Suppr超能文献

通过 DExCon、DExogron 和 LUXon 按需表达控制内源性基因,揭示 Rab11 家族成员的动态差异。

On demand expression control of endogenous genes with DExCon, DExogron and LUXon reveals differential dynamics of Rab11 family members.

机构信息

Wellcome Trust Centre for Cell-Matrix Research, School of Biological Sciences, Faculty of Biology Medicine and Health, Manchester Academic Health Science Centre, The University of Manchester, Manchester, United Kingdom.

出版信息

Elife. 2022 Jun 16;11:e76651. doi: 10.7554/eLife.76651.

Abstract

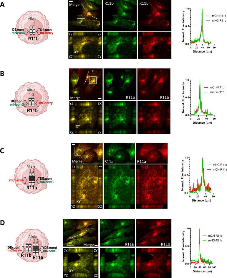
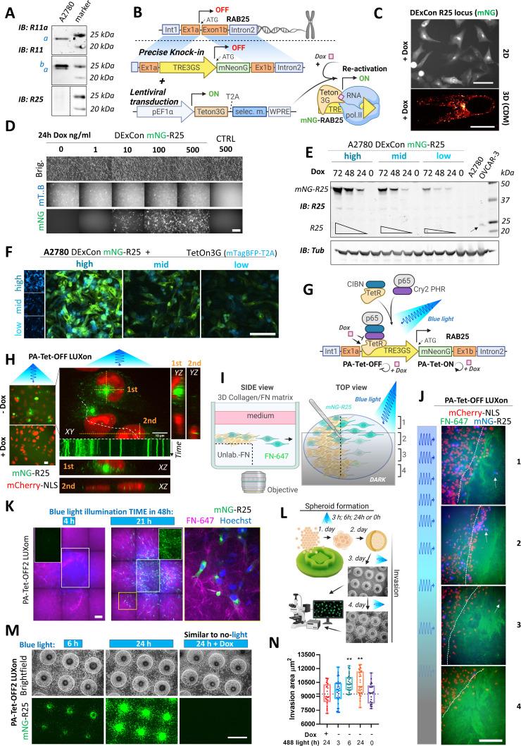
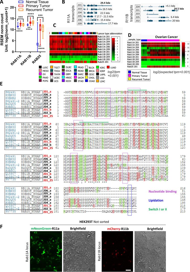
CRISPR technology has made generation of gene knock-outs widely achievable in cells. However, once inactivated, their re-activation remains difficult, especially in diploid cells. Here, we present DExCon (oxycycline-mediated endogenous gene pression trol), DExogron (DExCon combined with auxin-mediated targeted protein degradation), and LUXon (light responsive DExCon) approaches which combine one-step CRISPR-Cas9-mediated targeted knockin of fluorescent proteins with an advanced Tet-inducible TRE3GS promoter. These approaches combine blockade of active gene expression with the ability to re-activate expression on demand, including activation of silenced genes. Systematic control can be exerted using doxycycline or spatiotemporally by light, and we demonstrate functional knock-out/rescue in the closely related Rab11 family of vesicle trafficking regulators. Fluorescent protein knock-in results in bright signals compatible with low-light live microscopy from monoallelic modification, the potential to simultaneously image different alleles of the same gene, and bypasses the need to work with clones. Protein levels are easily tunable to correspond with endogenous expression through cell sorting (DExCon), timing of light illumination (LUXon), or by exposing cells to different levels of auxin (DExogron). Furthermore, our approach allowed us to quantify previously unforeseen differences in vesicle dynamics, transferrin receptor recycling, expression kinetics, and protein stability among highly similar endogenous Rab11 family members and their colocalization in triple knock-in ovarian cancer cell lines.

摘要

CRISPR 技术使得在细胞中广泛实现基因敲除成为可能。然而,一旦失活,其重新激活仍然很困难,特别是在二倍体细胞中。在这里,我们提出了 DExCon(强力霉素介导的内源性基因表达控制)、DExogron(DExCon 与生长素介导的靶向蛋白降解结合)和 LUXon(光响应的 DExCon)方法,这些方法将一步 CRISPR-Cas9 介导的荧光蛋白靶向敲入与先进的 Tet 诱导 TRE3GS 启动子结合在一起。这些方法将活性基因表达的阻断与按需重新激活表达的能力相结合,包括沉默基因的激活。可以使用强力霉素或光进行系统控制,并且我们证明了在密切相关的 Rab11 家族囊泡运输调节剂中具有功能敲除/挽救。荧光蛋白敲入导致单等位基因修饰产生明亮的信号,与低光活细胞显微镜兼容,具有同时对同一基因的不同等位基因进行成像的潜力,并且避免了克隆工作的需要。通过细胞分选(DExCon)、光照射的时间(LUXon)或通过使细胞暴露于不同水平的生长素(DExogron),可以轻松地将蛋白水平调整到与内源性表达相匹配。此外,我们的方法使我们能够量化以前未预见的高度相似的内源性 Rab11 家族成员之间的囊泡动力学、转铁蛋白受体回收、表达动力学和蛋白稳定性以及它们在三重敲入卵巢癌细胞系中的共定位方面的差异。

https://cdn.ncbi.nlm.nih.gov/pmc/blobs/eafb/9203059/97f0ff9f89cf/elife-76651-fig1.jpg

文献AI研究员

20分钟写一篇综述,助力文献阅读效率提升50倍。

立即体验

用中文搜PubMed

大模型驱动的PubMed中文搜索引擎

马上搜索

文档翻译

学术文献翻译模型,支持多种主流文档格式。

立即体验