Suppr超能文献

PD-L1 阳性宫颈癌的皮肤转移

Cutaneous metastasis of PD-L1 positive cervical carcinoma.

作者信息

Liu Chrissy, Zhou Nancy, Levitan Daniel, Coca Guzman Juan, Fehniger Julia

机构信息

State University of New York (SUNY) Downstate Health Sciences University, Department of Obstetrics and Gynecology, Brooklyn, NY, United States.

State University of New York (SUNY) Downstate Health Sciences University, Division of Gynecologic Oncology, Brooklyn, NY, United States.

出版信息

Gynecol Oncol Rep. 2022 May 18;41:101003. doi: 10.1016/j.gore.2022.101003. eCollection 2022 Jun.

Abstract

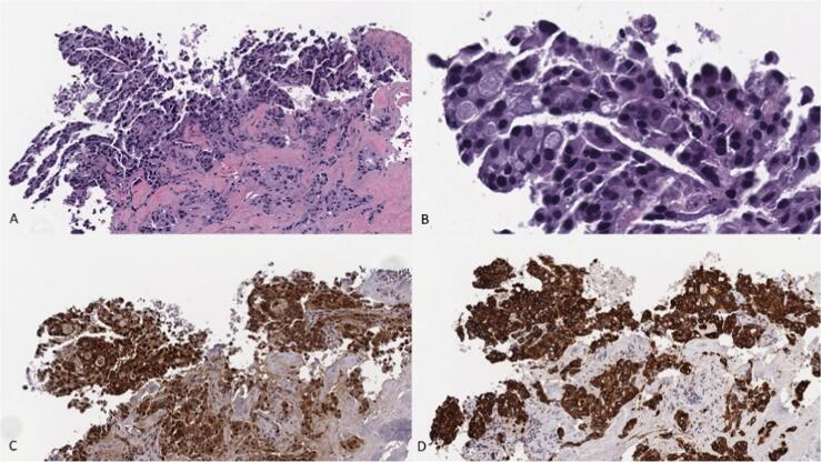
•Cutaneous metastases in cervical cancer are rare and associated with a poor prognosis.•Treatment is typically palliative, utilizing chemotherapy and radiation.•We report a case of PD-L1 positive cervical cancer with cutaneous metastases that developed after initial recurrence.•For patients on checkpoint inhibitor therapy who develop skin toxicity, it is important to rule out cutaneous metastases.

摘要

•宫颈癌的皮肤转移罕见,且预后不良。

•治疗通常是姑息性的,采用化疗和放疗。

•我们报告一例初始复发后发生皮肤转移的PD-L1阳性宫颈癌病例。

•对于接受检查点抑制剂治疗且出现皮肤毒性的患者,排除皮肤转移很重要。

https://cdn.ncbi.nlm.nih.gov/pmc/blobs/4430/9142653/27cef7e09c4b/gr1.jpg

相似文献

1
Cutaneous metastasis of PD-L1 positive cervical carcinoma.
Gynecol Oncol Rep. 2022 May 18;41:101003. doi: 10.1016/j.gore.2022.101003. eCollection 2022 Jun.
2
PD-L1, PARP1, and MMRs as potential therapeutic biomarkers for neuroendocrine cervical cancer.
Cancer Med. 2021 Jul;10(14):4743-4751. doi: 10.1002/cam4.4034. Epub 2021 Jun 2.
3
Cutaneous metastatic disease in cervical cancer: a case report.
J Obstet Gynaecol Can. 2010 May;32(5):467-472. doi: 10.1016/S1701-2163(16)34501-7.
7
PD-L1 Expression is Increased in Metastasizing Squamous Cell Carcinomas and Their Metastases.
Am J Dermatopathol. 2018 Sep;40(9):647-654. doi: 10.1097/DAD.0000000000001164.
9
Significant association of increased PD-L1 and PD-1 expression with nodal metastasis and a poor prognosis in oral squamous cell carcinoma.
Int J Oral Maxillofac Surg. 2018 Jul;47(7):836-845. doi: 10.1016/j.ijom.2018.01.004. Epub 2018 Feb 1.

引用本文的文献

1
Case report: Cutaneous metastasis of squamous cervical carcinoma: complete regression after molecular diagnosis.
Front Immunol. 2025 Jan 20;15:1528957. doi: 10.3389/fimmu.2024.1528957. eCollection 2024.

本文引用的文献

1
Management of Immune-Related Adverse Events in Patients Treated With Immune Checkpoint Inhibitor Therapy: ASCO Guideline Update.
J Clin Oncol. 2021 Dec 20;39(36):4073-4126. doi: 10.1200/JCO.21.01440. Epub 2021 Nov 1.
2
Pembrolizumab for Persistent, Recurrent, or Metastatic Cervical Cancer.
N Engl J Med. 2021 Nov 11;385(20):1856-1867. doi: 10.1056/NEJMoa2112435. Epub 2021 Sep 18.
4
PD-L1 and PD-L2 Expression in Cervical Cancer: Regulation and Biomarker Potential.
Front Immunol. 2020 Dec 17;11:596825. doi: 10.3389/fimmu.2020.596825. eCollection 2020.
5
High-Risk HPV Oncoproteins and PD-1/PD-L1 Interplay in Human Cervical Cancer: Recent Evidence and Future Directions.
Front Oncol. 2020 Jun 30;10:914. doi: 10.3389/fonc.2020.00914. eCollection 2020.
6
7
Immune checkpoint inhibitor-related dermatologic adverse events.
J Am Acad Dermatol. 2020 Nov;83(5):1255-1268. doi: 10.1016/j.jaad.2020.03.132. Epub 2020 May 23.
8
Skin metastasis from squamous cell carcinoma of the cervix to the lower extremities: Case report and review of the literature.
J Family Med Prim Care. 2019 Oct 31;8(10):3443-3446. doi: 10.4103/jfmpc.jfmpc_541_19. eCollection 2019 Oct.
9
Efficacy and Safety of Pembrolizumab in Previously Treated Advanced Cervical Cancer: Results From the Phase II KEYNOTE-158 Study.
J Clin Oncol. 2019 Jun 10;37(17):1470-1478. doi: 10.1200/JCO.18.01265. Epub 2019 Apr 3.
10
Cutaneous metastasis in cancer of the uterine cervix: A case report and review of the literature.
J Turk Ger Gynecol Assoc. 2013 Jul 10;14(3):174-7. doi: 10.5152/jtgga.2013.62444. eCollection 2013.

文献AI研究员

20分钟写一篇综述,助力文献阅读效率提升50倍。

立即体验

用中文搜PubMed

大模型驱动的PubMed中文搜索引擎

马上搜索

文档翻译

学术文献翻译模型,支持多种主流文档格式。

立即体验