Suppr超能文献

与Best卵黄样黄斑营养不良相关的脉络膜新生血管形成

Choroidal Neovascularization Associated with Best Vitelliform Macular Dystrophy.

作者信息

Adiyeke Seda Karaca, Ture Gamze

机构信息

Department of Ophthalmology, Tepecik Research and Training Hospital, Izmir, Turkey.

出版信息

Beyoglu Eye J. 2022 May 27;7(2):103-108. doi: 10.14744/bej.2022.54376. eCollection 2022.

Abstract

OBJECTIVES

The aim of the study was to evaluate the clinical and optical coherence tomography (OCT) findings of patients with choroidal neovascularization (CNV) due to best vitelliform macular dystrophy (BVMD).

METHODS

Six eyes that were diagnosed with CNV associated with BVMD were evaluated retrospectively. A standard ophthalmologic examination, a fundus fluorescein angiography (FA), and the OCT findings of the patients were examined. Anatomical and functional changes seen after treatment were evaluated.

RESULTS

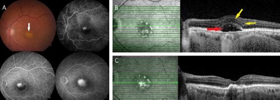
One (16%) of the cases was female and five (83%) were male. The mean age was calculated as 36.3±24.9 years (range 11-73 years). The mean follow-up period of the cases after detecting CNV was determined as 26 months (range 6-168 months). Best corrected visual acuities were 0.65±0.39 logMAR (1.0-0.2 logMAR) when CNV was detected and 0.42±0.25 logMAR (limits 0.7-0.2 logMAR) at the end of the follow-up. Photodynamic therapy was applied to one (17%) of the cases, and intravitreal anti-vascular endothelial growth factor (anti-VEGF) treatment was applied to the others (83%). The mean number of intravitreal injections was found to be 3±1.37 (range 2-4).In all cases, intraretinal fluid (IRF), subretinal fluid (SRF), external limiting membrane, and irregularities in inner retinal layers were observed in the initial OCT examinations. In all cases, it was observed that the IRF regressed with treatment and SRF continued in five eyes. Hypertrophic outer retinal scarring developed in all cases.

CONCLUSION

In cases with CNV due to BVMD, regression in CNV activity was achieved with intravitreal anti-VEGF injection treatment. The IRF is a marker that can be used both in the diagnosis and treatment monitoring of CNV associated with BVMD.

摘要

目的

本研究旨在评估最佳卵黄样黄斑营养不良(BVMD)所致脉络膜新生血管(CNV)患者的临床及光学相干断层扫描(OCT)表现。

方法

回顾性评估6只诊断为与BVMD相关的CNV的眼睛。对患者进行标准眼科检查、眼底荧光血管造影(FA)及OCT检查。评估治疗后出现的解剖及功能变化。

结果

病例中1例(16%)为女性,5例(83%)为男性。平均年龄计算为36.3±24.9岁(范围11 - 73岁)。检测到CNV后病例的平均随访期确定为26个月(范围6 - 168个月)。检测到CNV时最佳矫正视力为0.65±0.39 logMAR(1.0 - 0.2 logMAR),随访结束时为0.42±0.25 logMAR(范围0.7 - 0.2 logMAR)。1例(17%)病例接受了光动力疗法,其他病例(83%)接受了玻璃体内抗血管内皮生长因子(抗VEGF)治疗。玻璃体内注射的平均次数为3±1.37(范围2 - 4)。在所有病例的初始OCT检查中均观察到视网膜内液(IRF)、视网膜下液(SRF)、外界膜及视网膜内层不规则。所有病例中均观察到治疗后IRF消退,5只眼中SRF持续存在。所有病例均出现肥厚性视网膜外层瘢痕形成。

结论

在BVMD所致CNV病例中,玻璃体内抗VEGF注射治疗可使CNV活性消退。IRF是可用于BVMD相关CNV诊断及治疗监测的一个标志物。

https://cdn.ncbi.nlm.nih.gov/pmc/blobs/5f63/9169145/4857c9470bca/BEJ-7-103-g001.jpg

文献检索

告别复杂PubMed语法,用中文像聊天一样搜索,搜遍4000万医学文献。AI智能推荐,让科研检索更轻松。

立即免费搜索

文件翻译

保留排版,准确专业,支持PDF/Word/PPT等文件格式,支持 12+语言互译。

免费翻译文档

深度研究

AI帮你快速写综述,25分钟生成高质量综述,智能提取关键信息,辅助科研写作。

立即免费体验