Division of Cell Biology, The Netherlands Cancer Institute, Amsterdam, The Netherlands.
Proteomics Facility, The Netherlands Cancer Institute, Amsterdam, The Netherlands.
J Cell Biol. 2022 Aug 1;221(8). doi: 10.1083/jcb.202108027. Epub 2022 Jun 10.
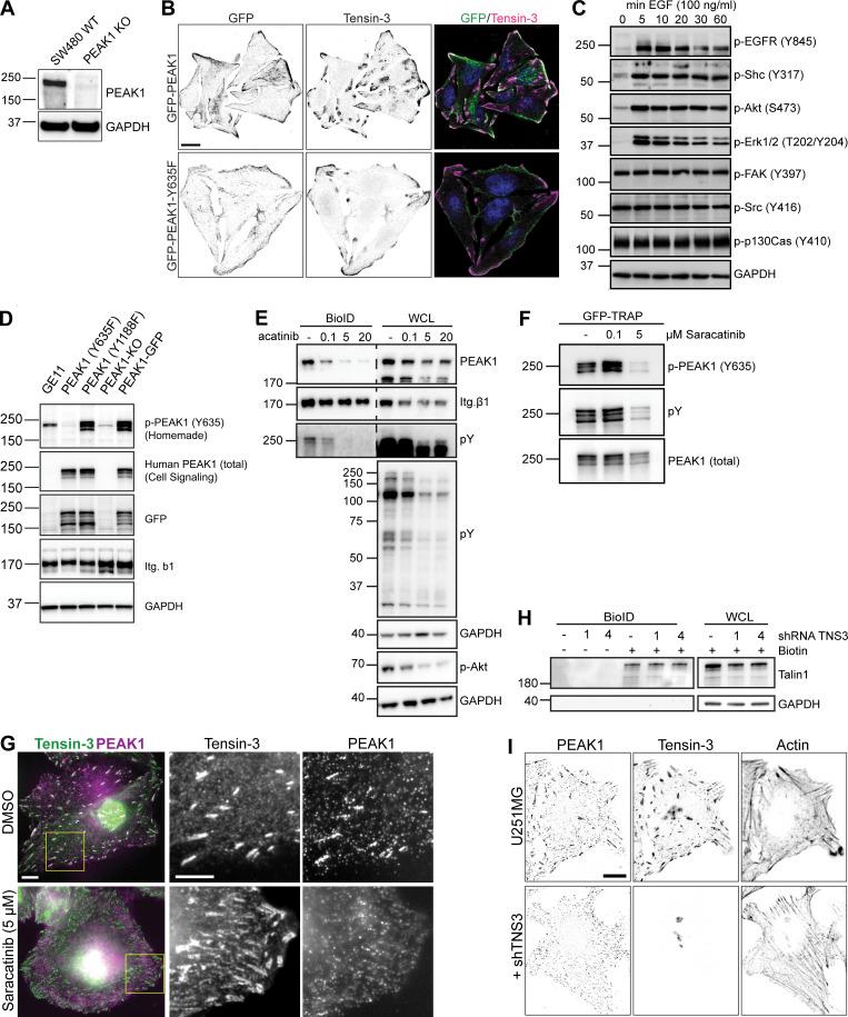
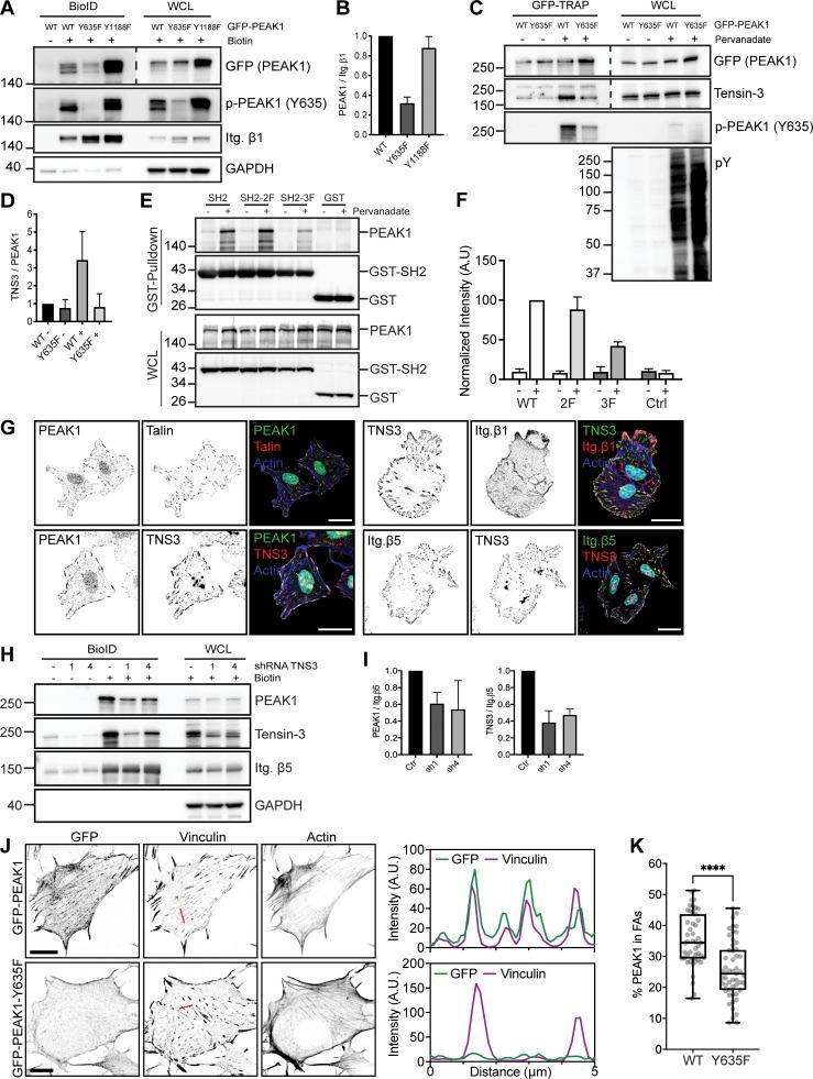
Integrins mediate cell adhesion by connecting the extracellular matrix to the intracellular cytoskeleton and orchestrate signal transduction in response to chemical and mechanical stimuli by interacting with many cytoplasmic proteins. We used BioID to interrogate the interactomes of β1 and β3 integrins in epithelial cells and identified PEAK1 as an interactor of the RGD-binding integrins α5β1, αVβ3, and αVβ5 in focal adhesions. We demonstrate that the interaction between integrins and PEAK1 occurs indirectly through Tensin3, requiring both the membrane-proximal NPxY motif on the integrin β tail and binding of the SH2 domain of Tensin3 to phosphorylated Tyr-635 on PEAK1. Phosphorylation of Tyr-635 is mediated by Src and regulates cell migration. Additionally, we found that Shc1 localizes in focal adhesions in a PEAK1 phosphorylated Tyr-1188-dependent fashion. Besides binding Shc1, PEAK1 also associates with a protein cluster that mediates late EGFR/Shc1 signaling. We propose a model in which PEAK1 binds Tensin3 and Shc1 to converge integrin and growth factor receptor signal transduction.
整合素通过将细胞外基质与细胞内细胞骨架连接起来介导细胞黏附,并通过与许多细胞质蛋白相互作用,对化学和机械刺激进行信号转导。我们使用 BioID 技术来探究上皮细胞中β1 和β3 整合素的互作组,发现 PEAK1 是 RGD 结合整合素α5β1、αVβ3 和αVβ5 在黏附斑中的相互作用蛋白。我们证明整合素和 PEAK1 之间的相互作用是间接发生的,需要整合素β尾部上的膜近端 NPxY 基序以及 Tensin3 的 SH2 结构域与 PEAK1 上磷酸化的 Tyr-635 结合。磷酸化的 Tyr-635 由Src 介导,并调节细胞迁移。此外,我们发现 Shc1 以依赖于 PEAK1 磷酸化 Tyr-1188 的方式定位于黏附斑中。PEAK1 除了与 Shc1 结合外,还与介导晚期 EGFR/Shc1 信号转导的蛋白质簇结合。我们提出了一个模型,其中 PEAK1 结合 Tensin3 和 Shc1,汇聚整合素和生长因子受体信号转导。