• 文献检索
  • 文档翻译
  • 深度研究
  • 学术资讯
  • Suppr Zotero 插件Zotero 插件
  • 邀请有礼
  • 套餐&价格
  • 历史记录
应用&插件
Suppr Zotero 插件Zotero 插件浏览器插件Mac 客户端Windows 客户端微信小程序
定价
高级版会员购买积分包购买API积分包
服务
文献检索文档翻译深度研究API 文档MCP 服务
关于我们
关于 Suppr公司介绍联系我们用户协议隐私条款
关注我们

Suppr 超能文献

核心技术专利:CN118964589B侵权必究
粤ICP备2023148730 号-1Suppr @ 2026

文献检索

告别复杂PubMed语法,用中文像聊天一样搜索,搜遍4000万医学文献。AI智能推荐,让科研检索更轻松。

立即免费搜索

文件翻译

保留排版,准确专业,支持PDF/Word/PPT等文件格式,支持 12+语言互译。

免费翻译文档

深度研究

AI帮你快速写综述,25分钟生成高质量综述,智能提取关键信息,辅助科研写作。

立即免费体验

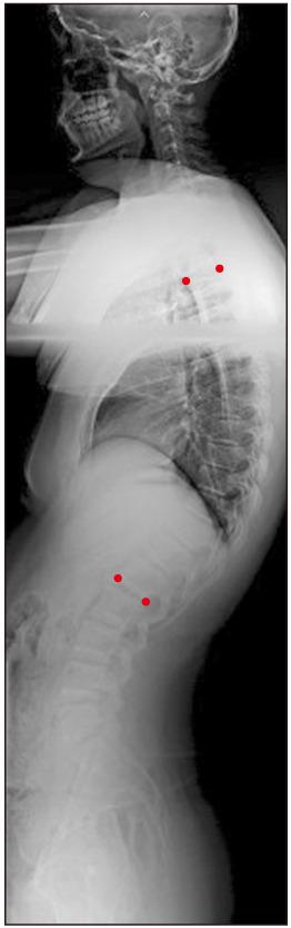
北约旦 50°-65° Cobb 角 Scheuermann 后凸畸形患者的生活质量评估:一项前瞻性对比研究。

Assessment of Quality of Life for Scheuermann's Kyphosis Patients with Cobb's Angle 50°-65° Treated Conservatively or Surgically in North Jordan: A Prospective Comparative Study.

机构信息

Department of Orthopedic Surgery, King Abdullah University Hospital, Jordan University of Science and Technology, Irbid, Jordan.

Department of Public Health, Medical School, Jordan University of Science and Technology, Irbid, Jordan.

出版信息

Clin Orthop Surg. 2022 Jun;14(2):244-252. doi: 10.4055/cios20219. Epub 2022 Mar 3.

DOI:10.4055/cios20219
PMID:35685985
原文链接:https://pmc.ncbi.nlm.nih.gov/articles/PMC9152904/
Abstract

BACKGROUND

Scheuermann's disease is the most common cause of hyperkyphosis of the thoracic spine during the adolescence period. It causes neck and lower back pain, restriction of lung expansion, traction of the spinal cord, increased vulnerability to vertebral fracture, and a hump. Patients with curves < 60° are treated conservatively, while surgery is used for patients with curves > 60°. The purpose of this prospective cohort study was to assess the quality of life and functional changes in conservatively or surgically treated Scheuermann's disease patients with a curve size of 50°-65° in north Jordan.

METHODS

Sixty-three adolescent patients with Scheuermann's kyphosis (aged between 10 and 18 years) were treated at our hospital between January 2014 and August 2018. All patients were investigated clinically, radiologically (Cobb's angle), and functionally (Oswestry Disability Index [ODI], Scoliosis Research Society 22 revision [SRS-22r] questionnaire, and pulmonary function test [PFT]) pre- and post-treatment (final follow-up). Patients were randomly selected for treatment method (conservative versus surgical).

RESULTS

There were 31 patients (mean age, 15.48 ± 2.50 years) and 32 patients (mean age, 16.19 ± 1.51 years) treated conservatively and surgically, respectively. Mean ± standard deviation of ODI, SRS-22r, and Cobb's angle of the surgical group improved from 16.8% ± 14.3%, 3.5 ± 0.5, and 58.75° ± 3.59°, respectively, pre-surgery to 13.4% ± 10.8%, 4.2 ± 0.5, and 41.53° ± 3.94°, respectively, post-surgery, while those of the conservative group became worse from 12.6% ± 13.4%, 3.9 ± 0.7, and 56.1° ± 3.3°, respectively, to 20.1% ± 13.6%, 3.5 ± 0.7, and 58.8° ± 5.8°, respectively. The surgical group showed better improvement in all scores than the conservative group ( < 0.05), as well as in PFT.

CONCLUSIONS

Surgical treatment of Scheuermann's kyphosis with curves of 50°-65° resulted in better QOL, Cobb's angle, and PFT than conservative treatment. This was because of lower patient cooperation in the conservative management group, which made the curve less flexible for exercises and bracing.

摘要

背景

Scheuermann 病是青少年时期胸段脊柱后凸最常见的原因。它会导致颈部和下背部疼痛、肺扩张受限、脊髓牵拉、椎体骨折易感性增加以及形成驼背。曲线<60°的患者采用保守治疗,而曲线>60°的患者则采用手术治疗。本前瞻性队列研究的目的是评估在约旦北部,对 50°-65°的 Scheuermann 病患者进行保守或手术治疗后,患者生活质量和功能变化情况。

方法

2014 年 1 月至 2018 年 8 月期间,我院对 63 例患有 Scheuermann 后凸畸形的青少年患者(年龄在 10-18 岁之间)进行了治疗。所有患者均进行了临床、影像学(Cobb 角)和功能(Oswestry 残疾指数[ODI]、脊柱侧凸研究协会 22 修订版[SRS-22r]问卷和肺功能测试[PFT])检查。在治疗前(最终随访时)和治疗后对患者进行了评估。患者随机选择治疗方法(保守治疗与手术治疗)。

结果

分别有 31 例(平均年龄 15.48±2.50 岁)和 32 例(平均年龄 16.19±1.51 岁)患者接受了保守和手术治疗。手术组的 ODI、SRS-22r 和 Cobb 角的平均标准差分别从术前的 16.8%±14.3%、3.5±0.5 和 58.75°±3.59°改善至术后的 13.4%±10.8%、4.2±0.5 和 41.53°±3.94°,而保守组则从术前的 12.6%±13.4%、3.9±0.7 和 56.1°±3.3°恶化至术后的 20.1%±13.6%、3.5±0.7 和 58.8°±5.8°。手术组在所有评分上的改善均优于保守组(<0.05),PFT 也是如此。

结论

对于 50°-65°的 Scheuermann 后凸畸形患者,手术治疗比保守治疗更能提高生活质量、改善 Cobb 角和肺功能。这是因为保守治疗组患者的配合度较低,导致运动和支具治疗时曲线的灵活性降低。

https://cdn.ncbi.nlm.nih.gov/pmc/blobs/c8d5/9152904/b36c3bbbd621/cios-14-244-g004.jpg
https://cdn.ncbi.nlm.nih.gov/pmc/blobs/c8d5/9152904/8a1443129c6a/cios-14-244-g001.jpg
https://cdn.ncbi.nlm.nih.gov/pmc/blobs/c8d5/9152904/b06c696a133b/cios-14-244-g002.jpg
https://cdn.ncbi.nlm.nih.gov/pmc/blobs/c8d5/9152904/4a428004c064/cios-14-244-g003.jpg
https://cdn.ncbi.nlm.nih.gov/pmc/blobs/c8d5/9152904/b36c3bbbd621/cios-14-244-g004.jpg
https://cdn.ncbi.nlm.nih.gov/pmc/blobs/c8d5/9152904/8a1443129c6a/cios-14-244-g001.jpg
https://cdn.ncbi.nlm.nih.gov/pmc/blobs/c8d5/9152904/b06c696a133b/cios-14-244-g002.jpg
https://cdn.ncbi.nlm.nih.gov/pmc/blobs/c8d5/9152904/4a428004c064/cios-14-244-g003.jpg
https://cdn.ncbi.nlm.nih.gov/pmc/blobs/c8d5/9152904/b36c3bbbd621/cios-14-244-g004.jpg

相似文献

1
Assessment of Quality of Life for Scheuermann's Kyphosis Patients with Cobb's Angle 50°-65° Treated Conservatively or Surgically in North Jordan: A Prospective Comparative Study.北约旦 50°-65° Cobb 角 Scheuermann 后凸畸形患者的生活质量评估:一项前瞻性对比研究。
Clin Orthop Surg. 2022 Jun;14(2):244-252. doi: 10.4055/cios20219. Epub 2022 Mar 3.
2
Comparison of Scheuermann's kyphosis correction by combined anterior-posterior fusion versus posterior-only procedure.前后联合融合术与单纯后路手术治疗休门氏后凸畸形的疗效比较
Eur Spine J. 2016 Aug;25(8):2580-6. doi: 10.1007/s00586-015-4234-1. Epub 2015 Sep 13.
3
Long-term outcome after surgical treatment of Scheuermann's Kyphosis (SK).Scheuermann 后凸畸形(SK)的手术治疗的长期结果。
Spine Deform. 2022 Mar;10(2):387-397. doi: 10.1007/s43390-021-00410-7. Epub 2021 Sep 17.
4
[Combined thoracoscopic anterior spinal release and posterior correction for Scheuermann's kyphosis].[胸腔镜下前路脊柱松解联合后路矫正治疗休门氏后凸畸形]
Zhonghua Wai Ke Za Zhi. 2004 Nov 7;42(21):1293-5.
5
Long-term outcome after brace treatment of Scheuermann's kyphosis: an observational controlled cohort study.Scheuermann 后凸畸形支具治疗的长期疗效:一项观察性对照队列研究。
Eur J Phys Rehabil Med. 2023 Aug;59(4):529-534. doi: 10.23736/S1973-9087.23.08070-X.
6
All pedicle screw instrumentation for Scheuermann's kyphosis correction: is it worth it?用于Scheuermann驼背矫正的所有椎弓根螺钉器械:是否值得?
Spine J. 2009 Apr;9(4):296-302. doi: 10.1016/j.spinee.2008.05.011. Epub 2008 Jul 21.
7
The surgical treatment of severe Scheuermann's kyphosis.重度休曼氏后凸畸形的外科治疗。
Bone Joint J. 2021 Jan;103-B(1):148-156. doi: 10.1302/0301-620X.103B1.BJJ-2020-1279.R2.
8
Rapidly progressive Scheuermann's disease in an adolescent after pectus bar placement treated with posterior vertebral-column resection: case report and review of the literature.青少年胸廓成形术后发生快速进展型Scheuermann 病,采用后路脊柱切除治疗:病例报告及文献复习。
Spine (Phila Pa 1976). 2013 Feb 15;38(4):E259-62. doi: 10.1097/BRS.0b013e31827fc5cb.
9
Untreated Scheuermann's disease: a 37-year follow-up study.未经治疗的Scheuermann 病:一项 37 年随访研究。
Eur Spine J. 2012 May;21(5):819-24. doi: 10.1007/s00586-011-2075-0. Epub 2011 Nov 22.
10
Surgical correction of Scheuermann's kyphosis.休曼氏后凸的手术矫正
Int Orthop. 2001;25(2):70-3. doi: 10.1007/s002640100232.

引用本文的文献

1
Evaluation of changes in kyphosis angle, apex and quality of life of patients with Scheuermann kyphosis using Kyphologic brace.使用Kyphologic支具评估休门氏后凸患者的后凸角度、顶点及生活质量变化。
Int J Physiol Pathophysiol Pharmacol. 2022 Jun 15;14(3):187-192. eCollection 2022.

本文引用的文献

1
Scheuermann's Kyphosis: Diagnosis, Management, and Selecting Fusion Levels.Scheuermann 脊柱后凸:诊断、治疗和融合节段的选择。
J Am Acad Orthop Surg. 2019 May 15;27(10):e462-e472. doi: 10.5435/JAAOS-D-17-00748.
2
Quality of Life Improvement Following Surgery in Adolescent Spinal Deformity Patients: A Comparison Between Scheuermann Kyphosis and Adolescent Idiopathic Scoliosis.青少年脊柱畸形患者手术后生活质量的改善:休曼氏后凸畸形与青少年特发性脊柱侧凸的比较
Spine Deform. 2018 Nov-Dec;6(6):676-683. doi: 10.1016/j.jspd.2018.04.009.
3
Intraspinal Anomalies in Individuals with Scheuermann's Kyphosis: Is the Routine Use of Magnetic Resonance Imaging Necessary for Preoperative Evaluation?
休曼氏脊柱后凸患者的脊柱内异常:术前评估常规使用磁共振成像是否必要?
Asian Spine J. 2018 Aug;12(4):697-702. doi: 10.31616/asj.2018.12.4.697. Epub 2018 Jul 27.
4
Posterior-only versus combined anterior/posterior fusion in Scheuermann disease: a large retrospective study.Scheuermann 病后路融合与前后路联合融合的比较:一项大型回顾性研究。
Eur Spine J. 2018 Sep;27(9):2322-2330. doi: 10.1007/s00586-018-5633-x. Epub 2018 May 19.
5
Successful brace treatment of Scheuermann's kyphosis with different angles.不同角度的Scheuermann驼背的成功支具治疗。
J Craniovertebr Junction Spine. 2017 Apr-Jun;8(2):136-143. doi: 10.4103/jcvjs.JCVJS_38_16.
6
Adolescent maturation of the relationship between cortical gyrification and cognitive ability.皮质脑回与认知能力关系的青少年成熟度。
Neuroimage. 2017 Sep;158:319-331. doi: 10.1016/j.neuroimage.2017.06.082. Epub 2017 Jul 1.
7
Impact of adolescent social experiences on behavior and neural circuits implicated in mental illnesses.青少年社会经历对与精神疾病相关的行为和神经回路的影响。
Neurosci Biobehav Rev. 2017 May;76(Pt B):280-300. doi: 10.1016/j.neubiorev.2017.01.018. Epub 2017 Jan 20.
8
Motivations for Compliance With Bracing in Adolescent Idiopathic Scoliosis.青少年特发性脊柱侧弯患者佩戴支具的依从性动机
Spine Deform. 2017 Jan;5(1):46-51. doi: 10.1016/j.jspd.2016.09.004.
9
Preoperative Pulmonary Function in Patients With Operative Scheuermann Kyphosis.Scheuermann驼背手术患者的术前肺功能
Spine Deform. 2014 Jan;2(1):70-75. doi: 10.1016/j.jspd.2013.09.004. Epub 2014 Jan 11.
10
Outcome of intensive outpatient rehabilitation and bracing in an adult patient with Scheuermann's disease evaluated by radiologic imaging-a case report.通过放射影像学评估成人休门氏病患者强化门诊康复及支具治疗的结果——病例报告
Scoliosis Spinal Disord. 2016 Oct 14;11(Suppl 2):40. doi: 10.1186/s13013-016-0094-7. eCollection 2016.