Replication in Human Immune Cells but Differential Ability to Replicate and Induce Innate Immunity in Lung Epithelial Cells.SARS-CoV-2 分离株在人免疫细胞中的复制能力受损,但在肺上皮细胞中的复制能力和诱导先天免疫能力存在差异。
Microbiol Spectr. 2021 Sep 3;9(1):e0077421. doi: 10.1128/Spectrum.00774-21. Epub 2021 Aug 11.
10
Severe acute respiratory syndrome and the innate immune responses: modulation of effector cell function without productive infection.严重急性呼吸综合征与天然免疫反应:效应细胞功能的调节而非有活性的感染
J Immunol. 2005 Jun 15;174(12):7977-85. doi: 10.4049/jimmunol.174.12.7977.

引用本文的文献

1
The effect of probiotic Bl-04 on innate antiviral responses .益生菌Bl-04对先天性抗病毒反应的影响
Heliyon. 2024 Apr 15;10(8):e29588. doi: 10.1016/j.heliyon.2024.e29588. eCollection 2024 Apr 30.
2
The Effect of subsp. Bl-04 on Influenza A Virus Infection in Mice.亚种Bl-04对小鼠甲型流感病毒感染的影响。
Microorganisms. 2023 Oct 17;11(10):2582. doi: 10.3390/microorganisms11102582.
3
Gut as an Alternative Entry Route for SARS-CoV-2: Current Evidence and Uncertainties of Productive Enteric Infection in COVID-19.

本文引用的文献

1
SARS-CoV-2 exacerbates proinflammatory responses in myeloid cells through C-type lectin receptors and Tweety family member 2.SARS-CoV-2 通过 C 型凝集素受体和 Tweety 家族成员 2 加剧髓样细胞的促炎反应。
Immunity. 2021 Jun 8;54(6):1304-1319.e9. doi: 10.1016/j.immuni.2021.05.006. Epub 2021 May 9.
2
The furin cleavage site in the SARS-CoV-2 spike protein is required for transmission in ferrets.SARS-CoV-2 刺突蛋白中的弗林裂解位点是在雪貂中传播所必需的。
Nat Microbiol. 2021 Jul;6(7):899-909. doi: 10.1038/s41564-021-00908-w. Epub 2021 Apr 27.
3
Human Nasal and Lung Tissues Infected with SARS-CoV-2 Provide Insights into Differential Tissue-Specific and Virus-Specific Innate Immune Responses in the Upper and Lower Respiratory Tract.
肠道作为严重急性呼吸综合征冠状病毒2(SARS-CoV-2)的另一条进入途径:2019冠状病毒病(COVID-19)中肠道感染的现有证据及不确定性
J Clin Med. 2022 Sep 26;11(19):5691. doi: 10.3390/jcm11195691.
人鼻腔和肺部组织感染 SARS-CoV-2 提供了在上呼吸道和下呼吸道中不同组织特异性和病毒特异性先天免疫反应的见解。
J Virol. 2021 Jun 24;95(14):e0013021. doi: 10.1128/JVI.00130-21.
4
Modulation of gut microbiota protects against viral respiratory tract infections: a systematic review of animal and clinical studies.调节肠道微生物群可预防呼吸道病毒感染:动物和临床研究的系统评价。
Eur J Nutr. 2021 Dec;60(8):4151-4174. doi: 10.1007/s00394-021-02519-x. Epub 2021 Apr 14.
5
An overview of preclinical animal models for SARS-CoV-2 pathogenicity.SARS-CoV-2 致病性的临床前动物模型概述。
Indian J Med Res. 2021;153(1 & 2):17-25. doi: 10.4103/ijmr.IJMR_3215_20.
6
COVID-19 and the human innate immune system.新型冠状病毒肺炎与人类固有免疫系统。
Cell. 2021 Apr 1;184(7):1671-1692. doi: 10.1016/j.cell.2021.02.029. Epub 2021 Feb 16.
7
Viral Infections, the Microbiome, and Probiotics.病毒感染、微生物组和益生菌。
Front Cell Infect Microbiol. 2021 Feb 12;10:596166. doi: 10.3389/fcimb.2020.596166. eCollection 2020.
8
Potential intestinal infection and faecal-oral transmission of SARS-CoV-2.新冠病毒可能存在肠道感染和粪-口传播途径。
Nat Rev Gastroenterol Hepatol. 2021 Apr;18(4):269-283. doi: 10.1038/s41575-021-00416-6. Epub 2021 Feb 15.
9
Leveraging the antiviral type I interferon system as a first line of defense against SARS-CoV-2 pathogenicity.利用抗病毒I型干扰素系统作为抵御新冠病毒致病性的第一道防线。
Immunity. 2021 Mar 9;54(3):557-570.e5. doi: 10.1016/j.immuni.2021.01.017. Epub 2021 Jan 29.
10
Could Perturbation of Gut Microbiota Possibly Exacerbate the Severity of COVID-19 Cytokine Storm?肠道微生物群的扰动是否可能加剧 COVID-19 细胞因子风暴的严重程度?
Front Immunol. 2021 Jan 25;11:607734. doi: 10.3389/fimmu.2020.607734. eCollection 2020.