• 文献检索
  • 文档翻译
  • 深度研究
  • 学术资讯
  • Suppr Zotero 插件Zotero 插件
  • 邀请有礼
  • 套餐&价格
  • 历史记录
应用&插件
Suppr Zotero 插件Zotero 插件浏览器插件Mac 客户端Windows 客户端微信小程序
定价
高级版会员购买积分包购买API积分包
服务
文献检索文档翻译深度研究API 文档MCP 服务
关于我们
关于 Suppr公司介绍联系我们用户协议隐私条款
关注我们

Suppr 超能文献

核心技术专利:CN118964589B侵权必究
粤ICP备2023148730 号-1Suppr @ 2026

文献检索

告别复杂PubMed语法,用中文像聊天一样搜索,搜遍4000万医学文献。AI智能推荐,让科研检索更轻松。

立即免费搜索

文件翻译

保留排版,准确专业,支持PDF/Word/PPT等文件格式,支持 12+语言互译。

免费翻译文档

深度研究

AI帮你快速写综述,25分钟生成高质量综述,智能提取关键信息,辅助科研写作。

立即免费体验

[具体物质名称]对阿霉素诱导的大鼠毒性的心脏保护作用

Cardioprotective Effect of Against Doxorubicin-Induced Toxicity in Rats.

作者信息

Hosseini Azar, Safari Mohammad-Kazem, Rajabian Arezoo, Boroumand-Noughabi Samaneh, Eid Ali H, Al Dhaheri Yusra, Gumpricht Eric, Sahebkar Amirhossein

机构信息

Department of Pharmacology, Faculty of Medicine, Mashhad University of Medical Sciences, Mashhad, Iran.

Pharmacological Research Center of Medicinal Plants, Mashhad University of Medical Sciences, Mashhad, Iran.

出版信息

Front Pharmacol. 2022 Jun 8;13:909079. doi: 10.3389/fphar.2022.909079. eCollection 2022.

DOI:10.3389/fphar.2022.909079
PMID:35754479
原文链接:https://pmc.ncbi.nlm.nih.gov/articles/PMC9213811/
Abstract

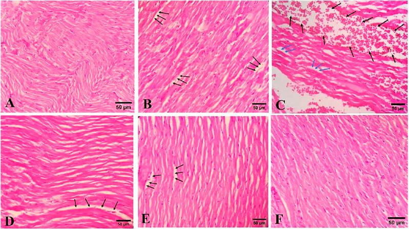
Doxorubicin as an anti-cancer drug causes cardiotoxicity, limiting its tolerability and use. The mechanism of toxicity is due to free radical production and cardiomyocytes injury. This research evaluated () extract against doxorubicin cardiotoxicity due to its considerable antioxidant activity. Male Wistar rats received 2.5 mg/kg doxorubicin intraperitoneally every other day for 2 weeks to create an accumulative dose. was administrated at a dose of 100 and 300 mg/kg intraperitoneally from the second week for 7 days. On the 15th day, the animals were anesthetized and blood was collected from cardiac tissue for evaluation of alanine aminotransferase (ALT), cardiac muscle creatinine kinase (CK-MB), troponin T (cTn-T), lactate dehydrogenase (LDH), and B-type natriuretic peptide brain natriuretic peptide. A cardiac homogenate was also collected to determine superoxide dismutase (SOD), catalase Catalase Activity, malondialdehyde (MDA), and thiols. Histopathology was also performed. Doxorubicin increased all cardiac enzymes and malondialdehyde, correlating with a reduction in SOD, catalase, and thiols. Histopathology revealed extracellular edema, moderate congestion, and hemorrhage of foci. In contrast, administration of ameliorated these doxorubicin-induced pathophysiological changes. This study revealed that the extract ameliorated doxorubicin-induced cardiac toxicity via modulation of oxidative stress-related pathways. Liquid chromatography-mass spectrometry analysis of indicated several components with potent pharmacological properties.

摘要

阿霉素作为一种抗癌药物会导致心脏毒性,限制了其耐受性和应用。毒性机制是由于自由基的产生和心肌细胞损伤。本研究评估了()提取物对阿霉素心脏毒性的作用,因其具有相当强的抗氧化活性。雄性Wistar大鼠每隔一天腹腔注射2.5mg/kg阿霉素,持续2周以形成累积剂量。从第二周开始,以100和300mg/kg的剂量腹腔注射(),持续7天。在第15天,将动物麻醉,从心脏组织采集血液,以评估丙氨酸转氨酶(ALT)、心肌肌酸激酶(CK-MB)、肌钙蛋白T(cTn-T)、乳酸脱氢酶(LDH)和B型利钠肽脑利钠肽。还收集心脏匀浆以测定超氧化物歧化酶(SOD)、过氧化氢酶过氧化氢酶活性、丙二醛(MDA)和硫醇。也进行了组织病理学检查。阿霉素使所有心脏酶和丙二醛增加,这与SOD、过氧化氢酶和硫醇的减少相关。组织病理学显示细胞外水肿、中度充血和病灶出血。相比之下,()的给药改善了这些阿霉素诱导的病理生理变化。本研究表明,该提取物通过调节氧化应激相关途径改善了阿霉素诱导的心脏毒性。()的液相色谱-质谱分析表明有几种具有强大药理特性的成分。

https://cdn.ncbi.nlm.nih.gov/pmc/blobs/0284/9213811/dfa13821ae4d/fphar-13-909079-g004.jpg
https://cdn.ncbi.nlm.nih.gov/pmc/blobs/0284/9213811/0209095e22e6/fphar-13-909079-g001.jpg
https://cdn.ncbi.nlm.nih.gov/pmc/blobs/0284/9213811/f3cc6a19ffef/fphar-13-909079-g002.jpg
https://cdn.ncbi.nlm.nih.gov/pmc/blobs/0284/9213811/adf600b5679c/fphar-13-909079-g003.jpg
https://cdn.ncbi.nlm.nih.gov/pmc/blobs/0284/9213811/dfa13821ae4d/fphar-13-909079-g004.jpg
https://cdn.ncbi.nlm.nih.gov/pmc/blobs/0284/9213811/0209095e22e6/fphar-13-909079-g001.jpg
https://cdn.ncbi.nlm.nih.gov/pmc/blobs/0284/9213811/f3cc6a19ffef/fphar-13-909079-g002.jpg
https://cdn.ncbi.nlm.nih.gov/pmc/blobs/0284/9213811/adf600b5679c/fphar-13-909079-g003.jpg
https://cdn.ncbi.nlm.nih.gov/pmc/blobs/0284/9213811/dfa13821ae4d/fphar-13-909079-g004.jpg

相似文献

1
Cardioprotective Effect of Against Doxorubicin-Induced Toxicity in Rats.[具体物质名称]对阿霉素诱导的大鼠毒性的心脏保护作用
Front Pharmacol. 2022 Jun 8;13:909079. doi: 10.3389/fphar.2022.909079. eCollection 2022.
2
Attenuation of isoprenaline-induced myocardial infarction by Rheum turkestanicum.唐古特大黄减轻异丙肾上腺素诱导的心肌梗死。
Biomed Pharmacother. 2022 Apr;148:112775. doi: 10.1016/j.biopha.2022.112775. Epub 2022 Feb 28.
3
Acute and sub-acute toxicity evaluation of the root extract of Janisch.急性和亚急性毒性评价的根提取物 Janisch。
Drug Chem Toxicol. 2020 Nov;43(6):609-615. doi: 10.1080/01480545.2018.1561713. Epub 2019 Jul 2.
4
Effects of a standardized extract of Rheum turkestanicum Janischew root on diabetic changes in the kidney, liver and heart of streptozotocin-induced diabetic rats.大黄素提取物对链脲佐菌素诱导的糖尿病大鼠肾脏、肝脏和心脏糖尿病变化的影响。
Biomed Pharmacother. 2017 Feb;86:605-611. doi: 10.1016/j.biopha.2016.12.059. Epub 2016 Dec 24.
5
Cardioprotective effect of allyl isothiocyanate in a rat model of doxorubicin acute toxicity.丙烯基异硫氰酸酯对阿霉素急性毒性大鼠模型的心脏保护作用。
Toxicol Mech Methods. 2022 Mar;32(3):194-203. doi: 10.1080/15376516.2021.1992064. Epub 2021 Oct 28.
6
Blume (Ceylon cinnamon) bark extract attenuates doxorubicin induced cardiotoxicity in Wistar rats.布鲁姆(锡兰肉桂)树皮提取物可减轻阿霉素诱导的Wistar大鼠心脏毒性。
Saudi Pharm J. 2021 Aug;29(8):820-832. doi: 10.1016/j.jsps.2021.06.004. Epub 2021 Jun 20.
7
Genotoxicity, nitric oxide level modulation and cardio-protective potential of Kalanchoe Integra Var. Crenata (Andr.) Cuf Leaves in murine models.Kalanchoe Integra Var. Crenata (Andr.) Cuf 叶在小鼠模型中的遗传毒性、一氧化氮水平调节和心脏保护潜力。
J Ethnopharmacol. 2022 Jan 30;283:114640. doi: 10.1016/j.jep.2021.114640. Epub 2021 Oct 2.
8
Protective effect of root against mercuric chloride-induced hepatorenal toxicity in rats.根对氯化汞诱导的大鼠肝肾毒性的保护作用。
Avicenna J Phytomed. 2018 Nov-Dec;8(6):488-497.
9
Cardioprotective activity of standardized extract of Ficus racemosa stem bark against doxorubicin-induced toxicity.印度榕茎皮标准化提取物对阿霉素诱导的毒性的心脏保护活性。
Pharm Biol. 2012 Apr;50(4):468-73. doi: 10.3109/13880209.2011.613848. Epub 2011 Dec 2.
10
Cardioprotective effects of minocycline against doxorubicin-induced cardiotoxicity.米诺环素对多柔比星诱导的心脏毒性的心脏保护作用。
Biomed Pharmacother. 2023 Feb;158:114055. doi: 10.1016/j.biopha.2022.114055. Epub 2022 Dec 7.

引用本文的文献

1
Doxorubicin-Induced Cardiotoxicity: A Comprehensive Update.阿霉素诱导的心脏毒性:全面更新
J Cardiovasc Dev Dis. 2025 May 30;12(6):207. doi: 10.3390/jcdd12060207.
2
Cardioprotective effect of against isoprenaline-induced myocardial infarction in rats.[具体物质名称]对异丙肾上腺素诱导的大鼠心肌梗死的心脏保护作用。 (原文中“against”前缺失具体物质名称)
Front Pharmacol. 2023 Dec 21;14:1305816. doi: 10.3389/fphar.2023.1305816. eCollection 2023.
3
Utilization of Quince Peel and Exploration of Its Metabolite Profiling and Cardioprotective Potential Against Doxorubicin-Induced Cardiotoxicity in Wistar Rats.

本文引用的文献

1
Attenuation of isoprenaline-induced myocardial infarction by Rheum turkestanicum.唐古特大黄减轻异丙肾上腺素诱导的心肌梗死。
Biomed Pharmacother. 2022 Apr;148:112775. doi: 10.1016/j.biopha.2022.112775. Epub 2022 Feb 28.
2
Mitochondrial-Targeted Therapy for Doxorubicin-Induced Cardiotoxicity.线粒体靶向治疗多柔比星所致心脏毒性。
Int J Mol Sci. 2022 Feb 9;23(3):1912. doi: 10.3390/ijms23031912.
3
Doxorubicin-Induced Cardiotoxicity: An Overview on Pre-clinical Therapeutic Approaches.多柔比星诱导的心脏毒性:临床前治疗方法概述。
温桲果皮的利用及其代谢物谱分析与对阿霉素诱导的Wistar大鼠心脏毒性的心脏保护潜力研究
ACS Omega. 2023 Oct 19;8(43):40036-40050. doi: 10.1021/acsomega.3c00698. eCollection 2023 Oct 31.
4
Cardioprotective Effect of Borbás & Waisb Extract against Doxorubicin-Induced Cardiotoxicity in H9c2 Cells.硼烷&怀斯提取物对阿霉素诱导的 H9c2 心肌细胞毒性的心脏保护作用。
Molecules. 2023 Jan 3;28(1):420. doi: 10.3390/molecules28010420.
Cardiovasc Toxicol. 2022 Apr;22(4):292-310. doi: 10.1007/s12012-022-09721-1. Epub 2022 Jan 21.
4
Protective effect of Delile against doxorubicin-induced cardiotoxicity.德利乐对阿霉素诱导的心脏毒性的保护作用。
Heliyon. 2021 Jun 29;7(7):e07434. doi: 10.1016/j.heliyon.2021.e07434. eCollection 2021 Jul.
5
Doxorubicin-induced cardiotoxicity: An update on the molecular mechanism and novel therapeutic strategies for effective management.多柔比星诱导的心脏毒性:分子机制的最新研究进展及有效管理的新型治疗策略。
Biomed Pharmacother. 2021 Jul;139:111708. doi: 10.1016/j.biopha.2021.111708. Epub 2021 May 13.
6
Effects of phytochemicals on macrophage cholesterol efflux capacity: Impact on atherosclerosis.植物化学物质对巨噬细胞胆固醇流出能力的影响:对动脉粥样硬化的影响。
Phytother Res. 2021 Jun;35(6):2854-2878. doi: 10.1002/ptr.6991. Epub 2021 Jan 19.
7
The Effect of Hydro-alcoholic Extract of Roots against Oxidative Stress in Endothelial Cells.根部水醇提取物对内皮细胞氧化应激的影响。
Int J Prev Med. 2020 Aug 19;11:122. doi: 10.4103/ijpvm.IJPVM_386_19. eCollection 2020.
8
Chrysophanol Protects Against Acute Heart Failure by Inhibiting JNK1/2 Pathway in Rats.大黄酚通过抑制大鼠JNK1/2信号通路对急性心力衰竭起到保护作用。
Med Sci Monit. 2020 Oct 12;26:e926392. doi: 10.12659/MSM.926392.
9
Mitochondria-dependent ferroptosis plays a pivotal role in doxorubicin cardiotoxicity.线粒体依赖的铁死亡在阿霉素心脏毒性中起关键作用。
JCI Insight. 2020 May 7;5(9):132747. doi: 10.1172/jci.insight.132747.
10
Chrysophanol protects against doxorubicin-induced cardiotoxicity by suppressing cellular PARylation.大黄酚通过抑制细胞聚(ADP-核糖)化反应来预防阿霉素诱导的心脏毒性。
Acta Pharm Sin B. 2019 Jul;9(4):782-793. doi: 10.1016/j.apsb.2018.10.008. Epub 2018 Nov 1.