Suppr超能文献

无骨性损伤的硬膜外脂肪增多症所致急性脊髓损伤

Acute Spinal Cord Injury Due to Epidural Lipomatosis Without Osseous Injury.

作者信息

Mugge Luke, Dang Danielle D, Dang John, Leiphart James

机构信息

Neurological Surgery, Inova Neuroscience and Spine Institute, Falls Church, USA.

Neurological Surgery, Inova Fairfax Medical Campus, Falls Church, USA.

出版信息

Cureus. 2022 May 22;14(5):e25212. doi: 10.7759/cureus.25212. eCollection 2022 May.

Abstract

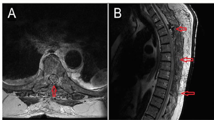
Spinal epidural lipomatosis (SEL) is a common pathology of the lumbar spine. While the natural history is not well understood, there is a strong association with metabolic syndrome and endocrine dysfunction. Clinical presentation typically involves slow, progressive onset of radicular and myelopathic symptoms. Treatment primarily consists of weight loss, while surgery is reserved for refractory cases or acute cauda equina syndrome. We present a case of acute spinal cord injury (SCI) after trauma with underlying SEL in the cervicothoracic spine. Additionally, a literature review using a MEDLINE search of the English literature through April 2020 following the Preferred Reporting Items for Systematic Reviews and Meta-Analyses (PRISMA) guidelines was performed to identify all documented cases of acute spinal cord injury with underlying SEL. A 72-year-old obese male with insulin-dependent diabetes mellitus presented with subacute bilateral lower extremity weakness after a fall with a flank injury three days prior to evaluation. Within hours of admission, the patient acutely progressed to paraplegia and sensory loss below the T6 level consistent with an ASIA (American Spinal Injury Association) A spinal cord injury. No fracture or dislocation was identified on CT imaging. MRI of the thoracic spine revealed spinal cord compression secondary to extensive posterior epidural lipomatosis with resultant anterior displacement of the thecal sac. The patient underwent emergent T2-T9 laminectomy for decompression. Post-operatively, the patient regained sensation below the level of injury. A review of the literature reviewed no published articles on cases of complete spinal cord injury secondary to underlying SEL without associated fracture. Finally, we present the first report of an acute spinal cord injury in the setting of SEL without fracture. Our case demonstrates that SEL outside the lumbar spine confers increased risk for SCI following trauma. Patients with cervicothoracic SEL may require close neurological observation and timely surgical decompression.

摘要

脊髓硬膜外脂肪增多症(SEL)是腰椎的一种常见病变。虽然其自然病史尚不完全清楚,但与代谢综合征和内分泌功能障碍密切相关。临床表现通常包括神经根性和脊髓病症状的缓慢、渐进性发作。治疗主要包括减重,而手术仅适用于难治性病例或急性马尾综合征。我们报告一例创伤后急性脊髓损伤(SCI)病例,其颈椎胸椎存在潜在的SEL。此外,按照系统评价和Meta分析的首选报告项目(PRISMA)指南,通过检索截至2020年4月的英文文献数据库MEDLINE进行文献综述,以确定所有记录在案的伴有潜在SEL的急性脊髓损伤病例。一名72岁的肥胖男性,患有胰岛素依赖型糖尿病,在评估前三天摔倒并伴有侧腹损伤后,出现亚急性双侧下肢无力。入院数小时内,患者迅速发展为截瘫,T6水平以下感觉丧失,符合美国脊髓损伤协会(ASIA)A级脊髓损伤。CT成像未发现骨折或脱位。胸椎MRI显示广泛的硬膜外脂肪增多症导致脊髓受压,继而硬脊膜囊向前移位。患者接受了急诊T2 - T9椎板切除术以减压。术后,患者在损伤平面以下恢复了感觉。文献综述未发现关于无相关骨折的潜在SEL继发完全性脊髓损伤病例的已发表文章。最后,我们报告了首例无骨折的SEL情况下急性脊髓损伤的病例。我们的病例表明,腰椎以外的SEL会增加创伤后SCI的风险。患有颈椎胸椎SEL的患者可能需要密切的神经学观察和及时的手术减压。

https://cdn.ncbi.nlm.nih.gov/pmc/blobs/8274/9212898/bfefe71c338a/cureus-0014-00000025212-i01.jpg

文献检索

告别复杂PubMed语法,用中文像聊天一样搜索,搜遍4000万医学文献。AI智能推荐,让科研检索更轻松。

立即免费搜索

文件翻译

保留排版,准确专业,支持PDF/Word/PPT等文件格式,支持 12+语言互译。

免费翻译文档

深度研究

AI帮你快速写综述,25分钟生成高质量综述,智能提取关键信息,辅助科研写作。

立即免费体验