Suppr超能文献

女性泌尿道原发性透明细胞腺癌:一例报告并文献复习。

Primary clear cell adenocarcinoma of female urinary tract: a case report and literature review.

机构信息

Department of Urology, Xiangtan Central Hospital, Xiangtan, 411100, Hunan, China.

Department of Urology, Xiangya Hospital, Central South University, Changsha, 410000, Hunan, China.

出版信息

BMC Womens Health. 2022 Jun 24;22(1):251. doi: 10.1186/s12905-022-01835-6.

Abstract

BACKGROUND

Primary clear cell adenocarcinoma of the urethra is extremely rare, reported only in single case reports, and its histological origin is not clear. There is no standard treatment for CCAU at present, and surgery is still the main treatment for CCAU without distant metastasis.

CASE PRESENTATION

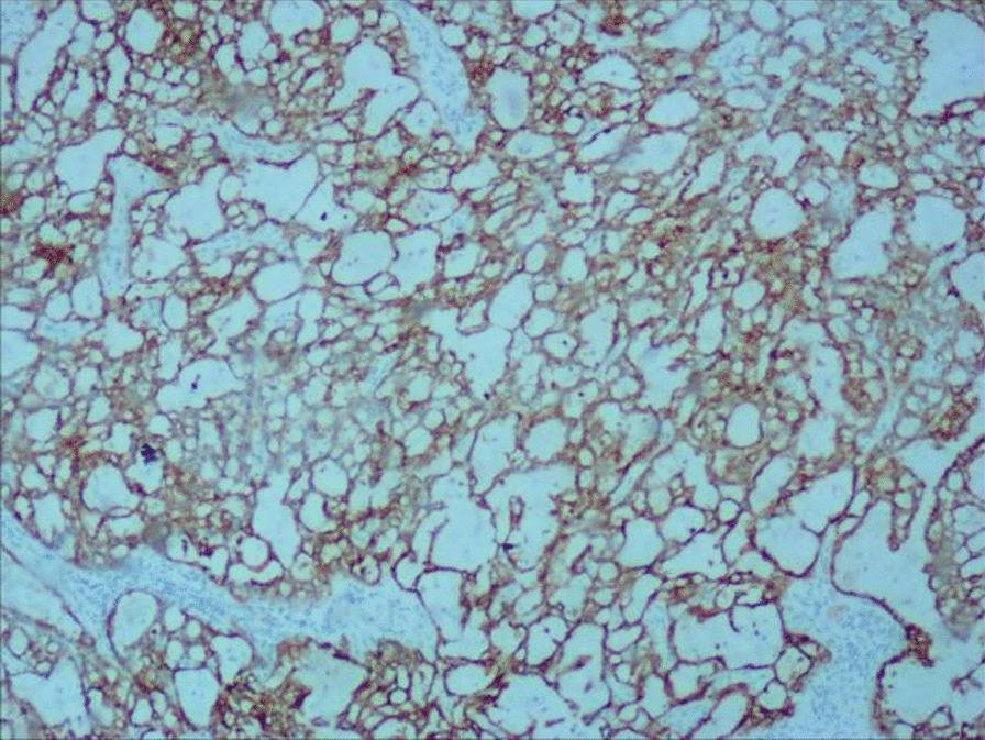
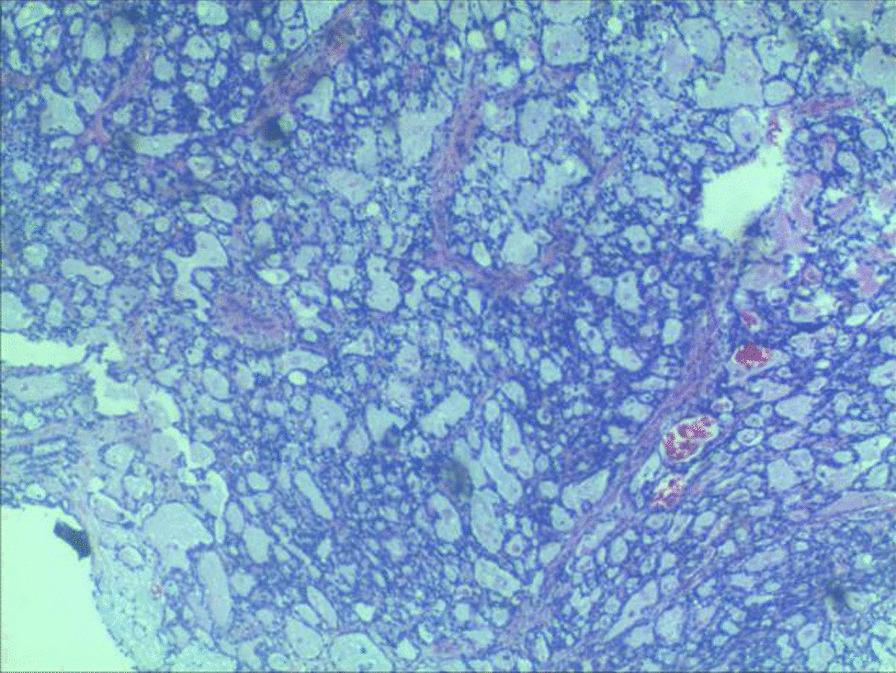
A 67-year-old female complained of gross hematuria with frequent micturition and urgency. No urethral diverticulum was found by cystoscopy or MRI, and the mass grew around the urethra. Urethral and anterior pelvic viscera resection was performed. Clear cell adenocarcinoma was confirmed by immunohistochemistry after the operation, and no recurrence or metastasis was found after one year of follow-up.

CONCLUSION

CCAU is very rare, and most cases originate from the urethral diverticulum and some may also originate from tissues around the urethra. For CCAU patients without distant metastasis, the main treatment is still surgery, and radiotherapy and chemotherapy can be performed for patients with distant metastasis. Gene detection may provide guidance for the precise chemotherapy of CCAU.

摘要

背景

原发性尿道透明细胞腺癌极为罕见,仅在个案报道中有所提及,其组织学起源尚不清楚。目前,CCAU 尚无标准治疗方法,对于无远处转移的 CCAU,手术仍然是主要治疗方法。

病例介绍

一名 67 岁女性因肉眼血尿伴尿频、尿急就诊。膀胱镜或 MRI 均未发现尿道憩室,肿块环绕尿道生长。行尿道及前盆腔脏器切除术。术后免疫组化证实为透明细胞腺癌,随访 1 年未发现复发或转移。

结论

CCAU 非常罕见,大多数病例起源于尿道憩室,部分也可能起源于尿道周围组织。对于无远处转移的 CCAU 患者,主要治疗方法仍为手术,对于有远处转移的患者可进行放化疗。基因检测可能为 CCAU 的精准化疗提供指导。

https://cdn.ncbi.nlm.nih.gov/pmc/blobs/b54a/9229477/a9267afd027e/12905_2022_1835_Fig1_HTML.jpg

文献AI研究员

20分钟写一篇综述,助力文献阅读效率提升50倍。

立即体验

用中文搜PubMed

大模型驱动的PubMed中文搜索引擎

马上搜索

文档翻译

学术文献翻译模型,支持多种主流文档格式。

立即体验