Suppr超能文献

病例报告:特发性胸膜肺弹力纤维增生症。

Case Report: Idiopathic pleuroparenchymal fibroelastosis.

机构信息

Department of Pneumology, Military Hospital, University of Tunis El Manar, Tunis, 1008, Tunisia.

Faculty of Medicine, University of Tunis El Manar, Tunis, 1007, Tunisia.

出版信息

F1000Res. 2023 Aug 29;12:1048. doi: 10.12688/f1000research.132553.1. eCollection 2023.

Abstract

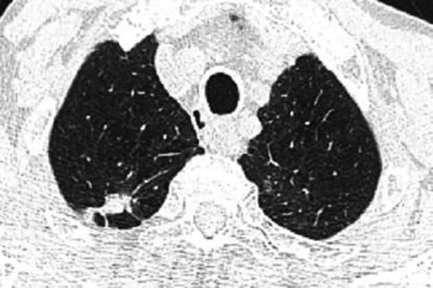
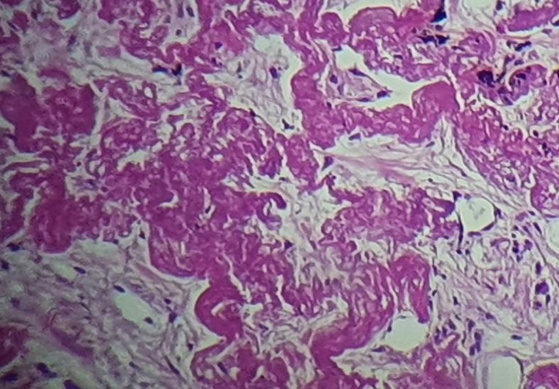
Idiopathic pleuroparenchymal fibroelastosis (IPPFE) is a very rare and a slowly conspicuous progressing chronic lung disease, which usually involves the upper lobes of the lung. This unusual disease, first recognized as a rare idiopathic interstitial pneumonia in 2013, is characterized by dense fibrosis of the visceral pleura and the subjacent lung parenchyma accompanied by elastosis predominating in the subpleural alveolar walls. In the interest of improving our understanding of this uncommon disease, we report a case of IPPFE established by pathology results. A 73-year-old male patient, smoker, with a medical history of chronic obstructive pulmonary disease, presented since January 2022 with a gradual worsening of dyspnea on exertion and productive cough with weight loss. The chest X-ray detected a thoracic distention. The chest high resolution computed tomography revealed biapical subpleural parenchymatous condensations with tractive bronchiectasis and pleural retraction in the right upper lobe and diffuse bilateral cento-lobular emphysema. A scan-guided trans-parietal lung biopsy showed lung parenchyma tattooed with anthracosic deposits, largely remodeled by fibrous tissue, intermingled with numerous wavy and refractive dyselastotic structures in polarized light. The orcein staining confirmed the presence of excess elastosic fibers within these lesions. All etiological investigations were negative. His lung function studies revealed a reversible obstructive ventilatory disorder. Following a multidisciplinary discussion, the diagnosis of IPPFE was confirmed on the basis of the distribution in the upper lungs on chest computed tomography combined with pathology pattern. This case emphasizes the atypical misleading radiological presentation of IPPFE and the key role of pathological results in establishing the diagnosis. Hence, further studies are needed to improve our understanding of this uncommon disease and to establish clear-cut guidelines for IPPFE diagnosis and management.

摘要

特发性胸膜肺弹力纤维增生症(IPPFE)是一种非常罕见且进展缓慢的慢性肺部疾病,通常累及肺部上叶。这种不常见的疾病于 2013 年首次被认为是一种罕见的特发性间质性肺炎,其特征为脏层胸膜和下肺部实质的致密纤维化,伴弹性组织增生为主的亚胸膜肺泡壁。为了提高对这种罕见疾病的认识,我们报告了一例经病理证实的 IPPFE 病例。一名 73 岁男性患者,吸烟者,有慢性阻塞性肺疾病病史,自 2022 年 1 月以来,逐渐出现劳力性呼吸困难加重和咳痰伴体重减轻。胸部 X 线检查发现胸部膨胀。胸部高分辨率计算机断层扫描显示右上叶双肺尖下胸膜实质混浊,伴有牵引性支气管扩张和胸膜回缩,以及双侧弥漫性中心小叶性肺气肿。经皮肺活检显示肺实质有炭末沉着,大部分被纤维组织重塑,在偏光下可见许多波浪状和折射性弹性不良结构。奥辛染色证实这些病变中存在过多的弹性纤维。所有病因学调查均为阴性。他的肺功能研究显示存在可复性阻塞性通气障碍。经过多学科讨论,根据胸部 CT 检查中肺部上叶的分布和病理模式,确诊为 IPPFE。 该病例强调了 IPPFE 不典型的误导性放射学表现以及病理结果在确立诊断中的关键作用。因此,需要进一步研究以提高对这种罕见疾病的认识,并为 IPPFE 的诊断和管理制定明确的指南。

https://cdn.ncbi.nlm.nih.gov/pmc/blobs/1c14/11255541/f673e32d6dd5/f1000research-12-145483-g0000.jpg

文献AI研究员

20分钟写一篇综述,助力文献阅读效率提升50倍。

立即体验

用中文搜PubMed

大模型驱动的PubMed中文搜索引擎

马上搜索

文档翻译

学术文献翻译模型,支持多种主流文档格式。

立即体验