Suppr超能文献

基于影像学表现和鉴别诊断的综述对小儿肾母细胞瘤的组织病理学局部分期预测。

Prediction of histopathological local staging by radiological findings and differential diagnosis overview in children with nephroblastoma.

机构信息

Department of Pediatric Surgery, Grigore Alexandrescu Clinical Emergency Hospital for Children, Bucharest, Romania;

出版信息

Rom J Morphol Embryol. 2021 Oct-Dec;62(4):939-949. doi: 10.47162/RJME.62.4.06.

Abstract

BACKGROUND

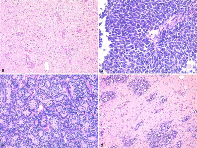
Nephroblastoma is the most common renal malignancy in children kidney. They are highly heterogeneous tumors with challenging imagistic and histopathological (HP) differential diagnosis. Imaging is critical for understanding local anatomy, staging and for planning surgical approach.

PURPOSE

To determine whether HP staging can be successfully predicted by the imagistic staging using computed tomography. Also, we find it important to make a brief review of the imagistic, HP and immunohistochemical differential diagnosis of nephroblastoma, considering that a correct diagnosis is essential for an appropriate therapeutic strategy in all stages.

PATIENTS, MATERIALS AND METHODS: We present a retrospective study of the medical dossiers of 22 patients that underwent surgery at our Center between 2014 and 2020. We provided descriptive data and compared imagistic and HP staging using a Mann-Whitney U-test. An up-to-date literature review was also done.

RESULTS

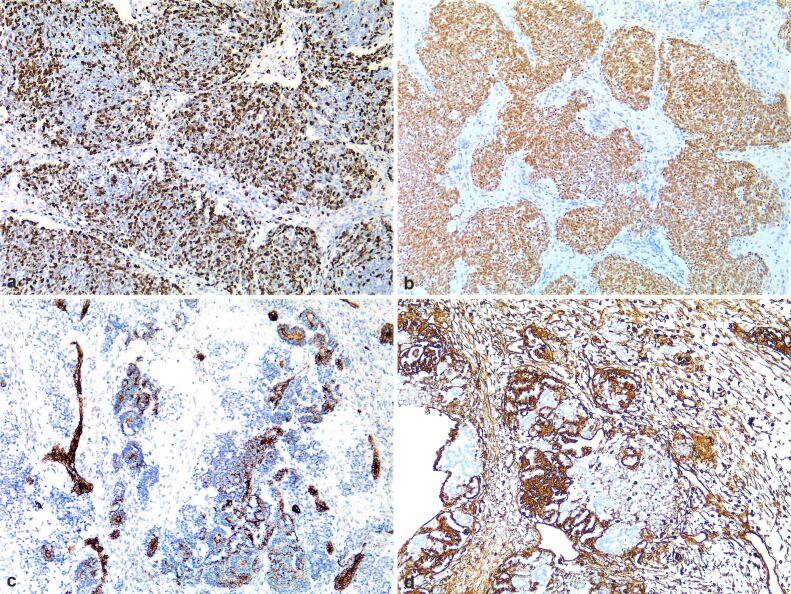
We found that imagistic staging tends to under- or over-stage at similar rates and that the difference between the two staging systems is statistically significant. Immunohistochemistry is necessary for establishing the correct diagnosis, especially in cases with one predominant HP pattern.

CONCLUSIONS

HP and imagistic staging are not yet sufficiently similar for successfully predict the former via imagistic means.

摘要

背景

肾母细胞瘤是儿童肾脏最常见的恶性肿瘤。它们是高度异质性肿瘤,具有挑战性的影像学和组织病理学(HP)鉴别诊断。影像学对于了解局部解剖结构、分期和规划手术方法至关重要。

目的

确定 CT 成像分期是否可以成功预测 HP 分期。此外,我们认为简要回顾肾母细胞瘤的影像学、HP 和免疫组织化学鉴别诊断很重要,因为在所有分期中,正确的诊断对于制定适当的治疗策略都是必不可少的。

患者、材料和方法:我们对 2014 年至 2020 年间在我们中心接受手术的 22 名患者的病历进行了回顾性研究。我们提供了描述性数据,并使用曼-惠特尼 U 检验比较了影像学和 HP 分期。我们还进行了最新的文献复习。

结果

我们发现影像学分期倾向于以相似的比率低估或高估分期,两种分期系统之间的差异具有统计学意义。免疫组织化学对于建立正确的诊断是必要的,特别是在具有一种主要 HP 模式的情况下。

结论

HP 和影像学分期尚未足够相似,无法通过影像学手段成功预测前者。

https://cdn.ncbi.nlm.nih.gov/pmc/blobs/d227/9289688/4a7d44ccd732/RJME-62-4-939-fig1.jpg

文献AI研究员

20分钟写一篇综述,助力文献阅读效率提升50倍。

立即体验

用中文搜PubMed

大模型驱动的PubMed中文搜索引擎

马上搜索

文档翻译

学术文献翻译模型,支持多种主流文档格式。

立即体验