• 文献检索
  • 文档翻译
  • 深度研究
  • 学术资讯
  • Suppr Zotero 插件Zotero 插件
  • 邀请有礼
  • 套餐&价格
  • 历史记录
应用&插件
Suppr Zotero 插件Zotero 插件浏览器插件Mac 客户端Windows 客户端微信小程序
定价
高级版会员购买积分包购买API积分包
服务
文献检索文档翻译深度研究API 文档MCP 服务
关于我们
关于 Suppr公司介绍联系我们用户协议隐私条款
关注我们

Suppr 超能文献

核心技术专利:CN118964589B侵权必究
粤ICP备2023148730 号-1Suppr @ 2026

文献检索

告别复杂PubMed语法,用中文像聊天一样搜索,搜遍4000万医学文献。AI智能推荐,让科研检索更轻松。

立即免费搜索

文件翻译

保留排版,准确专业,支持PDF/Word/PPT等文件格式,支持 12+语言互译。

免费翻译文档

深度研究

AI帮你快速写综述,25分钟生成高质量综述,智能提取关键信息,辅助科研写作。

立即免费体验

肺动脉根部平滑肌肉瘤切除术:一种可行的胸科肿瘤血管手术

Pulmonary Artery Root Replacement for Leiomyosarcoma: A Viable Thoracic Oncovascular Operation.

作者信息

Keita Papus, Janko Matthew, Peterman Nicholas J, Toledo Sandor, Pelletier Marc

机构信息

Surgery, Carle Foundation Hospital, Urbana, USA.

Cardiac Surgery, University Hospitals Cleveland Medical Center, Cleveland, USA.

出版信息

Cureus. 2022 May 4;14(5):e24734. doi: 10.7759/cureus.24734. eCollection 2022 May.

DOI:10.7759/cureus.24734
PMID:35673312
原文链接:https://pmc.ncbi.nlm.nih.gov/articles/PMC9165929/
Abstract

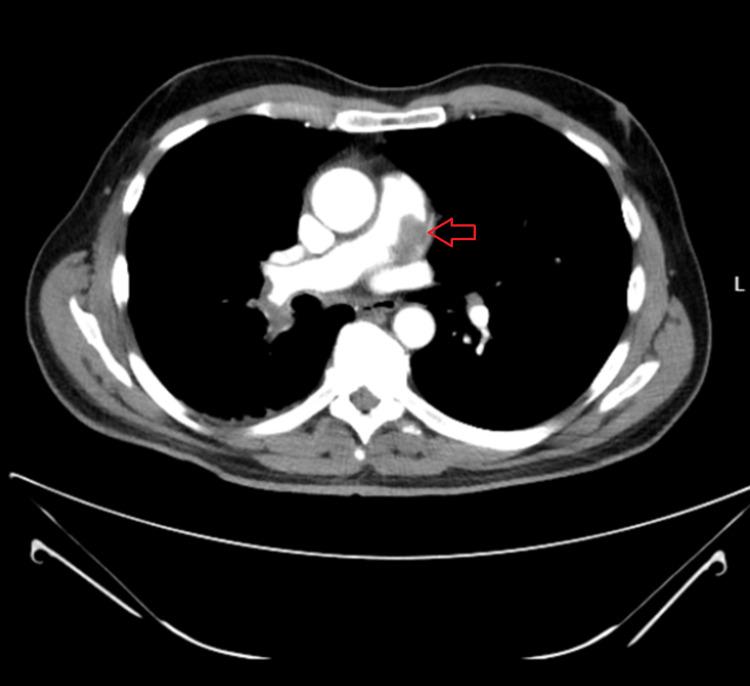
Leiomyosarcoma of the pulmonary artery is a rare but potentially fatal disease. Due to its rarity, the treatment algorithm is not well-established. While there may be a role for both chemotherapy and radiotherapy, surgical management is the most definitive method. Unfortunately, when the disease process is advanced, surgery may not be curative. However, it may still be a palliative treatment option. In this case report, we present a patient who suffered from respiratory symptoms that were initially attributed to pulmonary embolism (PE). However, upon the diagnosis of pulmonary artery leiomyosarcoma (PAL), surgery intervention was undertaken and resulted in an improved quality of life for the patient.

摘要

肺动脉平滑肌肉瘤是一种罕见但可能致命的疾病。由于其罕见性,治疗方案尚未完全确立。虽然化疗和放疗可能都有一定作用,但手术治疗是最具决定性的方法。不幸的是,当疾病进展到晚期时,手术可能无法治愈。然而,它仍然可能是一种姑息性治疗选择。在本病例报告中,我们介绍了一名患者,其最初出现的呼吸道症状被归因于肺栓塞(PE)。然而,在诊断为肺动脉平滑肌肉瘤(PAL)后,进行了手术干预,患者的生活质量得到了改善。

https://cdn.ncbi.nlm.nih.gov/pmc/blobs/d809/9165929/3826401bd7ff/cureus-0014-00000024734-i04.jpg
https://cdn.ncbi.nlm.nih.gov/pmc/blobs/d809/9165929/5928bee28491/cureus-0014-00000024734-i01.jpg
https://cdn.ncbi.nlm.nih.gov/pmc/blobs/d809/9165929/d77d57e5c5e6/cureus-0014-00000024734-i02.jpg
https://cdn.ncbi.nlm.nih.gov/pmc/blobs/d809/9165929/17cd7f5fa6da/cureus-0014-00000024734-i03.jpg
https://cdn.ncbi.nlm.nih.gov/pmc/blobs/d809/9165929/3826401bd7ff/cureus-0014-00000024734-i04.jpg
https://cdn.ncbi.nlm.nih.gov/pmc/blobs/d809/9165929/5928bee28491/cureus-0014-00000024734-i01.jpg
https://cdn.ncbi.nlm.nih.gov/pmc/blobs/d809/9165929/d77d57e5c5e6/cureus-0014-00000024734-i02.jpg
https://cdn.ncbi.nlm.nih.gov/pmc/blobs/d809/9165929/17cd7f5fa6da/cureus-0014-00000024734-i03.jpg
https://cdn.ncbi.nlm.nih.gov/pmc/blobs/d809/9165929/3826401bd7ff/cureus-0014-00000024734-i04.jpg

相似文献

1
Pulmonary Artery Root Replacement for Leiomyosarcoma: A Viable Thoracic Oncovascular Operation.肺动脉根部平滑肌肉瘤切除术:一种可行的胸科肿瘤血管手术
Cureus. 2022 May 4;14(5):e24734. doi: 10.7759/cureus.24734. eCollection 2022 May.
2
When a pulmonary embolism is not a pulmonary embolism: a rare case of primary pulmonary leiomyosarcoma.当肺栓塞并非肺栓塞时:原发性肺平滑肌肉瘤1例罕见病例
J Community Hosp Intern Med Perspect. 2015 Dec 11;5(6):29624. doi: 10.3402/jchimp.v5.29624. eCollection 2015.
3
Pulmonary artery leiomyosarcoma.肺动脉平滑肌肉瘤
J Formos Med Assoc. 1999 Aug;98(8):578-81.
4
Treatment of a recurrent pulmonary artery leiomyosarcoma with a combination of surgery, chemotherapy, and radiotherapy: A case report and literature review.手术、化疗和放疗联合治疗复发性肺动脉平滑肌肉瘤:病例报告及文献综述
Oncol Lett. 2015 Apr;9(4):1545-1548. doi: 10.3892/ol.2015.2957. Epub 2015 Feb 11.
5
Surgical treatment of pulmonary artery leiomyosarcoma: a good survival without adjuvant therapy.肺动脉平滑肌肉瘤的外科治疗:无需辅助治疗的良好生存。
Ann Thorac Surg. 2011 Dec;92(6):2252-4. doi: 10.1016/j.athoracsur.2011.05.041.
6
A case report of a primary pericardial leiomyosarcoma: An extremely rare cardiac neoplasm.一例原发性心包平滑肌肉瘤病例报告:一种极其罕见的心脏肿瘤。
Ann Med Surg (Lond). 2022 Apr 29;77:103701. doi: 10.1016/j.amsu.2022.103701. eCollection 2022 May.
7
Primary leiomyosarcoma of the pulmonary artery: a diagnostic dilemma.肺动脉原发性平滑肌肉瘤:诊断难题
Clin Imaging. 2003 May-Jun;27(3):206-11. doi: 10.1016/s0899-7071(02)00568-5.
8
Palliative Chemotherapy: Does It Only Provide False Hope? The Role of Palliative Care in a Young Patient With Newly Diagnosed Metastatic Adenocarcinoma.姑息性化疗:它只是提供虚假希望吗?姑息治疗在一名新诊断为转移性腺癌的年轻患者中的作用。
J Adv Pract Oncol. 2017 May-Jun;8(4):382-386. Epub 2017 May 1.
9
A Rare Case of Pulmonary Leiomyosarcoma.肺平滑肌肉瘤 1 例罕见报告
Acta Med Indones. 2023 Jan;55(1):83-86.
10
Pulmonary Hypertension due to a Pulmonary Artery Leiomyosarcoma: A Case Report.肺动脉平滑肌肉瘤所致肺动脉高压:一例报告
Case Rep Pulmonol. 2013;2013:160619. doi: 10.1155/2013/160619. Epub 2013 Mar 31.

本文引用的文献

1
Primary pulmonary artery sarcoma: A rare and overlooked differential diagnosis of pulmonary embolism. Clues to diagnosis.原发性肺动脉肉瘤:一种罕见且易被忽视的肺栓塞鉴别诊断。诊断线索。
Int J Surg Case Rep. 2019;65:15-19. doi: 10.1016/j.ijscr.2019.10.014. Epub 2019 Oct 12.
2
Pulmonary artery leiomyosarcoma: A clinical dilemma.肺动脉平滑肌肉瘤:临床难题。
Lung India. 2018 Mar-Apr;35(2):164-167. doi: 10.4103/lungindia.lungindia_137_17.
3
Prolonged Survival of Pulmonary Artery Sarcoma After Aggressive Surgical Resection.积极手术切除后肺动脉肉瘤的长期生存
Ann Thorac Surg. 2017 Jan;103(1):e21-e23. doi: 10.1016/j.athoracsur.2016.05.119.
4
Primary pulmonary artery sarcoma: a close associate of pulmonary embolism-20-year observational analysis.原发性肺动脉肉瘤:与肺栓塞密切相关的20年观察性分析
J Thorac Dis. 2016 Sep;8(9):2592-2601. doi: 10.21037/jtd.2016.08.89.
5
Presentation and management of pulmonary artery sarcoma.肺动脉肉瘤的临床表现与治疗
Clin Sarcoma Res. 2015 Jan 21;5(1):3. doi: 10.1186/s13569-014-0019-2. eCollection 2015.
6
Pulmonary Artery Leiomyosarcoma Diagnosed without Delay.肺动脉平滑肌肉瘤及时诊断
Case Rep Oncol. 2011 May;4(2):287-98. doi: 10.1159/000328994. Epub 2011 May 27.
7
Pulmonary artery angiosarcoma: a clinicopathologic and radiological correlation.肺动脉血管肉瘤:临床病理与影像学相关性研究
Ann Diagn Pathol. 2005 Aug;9(4):209-14. doi: 10.1016/j.anndiagpath.2005.04.012.
8
Primary pulmonary artery sarcoma. Report of two autopsy cases studied by immunohistochemistry and electron microscopy, and review of 110 cases reported in the literature.原发性肺动脉肉瘤。两例经免疫组织化学和电子显微镜检查的尸检病例报告,并复习文献中报道的110例病例。
Acta Pathol Jpn. 1988 Jul;38(7):883-96. doi: 10.1111/j.1440-1827.1988.tb02360.x.