Suppr超能文献

特发性胸膜肺实质纤维弹性组织增生症

Idiopathic Pleuroparenchymal Fibroelastosis.

作者信息

Tavakolian Kameron, Udongwo Ndausung, Douedi Steven, Odak Mihir, Ilagan Justin, Khan Taimoor, Salam Noor, Chaughtai Saira, Asif Arif

机构信息

Department of Medicine, Jersey Shore University Medical Center, Neptune City, NJ, USA.

Department of Pulmonary and Critical Care, Jersey Shore University Medical Center, Neptune City, NJ, USA.

出版信息

J Med Cases. 2022 May;13(5):235-239. doi: 10.14740/jmc3927. Epub 2022 May 7.

Abstract

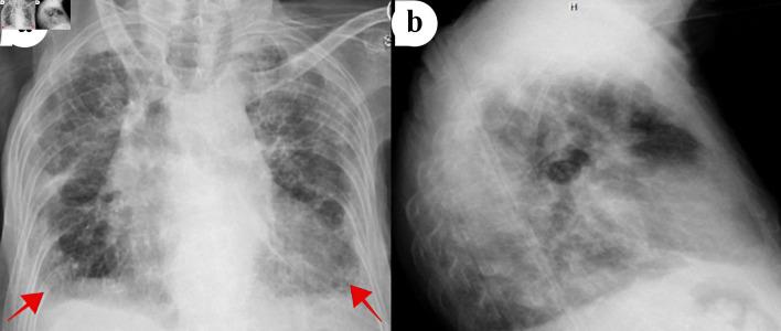
Idiopathic pleuroparenchymal fibroelastosis (IPPFE) is a rare form of idiopathic interstitial pneumonia. The disease is characterized by fibrosis of the pleura and subpleural lung parenchyma predominantly affecting the upper lobes. Various triggers have been proposed as inciting factors in the development of the disease. Diagnosis is made clinically in conjunction with radiographic findings and histopathology when available. There are no known effective treatment options and several cases of lung transplantation have been reported. We report a case of an 86-year-old female who presented to the emergency department with worsening dyspnea and hypoxia. She had a history of unexplained pneumomediastinum and a 20 - 25 pounds unintentional weight loss over 10 months. Computed tomography (CT) of the chest without contrast revealed radiographic evidence of IPPFE. Despite symptomatic management with antibiotics, diuretics, and steroids, her condition continued to deteriorate. Unfortunately, our patient was not a candidate for a lung transplant. She was transitioned to hospice care and succumbed to her disease. IPPFE is a rare disease with an unknown prevalence. It has a median survival rate of 2 years. Usually, there is an overlap with interstitial lung diseases, making it challenging to diagnose. There are only a few cases reported in the literature, and there are currently no guidelines available on the appropriate management of this debilitating disease. We recommend more cases be reported, and further research is done to establish better criteria for diagnosis and management.

摘要

特发性胸膜肺实质纤维弹性组织增生症(IPPFE)是一种罕见的特发性间质性肺炎。该疾病的特征是胸膜和胸膜下肺实质纤维化,主要累及上叶。已提出多种触发因素作为该疾病发展的诱发因素。诊断需结合临床、影像学表现以及如有条件时的组织病理学检查来做出。目前尚无已知有效的治疗方案,已有数例肺移植的报道。我们报告一例86岁女性患者,因呼吸困难和低氧血症加重就诊于急诊科。她有不明原因的纵隔气肿病史,且在10个月内体重意外减轻了20 - 25磅。胸部非增强计算机断层扫描(CT)显示有IPPFE的影像学证据。尽管使用抗生素、利尿剂和类固醇进行了对症治疗,但其病情仍持续恶化。不幸的是,我们的患者不符合肺移植条件。她被转至临终关怀护理,最终因病去世。IPPFE是一种罕见疾病,患病率未知。其平均生存率为2年。通常,它与间质性肺疾病存在重叠,这使得诊断具有挑战性。文献中仅报道了少数病例目前尚无关于这种使人衰弱疾病的适当管理的指南。我们建议报告更多病例,并进行进一步研究以建立更好的诊断和管理标准。

https://cdn.ncbi.nlm.nih.gov/pmc/blobs/8e37/9119366/5628fbee2056/jmc-13-235-g001.jpg

文献AI研究员

20分钟写一篇综述,助力文献阅读效率提升50倍。

立即体验

用中文搜PubMed

大模型驱动的PubMed中文搜索引擎

马上搜索

文档翻译

学术文献翻译模型,支持多种主流文档格式。

立即体验