Suppr超能文献

热休克相关70 kDa蛋白2表达在喉鳞状细胞癌中的重要性

The Importance of Heat Shock-Related 70-kDa Protein 2 Expression in Laryngeal Squamous Cell Carcinomas.

作者信息

Ceylan Onur, Arslan Remzi

机构信息

Department of Pathology, Atatürk University, Faculty of Medicine, Erzurum, Turkey.

出版信息

Eurasian J Med. 2022 Jun;54(2):165-172. doi: 10.5152/eurasianjmed.2022.21113.

Abstract

OBJECTIVE

Laryngeal squamous cell carcinoma has a high mortality rate, and approximately 60% of patients are in advanced stage at the time of diagnosis. Thus, determining the prognostic parameters of this cancer and markers related to these parameters are very important. There are studies showing that heat shock- related 70-kDa protein 2, which is used as a biomarker, may be associated with prognostic parameter in some cancers. However, no study has investigated the prognostic role of heat shock-related 70-kDa protein 2 in laryngeal squamous cell carcinoma in the literature. Thus, in our study, the aim was to examine the relation- ship between heat shock-related 70-kDa protein 2 expression and clinicopathological prognostic parameters in laryngeal squamous cell carcinoma.

MATERIALS AND METHODS

Our study included 104 patients diagnosed with laryngeal squamous cell carci- noma between January 2005 and January 2016. The correlation between heat shock-related 70-kDa protein 2 expression and prognostic parameters was investigated by using the immunohistochemical method with heat shock-related 70-kDa protein 2 antibody.

RESULTS

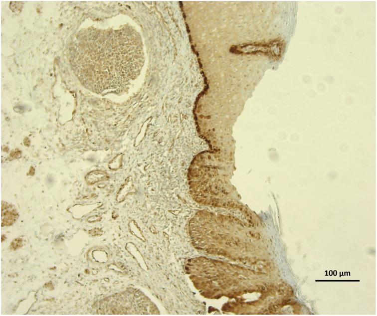
In all the cases, heat shock-related 70-kDa protein 2 positivity was determined in tumoral areas (100%). The overexpression rate of heat shock-related 70-kDa protein 2 in adjacent non-cancerous tissues with dysplasia was 48/104 (42%) (P < .0001). A significant relationship was found between heat shock- related 70-kDa protein 2 expression and important prognostic parameters such as macroscopic tumor size, lymphovascular invasion, primary tumor, lymph node metastasis, distant organ metastasis, tumor, node, metastasis (TNM) stage stage, recurrence, and survival rates (P < .05).

CONCLUSION

Our study supports the presence of an association between high heat shock-related 70-kDa protein 2 expression levels and prognostic parameters in laryngeal squamous cell carcinoma. We consider that heat shock-related 70-kDa protein 2 can be used as a prognostic marker in laryngeal squamous cell carcinoma. In addition, it may be important in early diagnosis due to its increased expression even under laryngeal squamous cell carcinoma precursor conditions.

摘要

目的

喉鳞状细胞癌死亡率高,约60%的患者在诊断时已处于晚期。因此,确定该癌症的预后参数以及与这些参数相关的标志物非常重要。有研究表明,作为一种生物标志物的热休克相关70 kDa蛋白2可能与某些癌症的预后参数有关。然而,文献中尚无研究探讨热休克相关70 kDa蛋白2在喉鳞状细胞癌中的预后作用。因此,在我们的研究中,目的是检测热休克相关70 kDa蛋白2表达与喉鳞状细胞癌临床病理预后参数之间的关系。

材料与方法

我们的研究纳入了2005年1月至2016年1月期间诊断为喉鳞状细胞癌的104例患者。采用热休克相关70 kDa蛋白2抗体免疫组化方法,研究热休克相关70 kDa蛋白2表达与预后参数之间的相关性。

结果

在所有病例中,肿瘤区域均检测到热休克相关70 kDa蛋白2阳性(100%)。发育异常的相邻非癌组织中热休克相关70 kDa蛋白2的过表达率为48/104(42%)(P <.0001)。热休克相关70 kDa蛋白2表达与宏观肿瘤大小、淋巴管浸润、原发肿瘤、淋巴结转移、远处器官转移、肿瘤、淋巴结、转移(TNM)分期、复发和生存率等重要预后参数之间存在显著相关性(P <.05)。

结论

我们的研究支持热休克相关70 kDa蛋白2高表达水平与喉鳞状细胞癌预后参数之间存在关联。我们认为热休克相关70 kDa蛋白2可作为喉鳞状细胞癌的预后标志物。此外,由于其在喉鳞状细胞癌前驱条件下也有表达增加,可能在早期诊断中具有重要意义。

https://cdn.ncbi.nlm.nih.gov/pmc/blobs/14f9/9634884/ff7be84ad288/eajm-54-2-165_f001.jpg

文献AI研究员

20分钟写一篇综述,助力文献阅读效率提升50倍。

立即体验

用中文搜PubMed

大模型驱动的PubMed中文搜索引擎

马上搜索

文档翻译

学术文献翻译模型,支持多种主流文档格式。

立即体验