• 文献检索
  • 文档翻译
  • 深度研究
  • 学术资讯
  • Suppr Zotero 插件Zotero 插件
  • 邀请有礼
  • 套餐&价格
  • 历史记录
应用&插件
Suppr Zotero 插件Zotero 插件浏览器插件Mac 客户端Windows 客户端微信小程序
定价
高级版会员购买积分包购买API积分包
服务
文献检索文档翻译深度研究API 文档MCP 服务
关于我们
关于 Suppr公司介绍联系我们用户协议隐私条款
关注我们

Suppr 超能文献

核心技术专利:CN118964589B侵权必究
粤ICP备2023148730 号-1Suppr @ 2026

文献检索

告别复杂PubMed语法,用中文像聊天一样搜索,搜遍4000万医学文献。AI智能推荐,让科研检索更轻松。

立即免费搜索

文件翻译

保留排版,准确专业,支持PDF/Word/PPT等文件格式,支持 12+语言互译。

免费翻译文档

深度研究

AI帮你快速写综述,25分钟生成高质量综述,智能提取关键信息,辅助科研写作。

立即免费体验

一种表现为心脏血栓的罕见类型肝细胞癌。

A Rare Type of Hepatocellular Carcinoma Presenting With Cardiac Thrombus.

作者信息

Aboona Majd B, Zhou Wendi, Wijarnpreecha Karn

机构信息

Internal Medicine, Department of Medicine, University of Arizona College of Medicine - Phoenix, Phoenix, USA.

Department of Pathology, Banner University Medical Center - Phoenix, Phoenix, USA.

出版信息

Cureus. 2023 May 28;15(5):e39611. doi: 10.7759/cureus.39611. eCollection 2023 May.

DOI:10.7759/cureus.39611
PMID:37384080
原文链接:https://pmc.ncbi.nlm.nih.gov/articles/PMC10299851/
Abstract

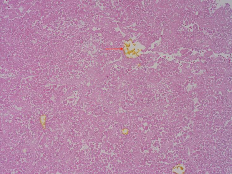
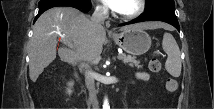
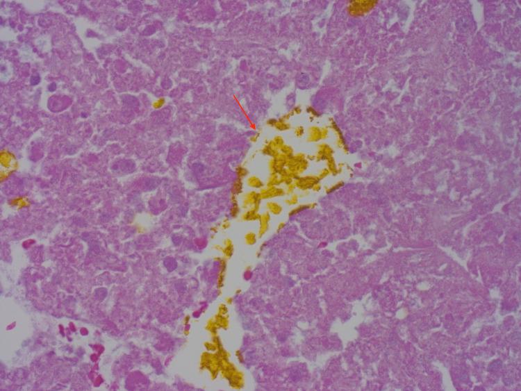
Hepatocellular carcinoma (HCC) is a complication of end stage liver disease. Even rarer is right atrial tumor thrombus burden due to HCC. Common metastatic sites of HCC in descending order are lung, peritoneum, and bone. We present a patient with liver cirrhosis due to nonalcoholic fatty liver disease (NAFLD) admitted due to incidental finding of right atrial thrombus on echocardiography after missing HCC surveillance for four years. Patient received a computed tomography (CT) scan that showed an inconclusive liver lesion despite two liver biopsies, and patient was incidentally found to have clear cell HCC diagnosed after right hepatectomy. Right atrial thrombus was treated with surgical thrombectomy and pathology showed necrotic HCC thrombi in right atrium with bile pigment. Due to the possibility of tumor growth with extrahepatic manifestations, screening in compensated cirrhosis is essential.

摘要

肝细胞癌(HCC)是终末期肝病的一种并发症。因HCC导致右心房肿瘤血栓负荷的情况更为罕见。HCC常见的转移部位依次为肺、腹膜和骨。我们报告一例因非酒精性脂肪性肝病(NAFLD)导致肝硬化的患者,该患者在漏查HCC四年后,因超声心动图偶然发现右心房血栓而入院。患者接受了计算机断层扫描(CT),尽管进行了两次肝脏活检,但肝脏病变仍不明确,患者在右肝切除术后偶然被诊断为透明细胞HCC。右心房血栓通过手术取栓治疗,病理显示右心房有坏死的HCC血栓伴胆色素。由于肿瘤有肝外表现生长的可能性,对代偿期肝硬化患者进行筛查至关重要。

https://cdn.ncbi.nlm.nih.gov/pmc/blobs/0124/10299851/28164e9adff5/cureus-0015-00000039611-i04.jpg
https://cdn.ncbi.nlm.nih.gov/pmc/blobs/0124/10299851/0d31422b5982/cureus-0015-00000039611-i01.jpg
https://cdn.ncbi.nlm.nih.gov/pmc/blobs/0124/10299851/33da547e6947/cureus-0015-00000039611-i02.jpg
https://cdn.ncbi.nlm.nih.gov/pmc/blobs/0124/10299851/005e48af6411/cureus-0015-00000039611-i03.jpg
https://cdn.ncbi.nlm.nih.gov/pmc/blobs/0124/10299851/28164e9adff5/cureus-0015-00000039611-i04.jpg
https://cdn.ncbi.nlm.nih.gov/pmc/blobs/0124/10299851/0d31422b5982/cureus-0015-00000039611-i01.jpg
https://cdn.ncbi.nlm.nih.gov/pmc/blobs/0124/10299851/33da547e6947/cureus-0015-00000039611-i02.jpg
https://cdn.ncbi.nlm.nih.gov/pmc/blobs/0124/10299851/005e48af6411/cureus-0015-00000039611-i03.jpg
https://cdn.ncbi.nlm.nih.gov/pmc/blobs/0124/10299851/28164e9adff5/cureus-0015-00000039611-i04.jpg

相似文献

1
A Rare Type of Hepatocellular Carcinoma Presenting With Cardiac Thrombus.一种表现为心脏血栓的罕见类型肝细胞癌。
Cureus. 2023 May 28;15(5):e39611. doi: 10.7759/cureus.39611. eCollection 2023 May.
2
Cavo-atrial thrombectomy prior to hepatectomy for hepatocellular carcinoma with tumor thrombus in the right atrium: a case report.肝细胞癌合并右心房瘤栓患者肝切除术前的腔房血栓切除术:一例报告
Surg Case Rep. 2019 Apr 11;5(1):57. doi: 10.1186/s40792-019-0620-y.
3
Favorable response to multimodal treatment in hepatocellular carcinoma with inferior vena cava and right atrial tumor thrombus and left adrenal gland metastasis: A case report and literature review.肝细胞癌伴下腔静脉和右心房肿瘤血栓及左肾上腺转移的多模态治疗的良好反应:病例报告及文献复习。
Medicine (Baltimore). 2021 Dec 10;100(49):e27987. doi: 10.1097/MD.0000000000027987.
4
Consideration of Management Techniques for Advanced Hepatocellular Carcinoma With Metastasis to the Right Atrium: A Case Report.右心房转移的晚期肝细胞癌管理技术的考量:一例报告
Cureus. 2022 Apr 30;14(4):e24614. doi: 10.7759/cureus.24614. eCollection 2022 Apr.
5
Characterization of hepatocellular carcinoma (HCC) in non-alcoholic fatty liver disease (NAFLD) patients without cirrhosis.非肝硬化非酒精性脂肪性肝病(NAFLD)患者肝细胞癌(HCC)的特征
Hepatol Int. 2016 Jul;10(4):632-9. doi: 10.1007/s12072-015-9679-0. Epub 2015 Nov 11.
6
Surgical resection of recurrent extrahepatic hepatocellular carcinoma with tumor thrombus extending into the right atrium under cardiopulmonary bypass: a case report and review of the literature.体外循环下手术切除复发性肝外肝细胞癌伴肿瘤血栓延伸至右心房:1例病例报告并文献复习
Surg Case Rep. 2016 Dec;2(1):110. doi: 10.1186/s40792-016-0241-7. Epub 2016 Oct 11.
7
Nonalcoholic fatty liver disease-related cirrhosis is commonly unrecognized and associated with hepatocellular carcinoma.非酒精性脂肪性肝病相关的肝硬化通常未被识别,且与肝细胞癌有关。
Hepatol Commun. 2017 Feb 27;1(1):53-60. doi: 10.1002/hep4.1018. eCollection 2017 Feb.
8
Hepatocellular Carcinoma with Tumor Thrombus Extending from the Portal Vein to the Right Atrium.肝细胞癌伴肿瘤血栓从门静脉延伸至右心房。
Cureus. 2019 May 17;11(5):e4689. doi: 10.7759/cureus.4689.
9
Surgical management of hepatocellular carcinoma with tumor thrombi in the inferior vena cava or right atrium.肝细胞癌伴下腔静脉或右心房癌栓的外科治疗。
World J Surg Oncol. 2013 Oct 5;11:259. doi: 10.1186/1477-7819-11-259.
10
Resection of recurrent hepatocellular carcinoma with thrombi in the inferior vena cava, right atrium, and phrenic vein: a report of three cases.复发性肝细胞癌合并下腔静脉、右心房和膈静脉血栓切除术:三例报告。
World J Surg Oncol. 2020 Jun 22;18(1):138. doi: 10.1186/s12957-020-01914-8.

本文引用的文献

1
Hepatocellular Carcinoma With Right Atrium Metastases.伴有右心房转移的肝细胞癌
Cureus. 2022 Mar 23;14(3):e23416. doi: 10.7759/cureus.23416. eCollection 2022 Mar.
2
Diagnosis, treatment and prognosis of hepatocellular carcinoma with inferior vena cava/right atrium tumor thrombus.伴有下腔静脉/右心房瘤栓的肝细胞癌的诊断、治疗及预后
Oncol Lett. 2020 Oct;20(4):101. doi: 10.3892/ol.2020.11962. Epub 2020 Aug 7.
3
IMbrave 050: a Phase III trial of atezolizumab plus bevacizumab in high-risk hepatocellular carcinoma after curative resection or ablation.
IMbrave 050:阿替利珠单抗联合贝伐珠单抗用于根治性切除或消融治疗后高危肝细胞癌的 III 期临床试验。
Future Oncol. 2020 May;16(15):975-989. doi: 10.2217/fon-2020-0162. Epub 2020 Apr 30.
4
Hepatocellular carcinoma with inferior vena cava and right atrial tumor thrombus: A case report.伴有下腔静脉及右心房瘤栓的肝细胞癌:一例报告。
Echocardiography. 2019 Nov;36(11):2110-2113. doi: 10.1111/echo.14520. Epub 2019 Oct 29.
5
Diagnosis, Staging, and Management of Hepatocellular Carcinoma: 2018 Practice Guidance by the American Association for the Study of Liver Diseases.肝细胞癌的诊断、分期及管理:美国肝病研究协会2018年实践指南
Hepatology. 2018 Aug;68(2):723-750. doi: 10.1002/hep.29913.
6
Management of hepatocellular carcinoma with portal vein thrombosis.伴有门静脉血栓形成的肝细胞癌的管理
World J Gastroenterol. 2015 Mar 28;21(12):3462-71. doi: 10.3748/wjg.v21.i12.3462.
7
Epidemiology of metastatic hepatocellular carcinoma, a nationwide perspective.转移性肝细胞癌的流行病学:全国性视角
Dig Dis Sci. 2014 Nov;59(11):2813-20. doi: 10.1007/s10620-014-3229-9. Epub 2014 Jun 6.
8
Survival benefit of surgical treatment for hepatocellular carcinoma with inferior vena cava/right atrium tumor thrombus: results of a retrospective cohort study.手术治疗下腔静脉/右心房癌栓肝癌的生存获益:一项回顾性队列研究的结果。
Ann Surg Oncol. 2013 Mar;20(3):914-22. doi: 10.1245/s10434-012-2646-2. Epub 2012 Sep 7.
9
Hepatocellular carcinoma with intracavitary cardiac involvement: a case report and review of the literature.肝细胞癌合并心脏腔内受累:一例报告并文献复习
Am J Cardiol. 2008 Sep 1;102(5):643-5. doi: 10.1016/j.amjcard.2008.04.042. Epub 2008 Jul 10.
10
Preoperative predictors of vascular invasion in hepatocellular carcinoma.肝细胞癌血管侵犯的术前预测因素
Eur J Surg Oncol. 2008 Aug;34(8):900-905. doi: 10.1016/j.ejso.2008.01.031. Epub 2008 Mar 14.