Suppr超能文献

右心房转移的晚期肝细胞癌管理技术的考量:一例报告

Consideration of Management Techniques for Advanced Hepatocellular Carcinoma With Metastasis to the Right Atrium: A Case Report.

作者信息

Warren Brandon C, Yadav Harika, Campbell Nicholas, Colby Steven, Youngblood Laura

机构信息

Internal Medicine, University of Tennessee, Chattanooga, USA.

出版信息

Cureus. 2022 Apr 30;14(4):e24614. doi: 10.7759/cureus.24614. eCollection 2022 Apr.

Abstract

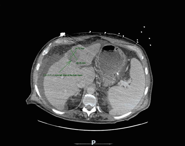
Hepatocellular carcinoma (HCC) is a common form of cancer and the most common form of liver cancer. Multiple etiological factors leading to HCC include hepatitis B and C, diabetes, alcoholic fatty liver disease, and non-alcoholic fatty liver disease. Hepatocellular carcinoma in the late stages may present with tumor burden and thrombi that can extend into the right atrium (RA). This late-stage form of HCC has a poor prognosis. In this case, we present a 63-year-old male who presented to the hospital with acute encephalopathy with bilateral pulmonary emboli and a thrombus secondary to HCC extending into the RA. Clinical trials for non-surgical interventions are ongoing and are needed to treat patients with tumor burden who may be at bleeding risk from tumor resection.

摘要

肝细胞癌(HCC)是一种常见的癌症形式,也是最常见的肝癌类型。导致HCC的多种病因包括乙型和丙型肝炎、糖尿病、酒精性脂肪肝病和非酒精性脂肪肝病。晚期肝细胞癌可能出现肿瘤负荷和血栓,血栓可延伸至右心房(RA)。这种晚期HCC预后较差。在此病例中,我们报告一名63岁男性,因急性脑病伴双侧肺栓塞以及继发于HCC的血栓延伸至RA而入院。针对非手术干预的临床试验正在进行,对于有肿瘤负荷且可能因肿瘤切除而有出血风险的患者,需要进行此类试验来进行治疗。

https://cdn.ncbi.nlm.nih.gov/pmc/blobs/03b3/9150144/f96f53aa99c2/cureus-0014-00000024614-i01.jpg

文献检索

告别复杂PubMed语法,用中文像聊天一样搜索,搜遍4000万医学文献。AI智能推荐,让科研检索更轻松。

立即免费搜索

文件翻译

保留排版,准确专业,支持PDF/Word/PPT等文件格式,支持 12+语言互译。

免费翻译文档

深度研究

AI帮你快速写综述,25分钟生成高质量综述,智能提取关键信息,辅助科研写作。

立即免费体验