Suppr超能文献

从富含次级代谢产物的藏红花(Crocus sativus L.)中分离适用于高通量应用的高质量 RNA

Isolation of high-quality RNA for high throughput applications from secondary metabolite-rich Crocus sativus L.

机构信息

Immunobiology Lab, Department of Biotechnology, University of Kashmir, Srinagar, 190 006, Jammu and Kashmir, India.

出版信息

BMC Res Notes. 2022 Jun 20;15(1):214. doi: 10.1186/s13104-022-06095-z.

Abstract

OBJECTIVE

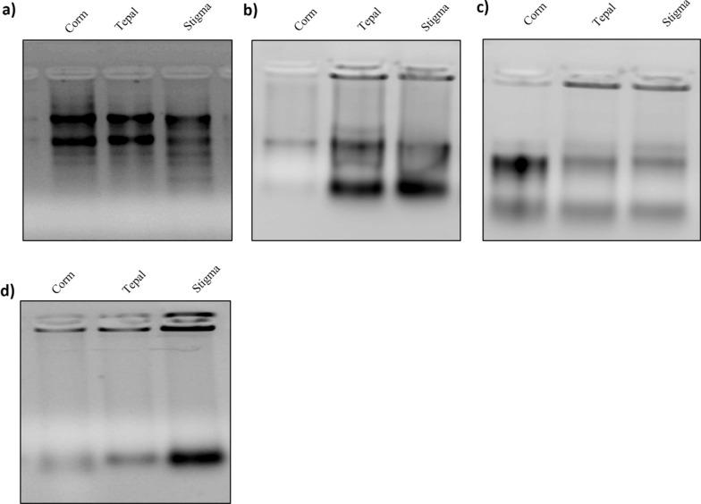
Isolating high-quality RNA is a basic requirement while performing high throughput sequencing, microarray, and various other molecular investigations. However, it has been quite challenging to isolate RNA with absolute purity from plants like Crocus sativus that are rich in secondary metabolites, polysaccharides, and other interfering compounds which often irreversibly co-precipitate with the RNA. While many methods have been proposed for RNA extraction including CTAB, TriZol, and SDS-based methods, which invariably yield less and poor quality RNA and hence it necessitated the isolation of high-quality RNA suitable for high throughput applications.

RESULTS

In the present study we made certain adjustments to the available protocols including modifications in the extraction buffer itself and the procedure employed. Our method led to the isolation of clear and non-dispersive total RNA with an RNA Integrity Number (RIN) value greater than 7.5. The quality of the RNA was further assessed by qPCR-based amplification of mRNA and mature miRNAs such as Cs-MIR166c and Cs-MIR396a.

摘要

目的

在进行高通量测序、微阵列和各种其他分子研究时,分离高质量的 RNA 是基本要求。然而,从富含次生代谢产物、多糖和其他干扰化合物的植物(如番红花)中分离绝对纯净的 RNA 一直是具有挑战性的,这些化合物经常与 RNA 不可逆共沉淀。虽然已经提出了许多 RNA 提取方法,包括 CTAB、TriZol 和基于 SDS 的方法,但这些方法不可避免地会产生较少且质量较差的 RNA,因此需要分离适合高通量应用的高质量 RNA。

结果

在本研究中,我们对现有的方案进行了某些调整,包括对提取缓冲液本身和所采用的程序进行修改。我们的方法导致了具有大于 7.5 的 RNA 完整性编号(RIN)值的清晰且非分散的总 RNA 的分离。通过基于 qPCR 的 mRNA 和成熟 miRNA(如 Cs-MIR166c 和 Cs-MIR396a)的扩增进一步评估了 RNA 的质量。

https://cdn.ncbi.nlm.nih.gov/pmc/blobs/1e26/9208216/aaffae00c386/13104_2022_6095_Fig1_HTML.jpg

文献AI研究员

20分钟写一篇综述,助力文献阅读效率提升50倍。

立即体验

用中文搜PubMed

大模型驱动的PubMed中文搜索引擎

马上搜索

文档翻译

学术文献翻译模型,支持多种主流文档格式。

立即体验