Suppr超能文献

T-SPOT.TB阴性的巨大寻常性狼疮:一例报告及文献复习

Giant Lupus Vulgaris with Negative T-SPOT.TB, a Case Report and Literature Review.

作者信息

Wang Zhen-Zhen, Wang Hongsheng

机构信息

Institute of Dermatology, Chinese Academy of Medical Sciences & Peking Union Medical College, Jiangsu Key Laboratory of Molecular Biology for Skin Diseases and STIs, Nanjing, People's Republic of China.

Center for Global Health, School of Public Health, Nanjing Medical University, Nanjing, People's Republic of China.

出版信息

Clin Cosmet Investig Dermatol. 2022 Jun 18;15:1119-1123. doi: 10.2147/CCID.S366136. eCollection 2022.

Abstract

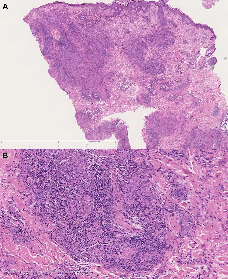
Lupus vulgaris is a paucibacillary form of cutaneous tuberculosis (CTB) which is accounting for 1-2% of all tuberculosis cases. Here, we report a rare huge lupus vulgaris misdiagnosed as sarcoidosis for 11 years. A 65-year-old man presented to dermatology outpatient with a large asymptomatic erythematous plaque and erosions on his neck. Sarcoidosis was initially diagnosed on the basis of negative interferon-gamma release tests and biopsies of lymph nodes and lesions. The patient was treated with long-term oral steroid and immunosuppressive agents, but the lesions expanded gradually. Lupus vulgaris was finally diagnosed by combining molecular detection and mycobacterial culture. The skin lesions were resolved after six months of standard antituberculosis therapy. We report this case to analyze the reasons for the misdiagnosis and review-related literature to further provide experience for the diagnosis and treatment of cutaneous tuberculosis with negative T-SPOT.TB.

摘要

寻常狼疮是一种少菌型皮肤结核(CTB),占所有结核病例的1-2%。在此,我们报告一例罕见的巨大寻常狼疮,被误诊为结节病达11年之久。一名65岁男性因颈部出现一个大的无症状红斑斑块及糜烂而就诊于皮肤科门诊。最初根据干扰素-γ释放试验阴性以及淋巴结和病变活检结果诊断为结节病。患者接受了长期口服类固醇和免疫抑制剂治疗,但病变逐渐扩大。最终通过分子检测和分枝杆菌培养相结合确诊为寻常狼疮。经过六个月的标准抗结核治疗后,皮肤病变得以消退。我们报告此病例以分析误诊原因并回顾相关文献,以便为T-SPOT.TB阴性的皮肤结核的诊断和治疗进一步提供经验。

https://cdn.ncbi.nlm.nih.gov/pmc/blobs/0221/9215351/5bd2da8b1b82/CCID-15-1119-g0001.jpg

相似文献

1
Giant Lupus Vulgaris with Negative T-SPOT.TB, a Case Report and Literature Review.
Clin Cosmet Investig Dermatol. 2022 Jun 18;15:1119-1123. doi: 10.2147/CCID.S366136. eCollection 2022.
3
A rare case of multiple lupus vulgaris in a multifocal tuberculosis pediatric patient.
Int J Mycobacteriol. 2019 Apr-Jun;8(2):205-207. doi: 10.4103/ijmy.ijmy_33_19.
4
Paradoxical reaction to antituberculosis therapy in a patient with lupus vulgaris.
Actas Dermosifiliogr. 2015 Mar;106(2):e7-e12. doi: 10.1016/j.ad.2014.05.003. Epub 2014 Aug 1.
5
Lupus Vulgaris and Lichen Scrofulosorum with Disseminated Tuberculosis.
Niger Med J. 2020 May-Jun;61(3):169-172. doi: 10.4103/nmj.NMJ_135_19. Epub 2020 Jul 4.
6
Rare cutaneous tuberculosis in Sub-Saharan Africa developed on discoid lupus erythematous lesion.
Bull Soc Pathol Exot. 2017 Oct;110(4):230-233. doi: 10.1007/s13149-017-0550-5. Epub 2017 Feb 28.
8
Case of lupus vulgaris diagnosed 50 years after onset.
J Dermatol. 2009 Feb;36(2):103-5. doi: 10.1111/j.1346-8138.2009.00598.x.
9
Bilateral "turkey ear" as a cutaneous manifestation of lupus vulgaris.
Indian J Dermatol Venereol Leprol. 2018 Nov-Dec;84(6):687-689. doi: 10.4103/ijdvl.IJDVL_330_17.
10
Lupus vulgaris developing at the site of misdiagnosed scrofuloderma.
J Eur Acad Dermatol Venereol. 2003 May;17(3):313-5. doi: 10.1046/j.1468-3083.2003.00783.x.

引用本文的文献

1
A Chronic Multiple Site of Scrofuloderma: Is It Reactivation or Treatment Failure of Tuberculosis?
Clin Cosmet Investig Dermatol. 2023 Sep 6;16:2433-2436. doi: 10.2147/CCID.S422546. eCollection 2023.

本文引用的文献

1
Cutaneous tuberculosis. Part II: Complications, diagnostic workup, histopathologic features, and treatment.
J Am Acad Dermatol. 2023 Dec;89(6):1107-1119. doi: 10.1016/j.jaad.2021.12.064. Epub 2022 Feb 8.
2
Lupus vulgaris masquerading as tumorous growth.
Indian J Dermatol Venereol Leprol. 2021;87(4):562-565. doi: 10.25259/IJDVL_1008_20.
3
Lupus vulgaris uncovered by FNAC after a decade of clinical misdiagnosis as hemangioma.
Indian J Pathol Microbiol. 2021 Apr-Jun;64(2):420-422. doi: 10.4103/IJPM.IJPM_42_20.
4
Lupus vulgaris in a mother and child.
BMJ Case Rep. 2021 Mar 22;14(3):e240591. doi: 10.1136/bcr-2020-240591.
6
Cutaneous Mycobacterial Infections.
Clin Microbiol Rev. 2018 Nov 14;32(1). doi: 10.1128/CMR.00069-18. Print 2018 Jan.
7
Diagnostic Value of T-SPOT.TB Test in Cutaneous Mycobacterial Infections.
Acta Derm Venereol. 2018 Nov 5;98(10):989-990. doi: 10.2340/00015555-3011.
9
Granulomatous mycosis fungoides, a rare subtype of cutaneous T-cell lymphoma.
JAAD Case Rep. 2015 Jul 31;1(5):298-302. doi: 10.1016/j.jdcr.2015.05.010. eCollection 2015 Sep.
10
Risk factors for false-negative T-SPOT.TB assay results in patients with pulmonary and extra-pulmonary TB.
J Infect. 2015 Apr;70(4):367-80. doi: 10.1016/j.jinf.2014.12.018. Epub 2015 Jan 15.

文献AI研究员

20分钟写一篇综述,助力文献阅读效率提升50倍。

立即体验

用中文搜PubMed

大模型驱动的PubMed中文搜索引擎

马上搜索

文档翻译

学术文献翻译模型,支持多种主流文档格式。

立即体验